症例詳細
Case detail
割れたクラウン 再発した虫歯の治療
治療症例の内容
- 診療科目
 
- 治療カテゴリ
 
- 担当医
 - 大元洋佑(ドクタープロフィール)
 
- 患者様
 - 30代男性
 
- 治療期間
 - 1ヶ月
 
- 治療回数
 - 2-5回
 
- 治療計画
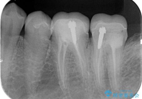
 - 「他院で治療したクラウンが破損したまま放置してしまった、治療したい。」、とセラミック治療を希望され来院されました。
欠けたクラウンの下には虫歯が再発し、このまま放置すると抜歯を余儀なくされる状態です。
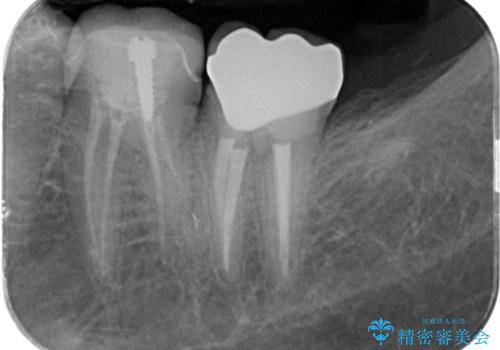
虫歯をマイクロスコープを用いて丁寧に除去した後、ジルコニアセラミッククラウンによるクラウン製作を行います。 
- 費用(概算)
 - 13.2万円(ジルコニアクラウン・仮歯)費用は治療当時の料金となります
 
治療について
仕上がりの色調や自然さに満足いただくことができました。
セラミック治療の注意事項(リスク・副作用など)
- 天然歯を削ります
 - 硬い素材は天然歯を傷つけてしまう場合があります
 - かみ合わせや歯ぎしりが強すぎる方はセラミックが割れてしまう可能性があります
 - 自費診療(保険適用外治療)となります
 
当サイトの内容、テキスト、画像等の無断転載、複製、複写、盗用を固く禁じます。

                      
                                                          








