症例詳細
Case detail
【セラミッククラウン】詰め物と歯の境目に穴が空いている
治療症例の内容
- 診療科目
- 治療カテゴリ
- 担当医
- 町田睦月(ドクタープロフィール)
- 患者様
- 30代女性
- 治療期間
- 2ヶ月
- 治療回数
- 2-5回
- 治療計画
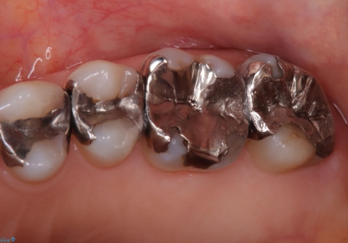
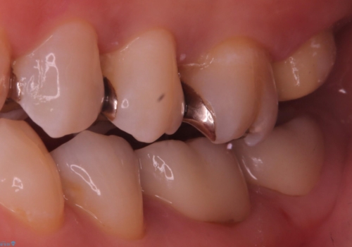
- 主訴:詰め物と歯の境目に穴が空いているとクリーニング時衛生士から指摘された。
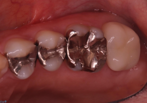
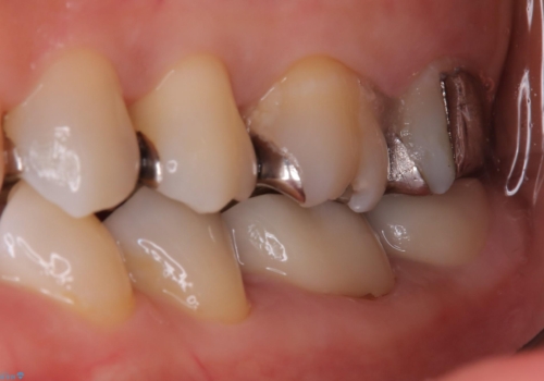
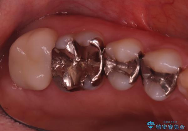
保険適用のメタルインレー歯質の境目が虫歯になっていたため、一度メタルインレーを除去し虫歯の範囲の把握と補綴物のやり替えをお勧めし、ジルコニアクラウンでのやり替えとなりました。
- 費用(概算)
- 99,000円費用は治療当時の料金となります
治療について
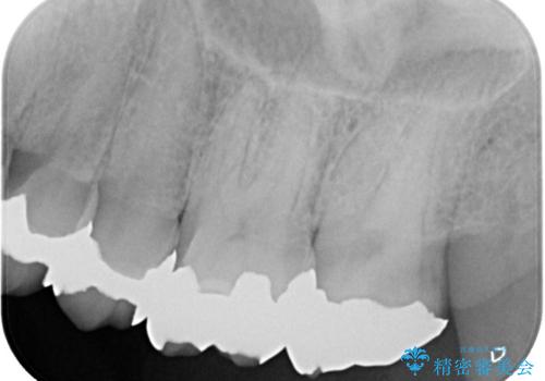
保険適用のメタルインレーと歯質の境目にう窩ができており、補綴物のやり替えとなりなした。
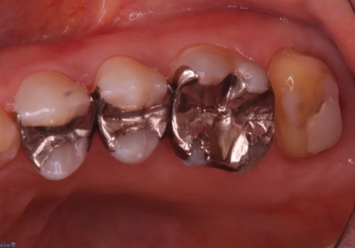
メタルインレーを除去したところう窩が深く、遠心の健歯質が歯肉縁下深くに位置したためディスタルウェッジ術を行い骨と歯肉の高さを下げた上で補綴しています。
元々インレーが入っていましたが、残存歯質量が少なく破折のリスクを説明しジルコニアクラウンでのやり替えとなりました。
セラミック治療の注意事項(リスク・副作用など)
- 天然歯を削ります
- 硬い素材は天然歯を傷つけてしまう場合があります
- かみ合わせや歯ぎしりが強すぎる方はセラミックが割れてしまう可能性があります
- 自費診療(保険適用外治療)となります
当サイトの内容、テキスト、画像等の無断転載、複製、複写、盗用を固く禁じます。















