症例詳細
Case detail
器具が破折して残ったままの前歯
治療症例の内容
- 患者様
- 20代女性
- 治療期間
- 4ヶ月
- 治療回数
- 5-10回
- 治療計画
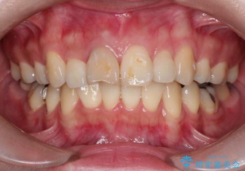
- 前歯の変色が主訴で来院した患者様です。
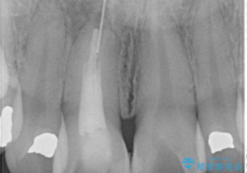
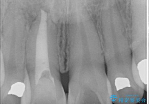
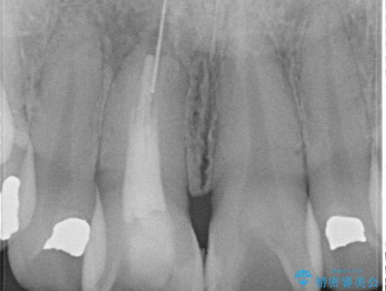
お痛みは無く、たまに異和感があるとのことでレントゲン撮影をすると、以前根の治療をされた際の器具が破折したまま残っていました。
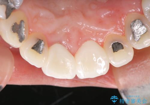
破折した器具を除去したのち、根管治療、ファイバーコア築造、セラミッククラウンの製作を行いました。
- 費用(概算)
- 45万1千円費用は治療当時の料金となります
治療について
歯の根に器具が残っている事にビックリされていました。
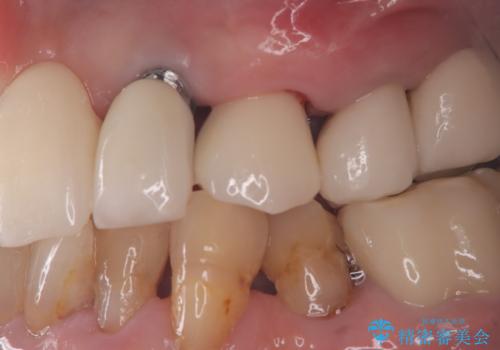
セラミックは、2本行う事でより自然な仕上がりとなり、患者様もご満足していただけました。
根管治療の注意事項(リスク・副作用など)
- 根管治療により類似の全ての症例の問題が解決するわけではなく、症例はあくまでも一例です
- 根管治療により痛みや腫れがひかない事や、術後に痛みや腫れが生じる事、治療によるファイル破折やパーフォレーションなどの偶発症、術後の歯根破折を生じる可能性もあります
- 自費診療(保険適用外)となります
セラミック治療の注意事項(リスク・副作用など)
- 天然歯を削ります
- 硬い素材は天然歯を傷つけてしまう場合があります
- かみ合わせや歯ぎしりが強すぎる方はセラミックが割れてしまう可能性があります
- 自費診療(保険適用外治療)となります
当サイトの内容、テキスト、画像等の無断転載、複製、複写、盗用を固く禁じます。








