症例詳細
Case detail
前歯をやむなく抜歯 ブリッジに 治療ついでに歯並びもよく
治療症例の内容
- 担当医
- 井上季実子(ドクタープロフィール)
- 患者様
- 20代男性
- 治療期間
- 4ヶ月
- 治療回数
- 2-5回
- 治療計画
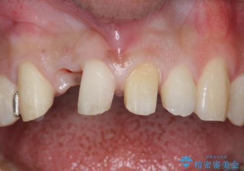
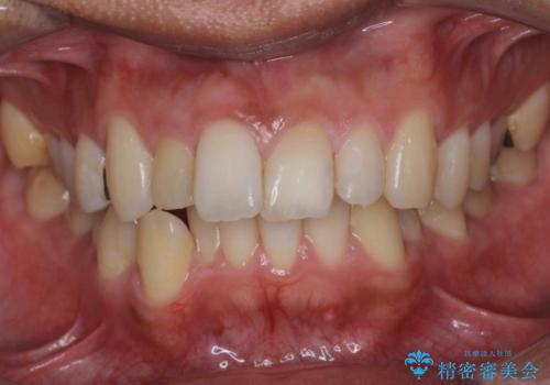
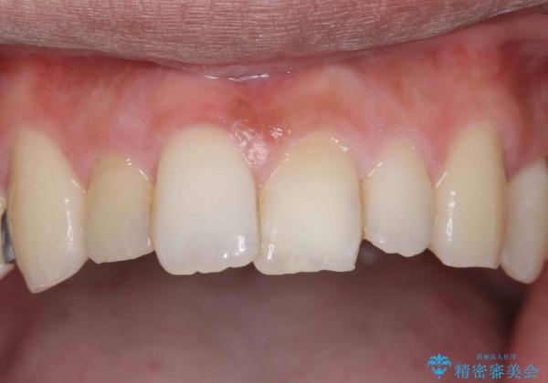
- 他院で右上の前歯の状態が悪いことを指摘されて来院。
昔ぶつけてしまった既往がありました。
歯の根の部分が内部で吸収し、周りの骨も吸収してしまっていました。
このまま放置すると、骨の吸収も進行し、いずれ近い将来歯が折れてしまう可能性もありました。また、隣の歯にも骨の吸収による影響が始まっており、持たせるだけ持たせたとしても次のステップの時には状況が悪化してしまうことが予想されました。
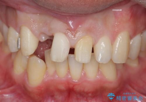
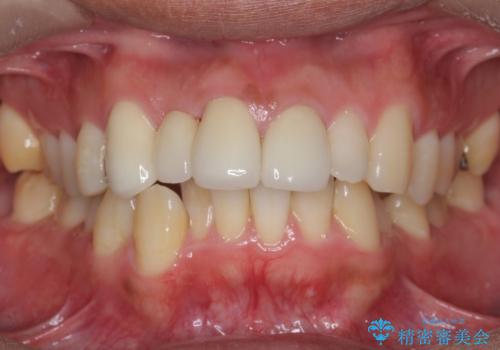
以上を説明したところ、早めに抜歯を行いブリッジにしていくことを希望されたため治療開始しました。
- 費用(概算)
- 78.1万円 内訳(前歯ブリッジ 右上③2➀:ジルコニアクラウンスペシャル15.4万円×3、仮歯1.1万円×3 左上1:精密根管治療再治療 9.9万円×1、ファイバーコア2.2万円、ジルコニアクラウンスペシャル15.4万円、仮歯1.1万円)費用は治療当時の料金となります
治療について
右上2番の周りの歯槽骨がかなり吸収が進んでいた影響で、抜歯後そこが大きくへこむことが予想されました。
抜歯後即時にバイオスを詰めることで抜歯後の骨の吸収をなるべく抑える治療(ソケットプリザベーション)を行いました。
歯槽骨が吸収してしまった右上1(隣の歯)との境界については右上1番遠心の歯周ポケットが深いことについては解決できない為、いずれまたダミーの歯の部分に関しては歯肉が下がってしまうことについては説明済みです。
ただ、年齢も鑑みて、直ちに右上12抜歯ではなく、まずは2番のみの抜歯でブリッジにする処置を行いました。
セラミック治療の注意事項(リスク・副作用など)
- 天然歯を削ります
- 硬い素材は天然歯を傷つけてしまう場合があります
- かみ合わせや歯ぎしりが強すぎる方はセラミックが割れてしまう可能性があります
- 自費診療(保険適用外治療)となります
外科処置の注意事項(リスク・副作用など)
- 外科手術のため、術後に出血、痛みや腫れ、違和感を伴います
- 口腔内の状態によっては適応できないことがあります
当サイトの内容、テキスト、画像等の無断転載、複製、複写、盗用を固く禁じます。










