症例詳細
Case detail
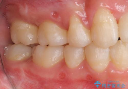
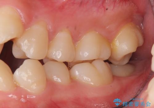
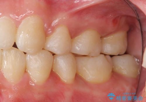
難症例 奥歯がかみ合っていない 歯並び矯正で別人に
治療症例の内容
- 患者様
- 20代女性
- 治療期間
- 2年10ヶ月
- 治療回数
- 30回以上
- 治療計画
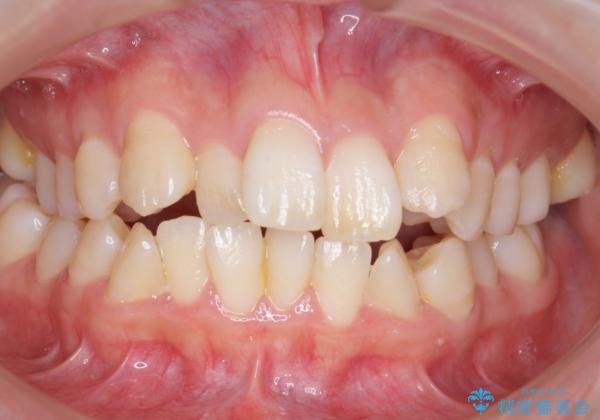
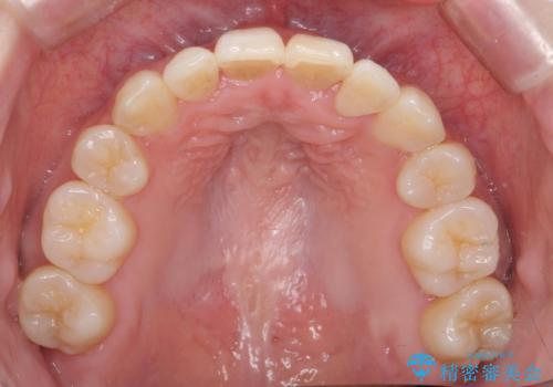
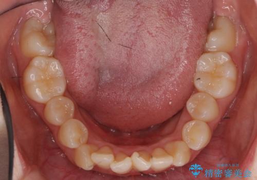
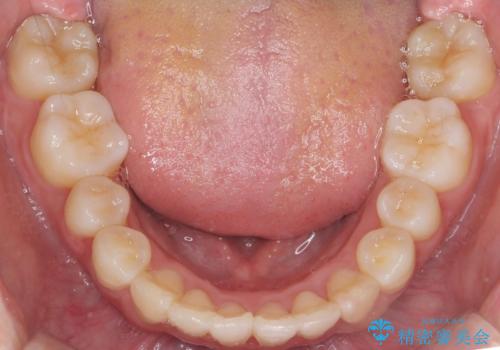
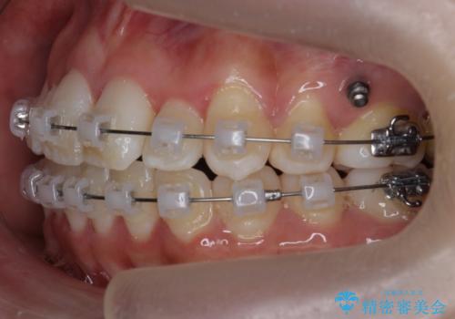
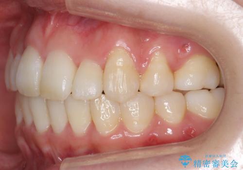
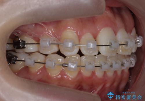
- 歯並びを気にして来院。
 
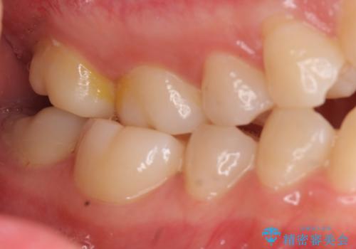
 前歯は重度のがたつき、また奥歯はすれ違っていました。
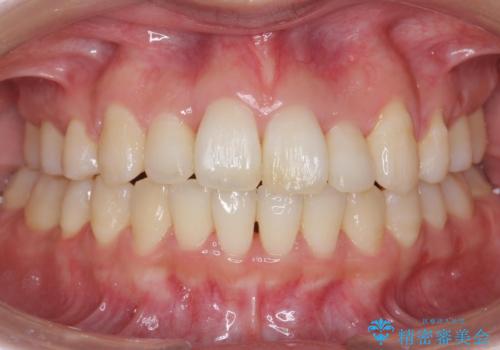
 治療は3年以上かかりそうと説明しましたが、2年台で終わらせることができました。
 
 上下左右4本抜歯の可能性を説明していましたが、実際は上顎2本の小臼歯抜歯で済みました。
 
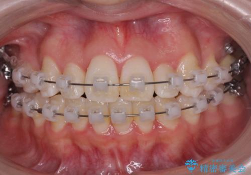
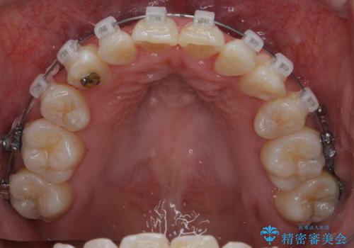
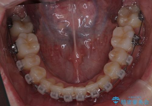
 矯正用インプラントを使用して治療しています。
 
 
- 費用(概算)
- 137万円費用は治療当時の料金となります
治療について
上下の顎の幅もあっておらず、成人でしたが手術なしで上あごを骨から広げる処置(急速拡大装置)を行いました。
ワイヤー矯正の注意事項(リスク・副作用など)
- 治療中は違和感や痛みが起こることがあります
- 症状により、抜歯が必要な場合があります
- 治療中は歯磨きがしにくくなるため、虫歯や歯周病になりやすくなります
- 矯正治療後の保定が不十分だと後戻り(元の位置に戻ろうとする動き)をします
- 自費診療(保険適用外)となります
当サイトの内容、テキスト、画像等の無断転載、複製、複写、盗用を固く禁じます。








 
                       
                                                          























 
                   
                   
                  