症例詳細
Case detail
【埋伏歯】犬歯の牽引を行った矯正歯科治療
治療症例の内容
- 担当医
- 河口智英(ドクタープロフィール)
- 患者様
- 20代女性
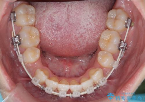
- 矯正装置
- 審美装置
- 治療期間
- 2年6ヶ月
- 治療回数
- 30回以上
- 治療計画
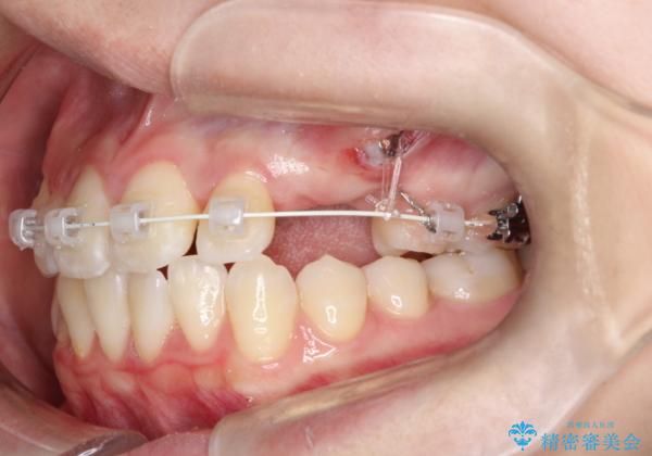
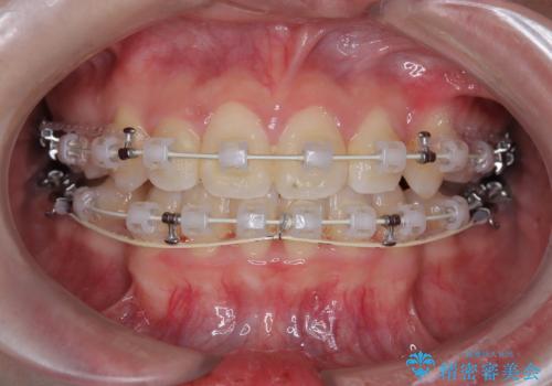
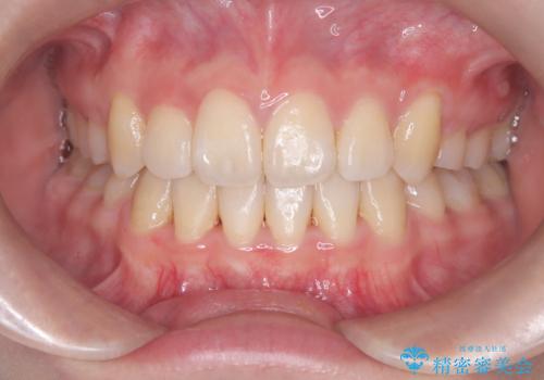
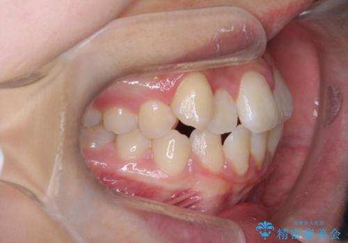
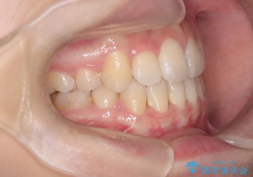
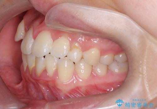
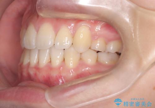
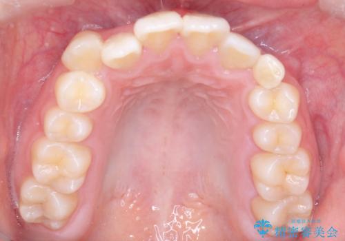
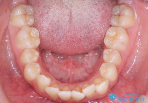
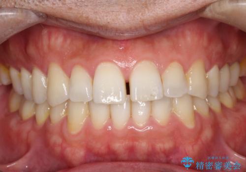
- 八重歯を主訴に来院されました。
 
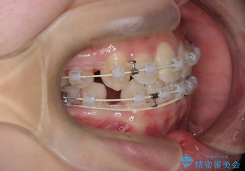
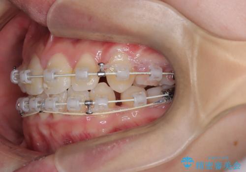
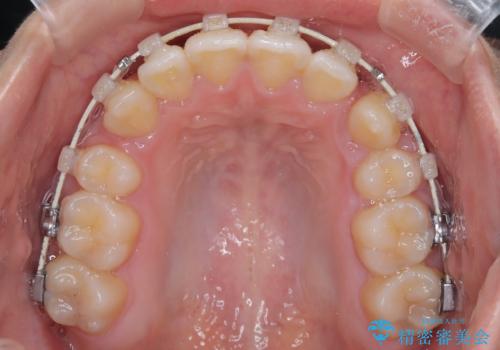
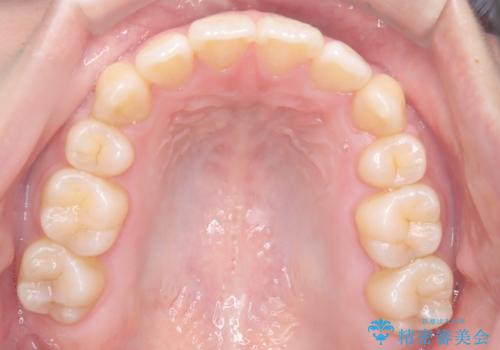
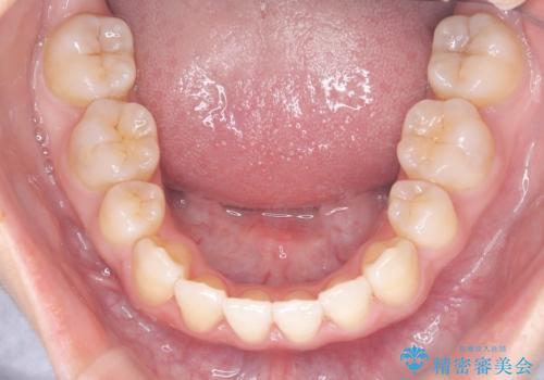
 左側犬歯が埋伏していましたが、第一小臼歯(4番目の歯)を抜歯したことでできたスペースに牽引し、右側の飛び出した八重歯を含め、歯全体を整列することができ患者様も満足していただきました。
- 費用(概算)
- 100万円費用は治療当時の料金となります
治療について
犬歯牽引を行うかはCTを撮影し判断を行なっています。
ワイヤー矯正の注意事項(リスク・副作用など)
- 治療中は違和感や痛みが起こることがあります
- 症状により、抜歯が必要な場合があります
- 治療中は歯磨きがしにくくなるため、虫歯や歯周病になりやすくなります
- 矯正治療後の保定が不十分だと後戻り(元の位置に戻ろうとする動き)をします
- 自費診療(保険適用外)となります
当サイトの内容、テキスト、画像等の無断転載、複製、複写、盗用を固く禁じます。








 
                       
                                                          
















 
                   
                   
                  