症例詳細
Case detail
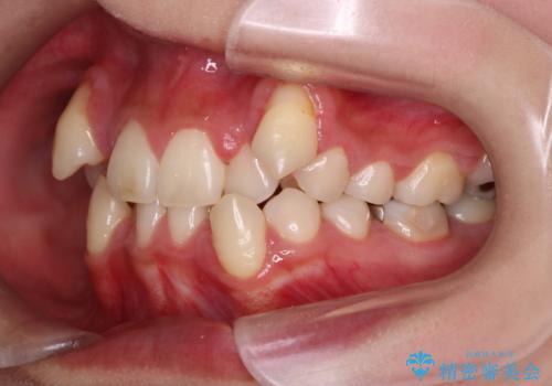
【抜歯矯正】犬歯抜歯による矯正。八重歯を治したい
治療症例の内容
- 診療科目
- 治療カテゴリ
- 担当医
- 河口智英(ドクタープロフィール)
- 患者様
- 20代女性
- 治療期間
- 2年6ヶ月
- 治療回数
- 10-30回
- 治療計画
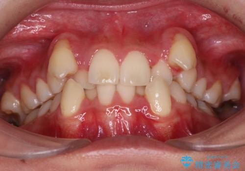
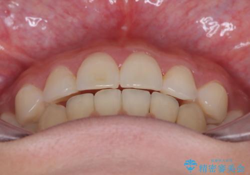
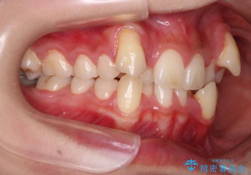
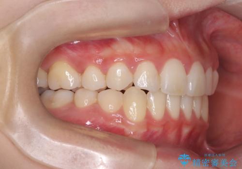
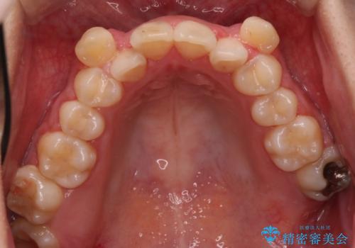
- 八重歯を主訴に来院された患者様です。
インビザラインによる矯正を希望され、今回は移動距離が少なくなるように犬歯を抜歯する治療計画としました。
- 費用(概算)
- 100万円費用は治療当時の料金となります
治療について
抜歯矯正において、通常では4番(第一小臼歯)が抜歯の対象となることが多いのですが、今回は3番(犬歯)の歯肉退縮や装置の特性を考慮した治療計画となります。
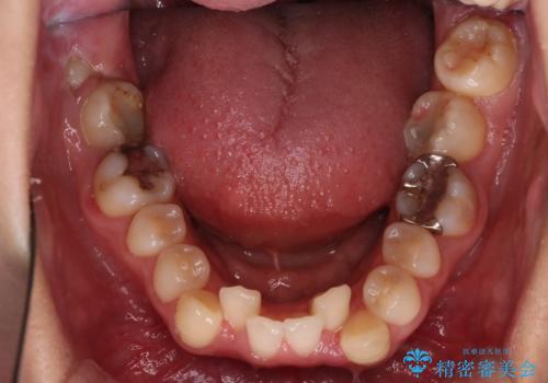
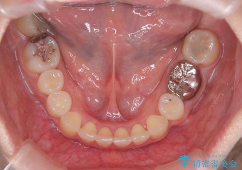
下顎に関しては、半年ほどワイヤー矯正にてリカバリーを行なっております。
マウスピース矯正の注意事項(リスク・副作用など)
- 口腔内・歯並びの状態によっては対応できない場合があります
- マウスピース型矯正装置の長時間装着(1日20時間以上)が必須です
- 治療計画通りに進めるためには、患者様の意志が重要になります
- 矯正治療後の保定が不十分だと後戻り(元の位置に戻ろうとする動き)をします
- 薬機法対象外の矯正歯科装置のため医薬品副作用被害救済制度の対象外となる場合があります
- 自費診療(保険適用外)となります
ワイヤー矯正の注意事項(リスク・副作用など)
- 治療中は違和感や痛みが起こることがあります
- 症状により、抜歯が必要な場合があります
- 治療中は歯磨きがしにくくなるため、虫歯や歯周病になりやすくなります
- 矯正治療後の保定が不十分だと後戻り(元の位置に戻ろうとする動き)をします
- 自費診療(保険適用外)となります
当サイトの内容、テキスト、画像等の無断転載、複製、複写、盗用を固く禁じます。

















