症例詳細
Case detail
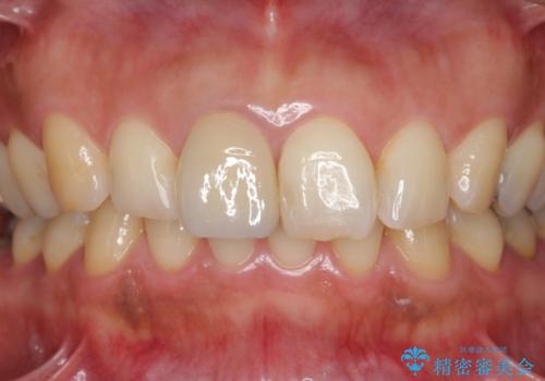
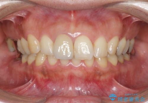
折れてしまった前歯 オールセラミックによる審美改善
治療症例の内容
- 診療科目
- 治療カテゴリ
- 担当医
- 大元洋佑(ドクタープロフィール)
- 患者様
- 20代女性
- 治療期間
- 1ヶ月
- 治療回数
- 2-5回
- 治療計画
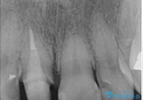
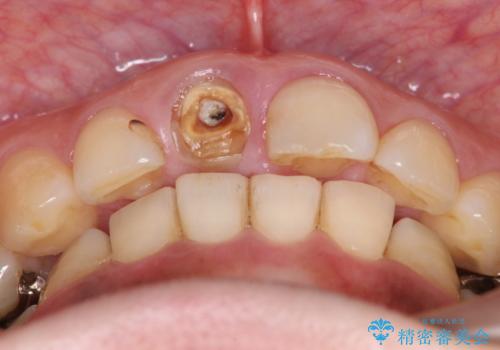
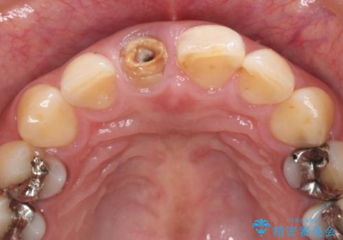
- 「野菜をかじった際に前歯がぐらつき、その場で取れてしまった。前歯を入れたい。」と希望され来院されました。
残っている歯質(歯の量)は非常に少ないものの、歯を抜かずに残したい希望が強く、また破折リスクが高いことも
ご理解いただいた上で歯を残しセラミック治療を計画します。
- 費用(概算)
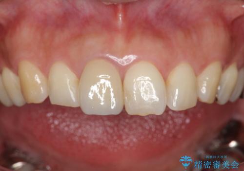
- 13.2万円(ジルコニアクラウン・仮歯)費用は治療当時の料金となります
治療について
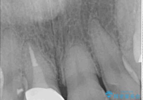
破折リスクを少なくするため前歯でかじったり硬いものを噛み切る等の行為は避けた方が良いとお伝えし、現状5年問題なく経過しています。
セラミック治療の注意事項(リスク・副作用など)
- 天然歯を削ります
- 硬い素材は天然歯を傷つけてしまう場合があります
- かみ合わせや歯ぎしりが強すぎる方はセラミックが割れてしまう可能性があります
- 自費診療(保険適用外治療)となります
当サイトの内容、テキスト、画像等の無断転載、複製、複写、盗用を固く禁じます。












