症例詳細
Case detail
変色した歯を改善、セラミック治療
治療症例の内容
- 診療科目
- 治療カテゴリ
- 担当医
- 大元洋佑(ドクタープロフィール)
- 患者様
- 20代女性
- 治療期間
- 1ヶ月
- 治療回数
- 2-5回
- 治療計画
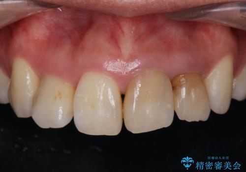
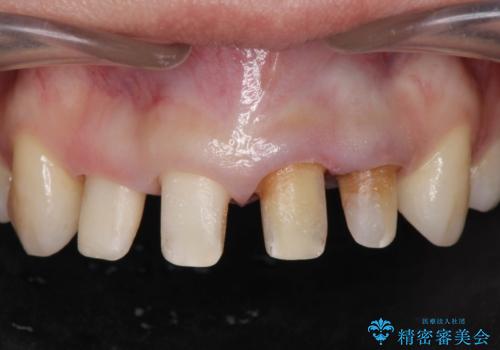
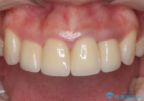
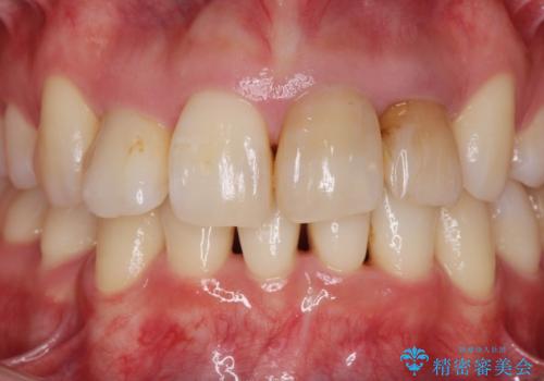
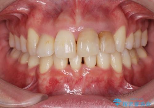
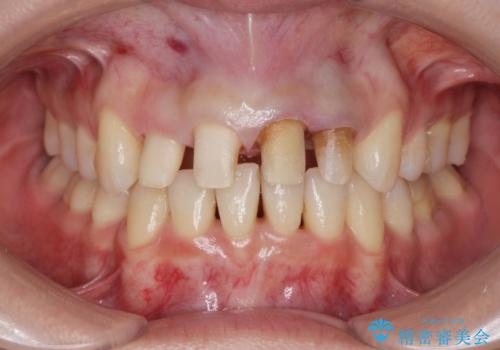
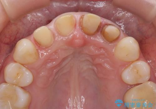
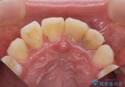
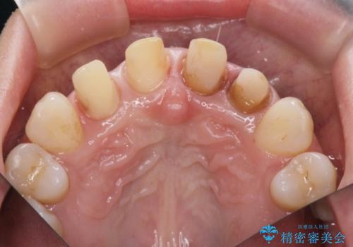
- 神経の死んでしまっている前歯の変色の改善を求めて来院されました。
根管治療をしたのち時間が経過して変色が目立つ歯と、レジン充填が複数箇所に及んでいる歯も同時にオールセラミック治療を行っていくこととなりました。
- 費用(概算)
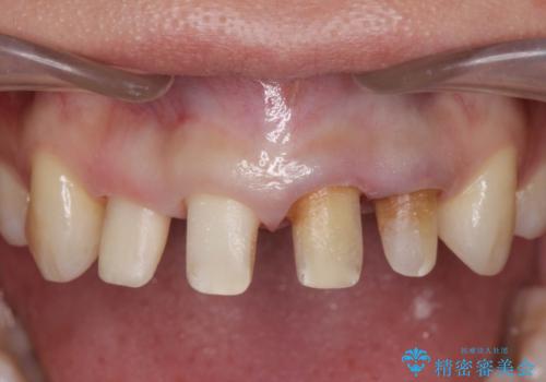
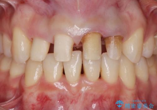
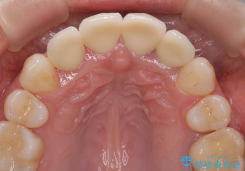
- 52.8万円(ジルコニアクラウン×4・仮歯×4)費用は治療当時の料金となります
治療について
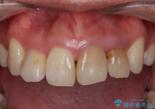
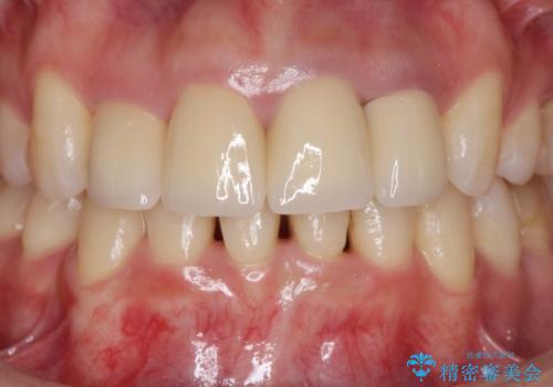
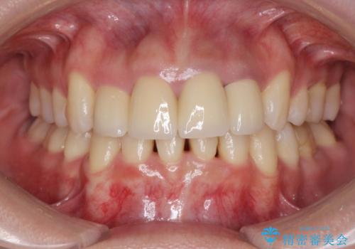
自然な歯の色に仕上げることができ、大変喜んでいただくことができました。
セラミック治療の注意事項(リスク・副作用など)
- 天然歯を削ります
- 硬い素材は天然歯を傷つけてしまう場合があります
- かみ合わせや歯ぎしりが強すぎる方はセラミックが割れてしまう可能性があります
- 自費診療(保険適用外治療)となります
当サイトの内容、テキスト、画像等の無断転載、複製、複写、盗用を固く禁じます。




















