症例詳細
Case detail
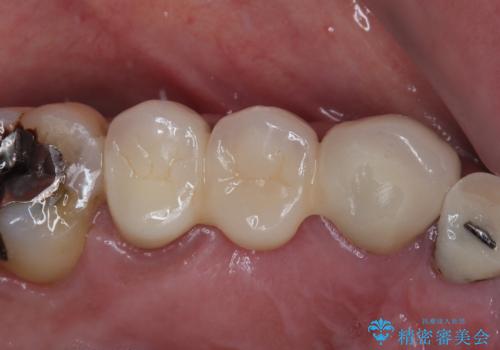
破折した歯 オールセラミックブリッジの補綴治療
治療症例の内容
- 診療科目
- 担当医
- 藤巻太一朗(ドクタープロフィール)
- 患者様
- 50代男性
- 治療期間
- 6ヶ月
- 治療回数
- 5-10回
- 治療計画
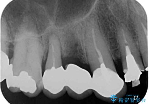
- 歯が割れてしまったとのことで来院された患者様です。
痛みは特にありませんでしたが、以前から歯が割れていることを指摘されており、徐々に不快感が増してきたとのことでした。
咬合力が強く、抜歯となる破折歯の前後の歯はいずれも神経が除去された歯であることから、ブリッジでは長期的な予後に不安があると判断されましたが、前後の銀歯も一気にきれいにしたいとのことで、オールセラミックブリッジによる補綴治療を行うこととしました。
- 費用(概算)
- 治療費の目安: 40万円(税込)費用は治療当時の料金となります
治療について
ブリッジの支台が破折した場合にはインプラント治療が必須となるため、咬合力による破折を避ける目的で、就寝時のマウスピース装着が非常に重要となります。
セラミック治療の注意事項(リスク・副作用など)
- 天然歯を削ります
- 硬い素材は天然歯を傷つけてしまう場合があります
- かみ合わせや歯ぎしりが強すぎる方はセラミックが割れてしまう可能性があります
- 自費診療(保険適用外治療)となります
当サイトの内容、テキスト、画像等の無断転載、複製、複写、盗用を固く禁じます。










