症例詳細
Case detail
根元がうずく前歯 根管治療とオールセラミック治療
治療症例の内容
- 診療科目
- 担当医
- 藤巻太一朗(ドクタープロフィール)
- 患者様
- 30代女性
- 治療期間
- 6ヶ月
- 治療回数
- 2-5回
- 治療計画
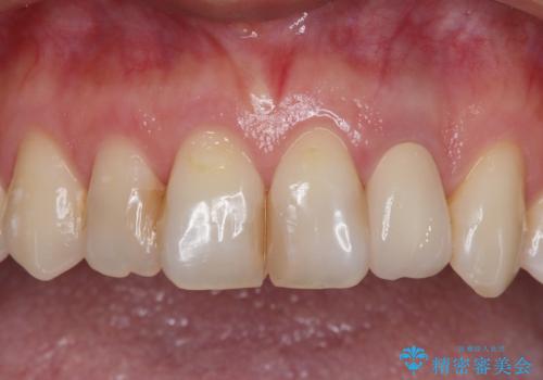
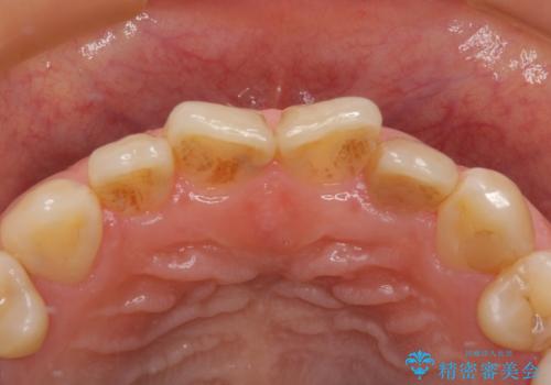
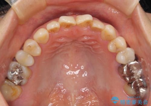
- 前歯に痛みを感じて来院された患者様です。
以前虫歯治療を行った歯が痛み出し、鼻の下を押すと強い痛みを感じていました。
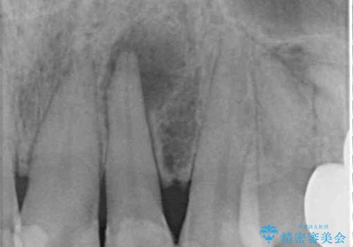
レントゲン写真から、大きくなった根尖病変が認められました。
根管治療を行い、その後オールセラミッククラウンにて補綴治療を行うこととしました。
- 費用(概算)
- 治療費の目安: 26万円(税込)費用は治療当時の料金となります
治療について
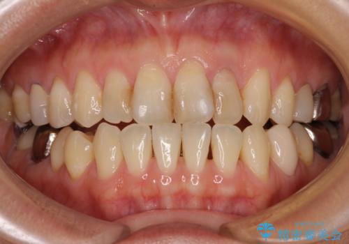
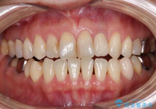
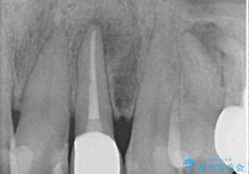
根管治療後速やかに痛みが消退し、6ヶ月後のレントゲン写真では、根尖部の病変がほぼなくなっていることが分かりました。
セラミック治療の注意事項(リスク・副作用など)
- 天然歯を削ります
- 硬い素材は天然歯を傷つけてしまう場合があります
- かみ合わせや歯ぎしりが強すぎる方はセラミックが割れてしまう可能性があります
- 自費診療(保険適用外治療)となります
根管治療の注意事項(リスク・副作用など)
- 根管治療により類似の全ての症例の問題が解決するわけではなく、症例はあくまでも一例です
- 根管治療により痛みや腫れがひかない事や、術後に痛みや腫れが生じる事、治療によるファイル破折やパーフォレーションなどの偶発症、術後の歯根破折を生じる可能性もあります
- 自費診療(保険適用外)となります
当サイトの内容、テキスト、画像等の無断転載、複製、複写、盗用を固く禁じます。













