症例詳細
Case detail
唇が閉じにくい ワイヤー装置での抜歯矯正
治療症例の内容
- 診療科目
- 治療カテゴリ
- 担当医
- 藤巻太一朗(ドクタープロフィール)
- 患者様
- 30代女性
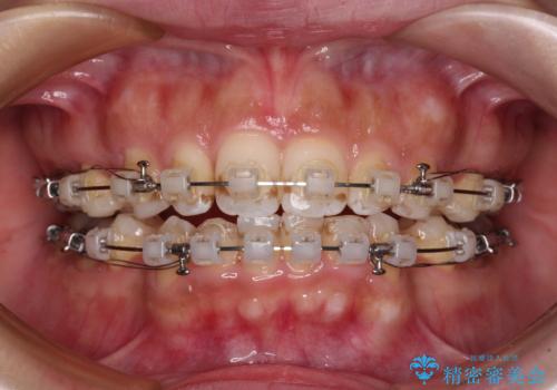
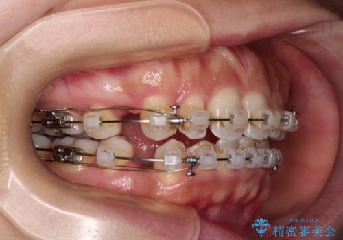
- 矯正装置
- クリアブラケット
- 治療期間
- 1年11ヶ月
- 治療回数
- 10-30回
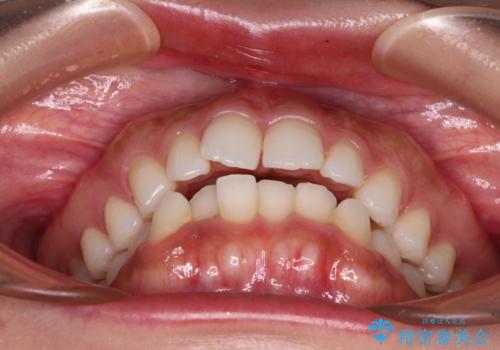
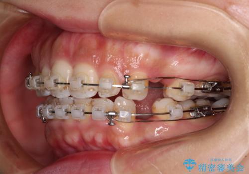
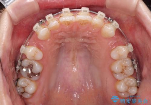
- 治療計画
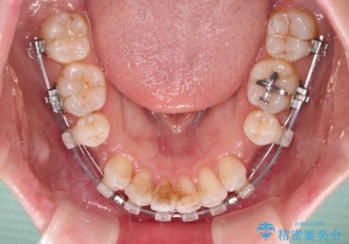
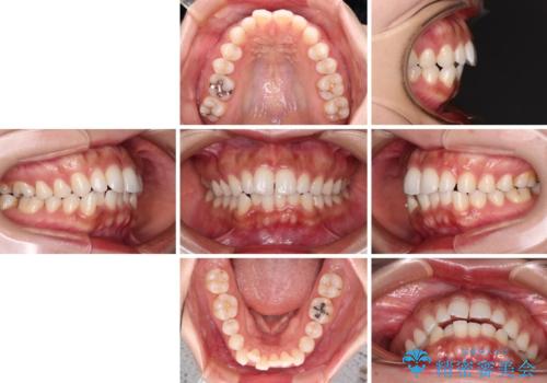
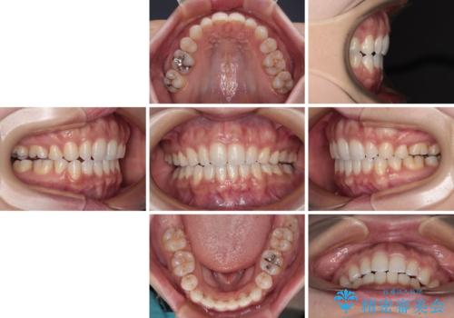
- 唇が閉じにくく、上の前歯が下唇に当たって気になるとのことで来院された患者様です。
レントゲン写真での分析結果からは、抜歯矯正をするかどうか悩む境界線上でしたが、主訴が口元の突出感であったため、上下左右の第一小臼歯4本を抜歯して矯正治療を行うこととしました。
- 費用(概算)
- 治療費の目安: 100万円(税込)費用は治療当時の料金となります
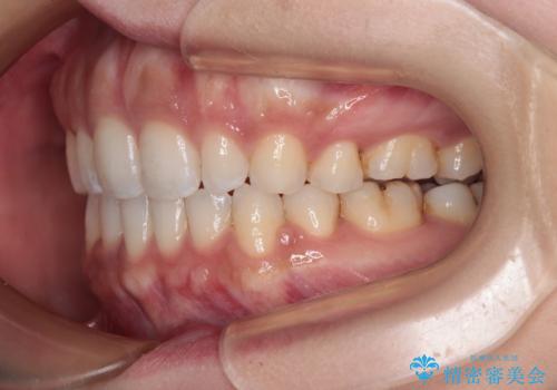
治療について
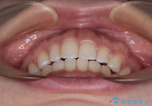
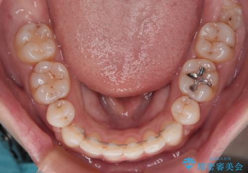
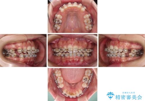
上下ともに前歯が少し舌側に傾斜したような仕上がりとなりましたが、口が閉じやすくなったとのことで、患者様には大変満足していただけました。
ワイヤー矯正の注意事項(リスク・副作用など)
- 治療中は違和感や痛みが起こることがあります
- 症状により、抜歯が必要な場合があります
- 治療中は歯磨きがしにくくなるため、虫歯や歯周病になりやすくなります
- 矯正治療後の保定が不十分だと後戻り(元の位置に戻ろうとする動き)をします
- 自費診療(保険適用外)となります
当サイトの内容、テキスト、画像等の無断転載、複製、複写、盗用を固く禁じます。


























