症例詳細
Case detail
八重歯と開咬の抜歯矯正 ワイヤー装置を併用したインビザライン矯正治療
治療症例の内容
- 担当医
- 藤巻太一朗(ドクタープロフィール)
- 患者様
- 20代女性
- 矯正装置
- インビザライン・審美装置
- 治療期間
- 1年10ヶ月
- 治療回数
- 10-30回
- 治療計画
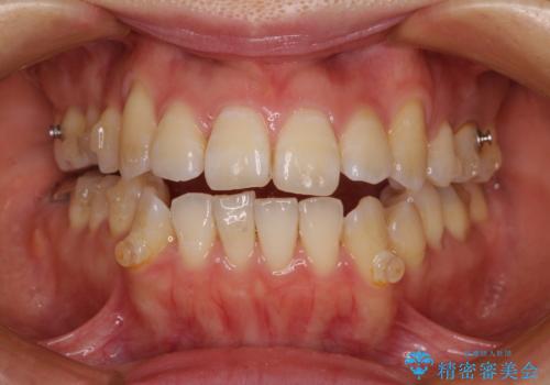
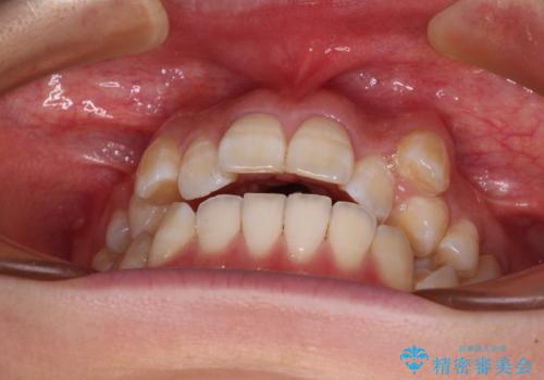
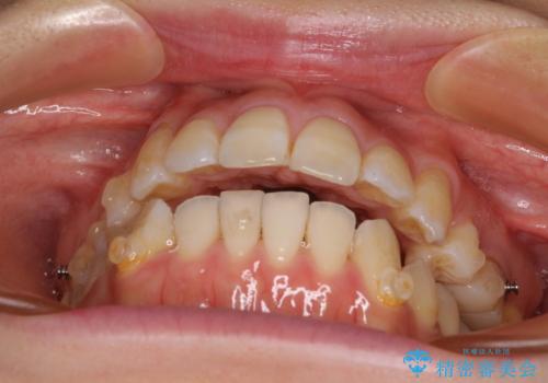
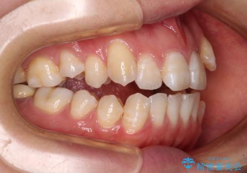
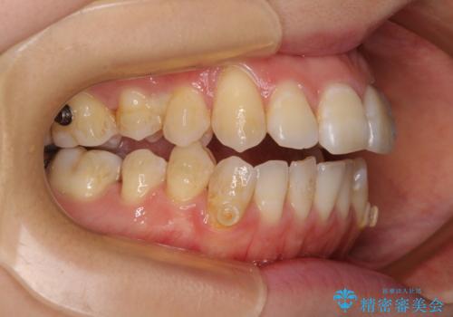
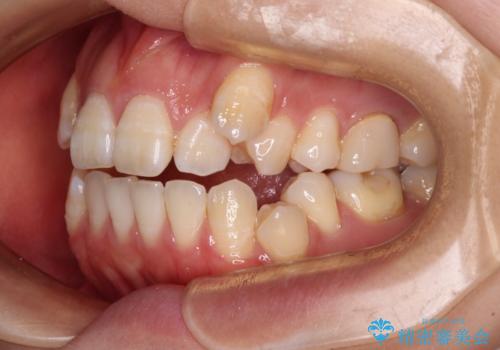
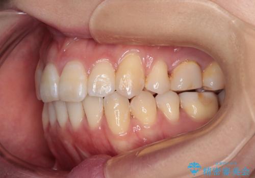
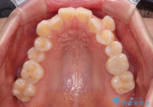
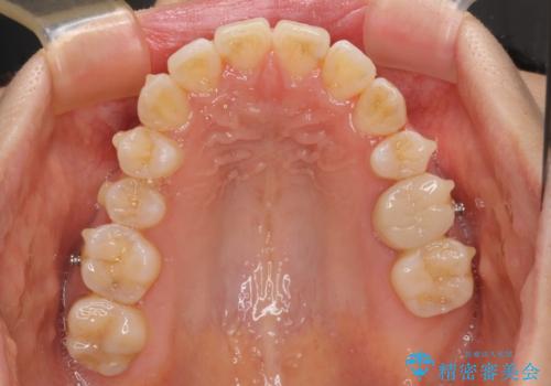
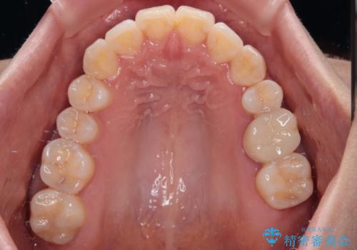
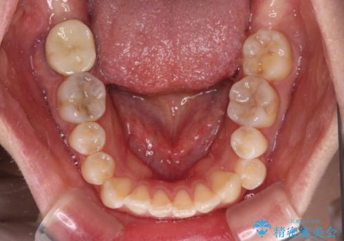
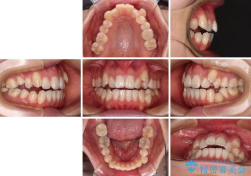
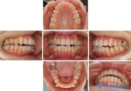
- 咬み合わない前歯と八重歯などのデコボコを気にして来院された患者様です。
上下前歯の位置を比較すると上顎が前方にあり、デコボコ改善でより上顎が前方に行く可能性があります。
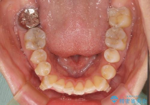
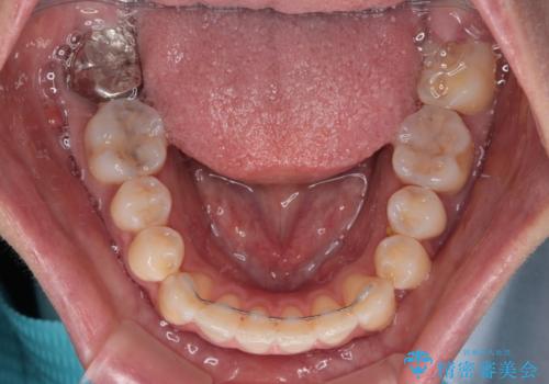
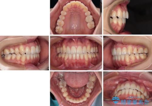
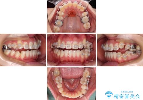
開咬の改善にはインビザラインが有効であり、インビザライン単体での治療を検討しましたが、上顎前突を回避するために上顎左側第一小臼歯抜歯を行うこととしたため、補助装置とワイヤー矯正を併用した上で、インビザラインによる矯正治療を行うこととしました。
- 費用(概算)
- 治療費の目安: 105万円(税込)費用は治療当時の料金となります
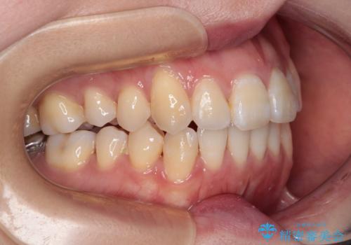
治療について
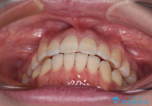
インビザライン矯正治療では、臼歯の圧下による前歯部の早期接触が大きな問題となっています。開咬では、その臼歯圧下を逆手にとって前歯部の非接触を改善させることができます。
マウスピース矯正の注意事項(リスク・副作用など)
- 口腔内・歯並びの状態によっては対応できない場合があります
- マウスピース型矯正装置の長時間装着(1日20時間以上)が必須です
- 治療計画通りに進めるためには、患者様の意志が重要になります
- 矯正治療後の保定が不十分だと後戻り(元の位置に戻ろうとする動き)をします
- 薬機法対象外の矯正歯科装置のため医薬品副作用被害救済制度の対象外となる場合があります
- 自費診療(保険適用外)となります
ワイヤー矯正の注意事項(リスク・副作用など)
- 治療中は違和感や痛みが起こることがあります
- 症状により、抜歯が必要な場合があります
- 治療中は歯磨きがしにくくなるため、虫歯や歯周病になりやすくなります
- 矯正治療後の保定が不十分だと後戻り(元の位置に戻ろうとする動き)をします
- 自費診療(保険適用外)となります
当サイトの内容、テキスト、画像等の無断転載、複製、複写、盗用を固く禁じます。




























