症例詳細
Case detail
しゃくれて口が閉じられない ワイヤー装置での抜歯矯正
治療症例の内容
- 診療科目
- 担当医
- 藤巻太一朗(ドクタープロフィール)
- 患者様
- 30代男性
- 矯正装置
- 審美装置
- 治療期間
- 2年6ヶ月
- 治療回数
- 30回以上
- 治療計画
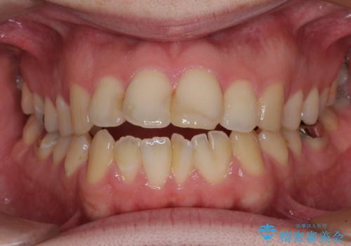
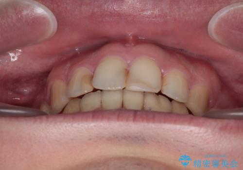
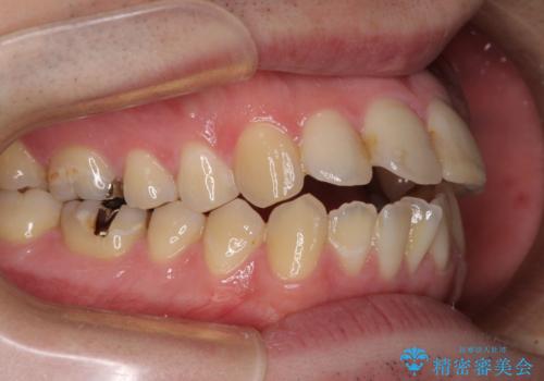
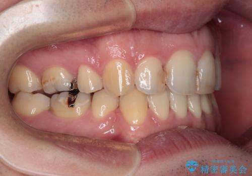
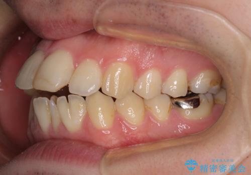
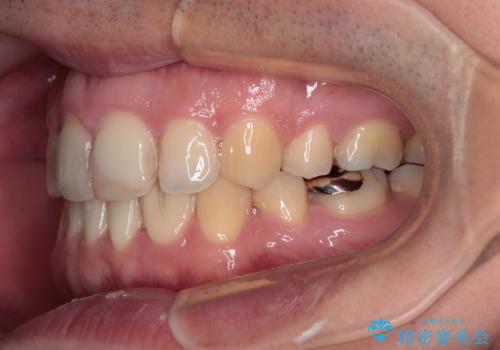
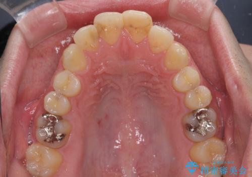
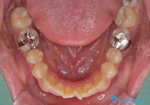
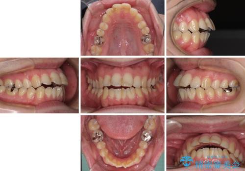
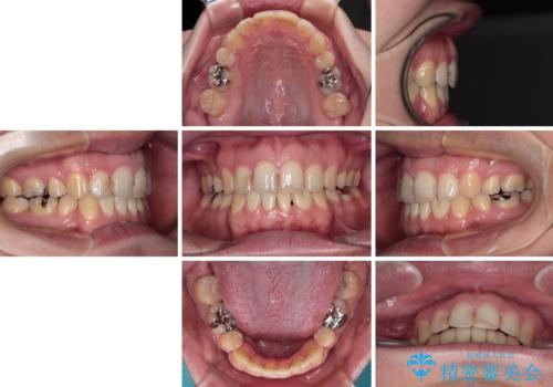
- 口がうまく閉じられないとのことで来院された患者様です。
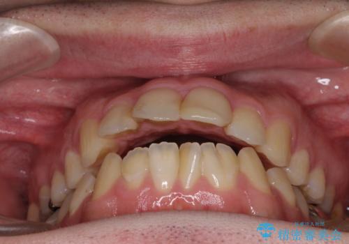
上下唇をしっかり合わせようとすると、顎先が前方に突出してしまうほど口が閉じにくい状態でした。
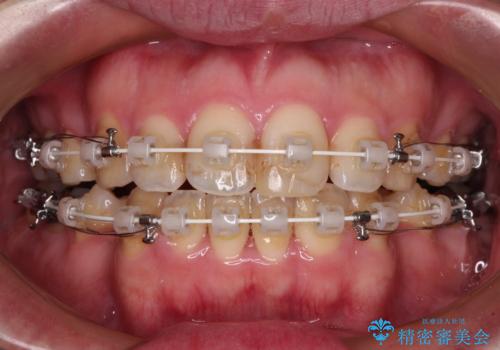
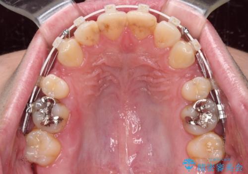
口元の突出感を改善するために上下左右の第一小臼歯4本を抜歯し、ワイヤー装置にて矯正治療を行うこととしました。
また、上下前歯は舌の突出癖による開咬となっていたため、舌のトレーニングを徹底するよう指示しました。
- 費用(概算)
- 治療費の目安: 105万円(税込)費用は治療当時の料金となります
治療について
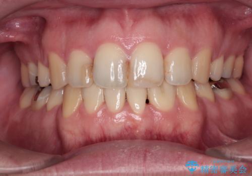
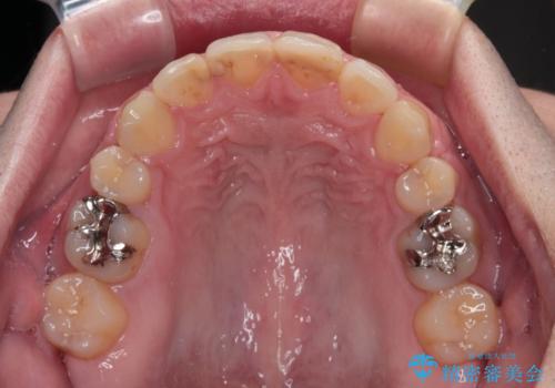
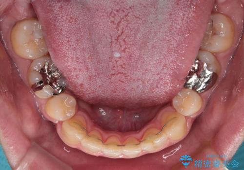
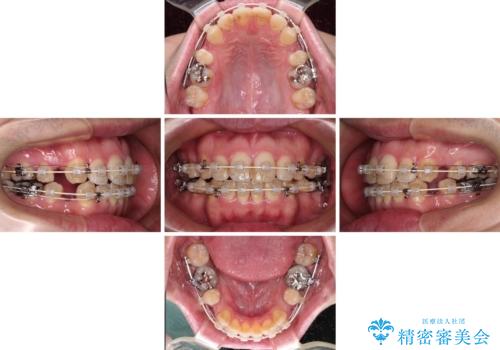
舌突出癖の改善トレーニングは、仕上がり、治療期間、そして治療後の後戻りに大きな影響を及ぼします。
トレーニングをしっかりと行っていただいたため、スッキリとした口元に仕上がりました。
ワイヤー矯正の注意事項(リスク・副作用など)
- 治療中は違和感や痛みが起こることがあります
- 症状により、抜歯が必要な場合があります
- 治療中は歯磨きがしにくくなるため、虫歯や歯周病になりやすくなります
- 矯正治療後の保定が不十分だと後戻り(元の位置に戻ろうとする動き)をします
- 自費診療(保険適用外)となります
当サイトの内容、テキスト、画像等の無断転載、複製、複写、盗用を固く禁じます。


























