症例詳細
Case detail
治療途中で帰国 装置をつけた状態を継続して矯正治療
治療症例の内容
- 診療科目
- 担当医
- 藤巻太一朗(ドクタープロフィール)
- 患者様
- 30代女性
- 矯正装置
- 審美装置
- 治療期間
- 1年4ヶ月
- 治療回数
- 10-30回
- 治療計画
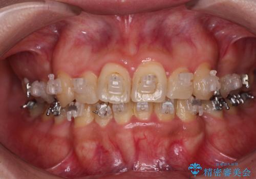
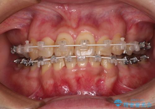
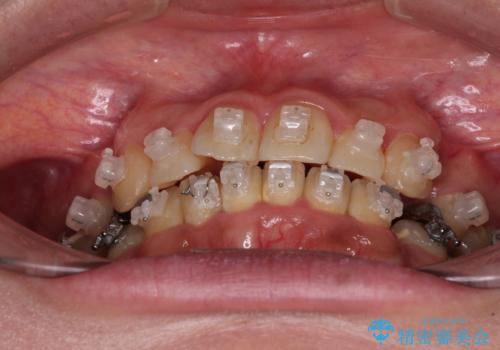
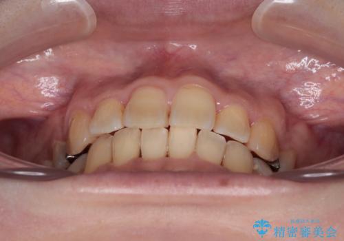
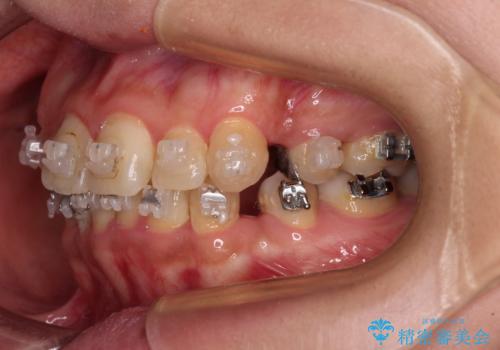
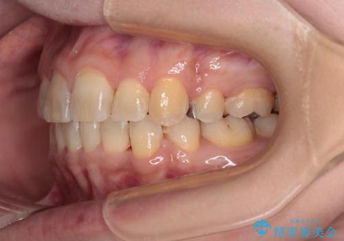
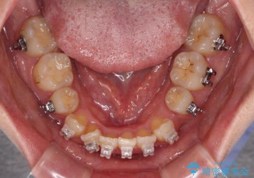
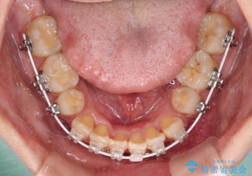
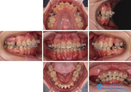
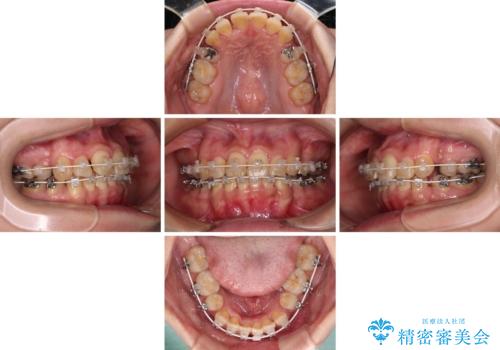
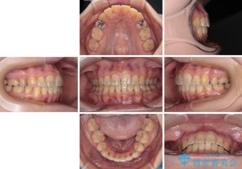
- 海外で抜歯矯正を開始し、治療途中で帰国したため、転院先を探しているとのことで来院された患者様です。
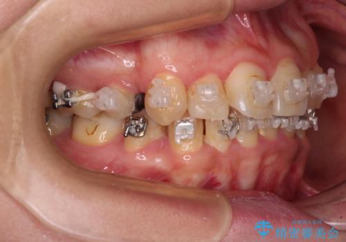
ワイヤーは抜けてしまい、後戻りが始まっている状態でしたが、既存の装置を継続利用して受け入れてくれる医院が見つからないとのことでした。
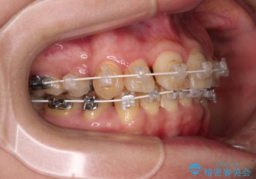
当院では、張り替える必要のある部位は張り替えることで継続することとし、抜歯スペースを閉じていくように治療を行うこととしました。
- 費用(概算)
- 治療費の目安: 77万円(税込)費用は治療当時の料金となります
治療について
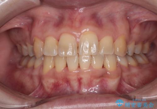
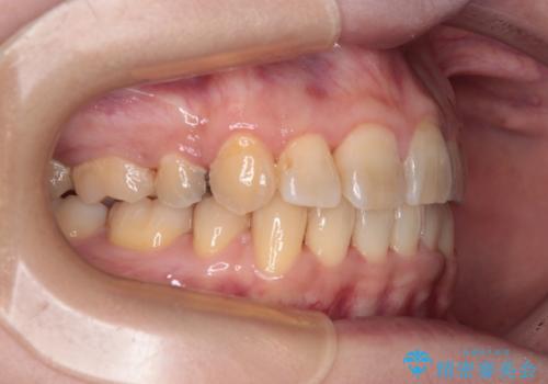
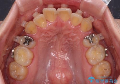
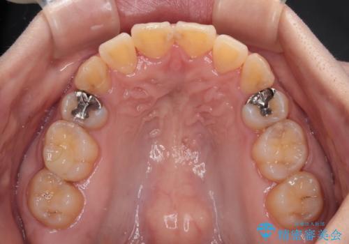
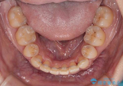
後戻りにリカバリーに少し時間を要しましたが、1年強の期間で無事に治療を終えることができました。
ワイヤー矯正の注意事項(リスク・副作用など)
- 治療中は違和感や痛みが起こることがあります
- 症状により、抜歯が必要な場合があります
- 治療中は歯磨きがしにくくなるため、虫歯や歯周病になりやすくなります
- 矯正治療後の保定が不十分だと後戻り(元の位置に戻ろうとする動き)をします
- 自費診療(保険適用外)となります
当サイトの内容、テキスト、画像等の無断転載、複製、複写、盗用を固く禁じます。


























