症例詳細
Case detail
色の不釣り合いな前歯 オールセラミッククラウンで調和の取れた前歯に
治療症例の内容
- 診療科目
- 治療カテゴリ
- 担当医
- 藤巻太一朗(ドクタープロフィール)
- 患者様
- 40代女性
- 治療期間
- 2ヶ月
- 治療回数
- 2-5回
- 治療計画
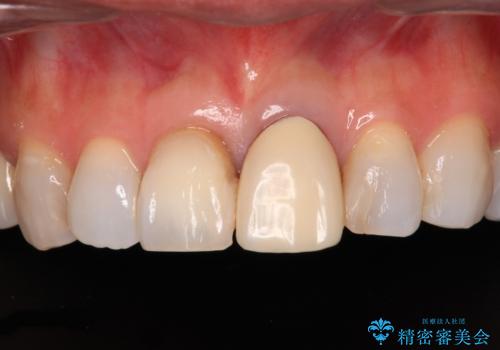
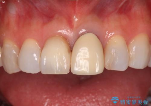
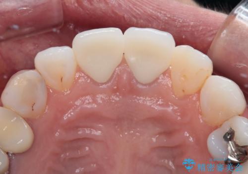
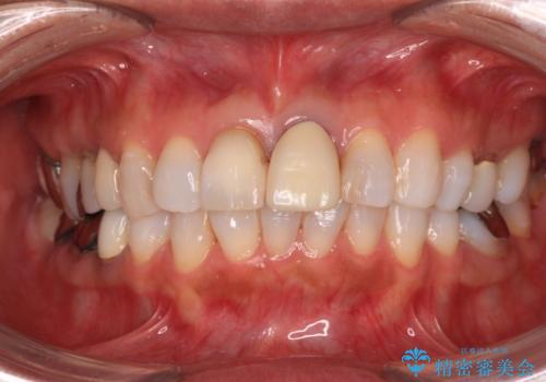
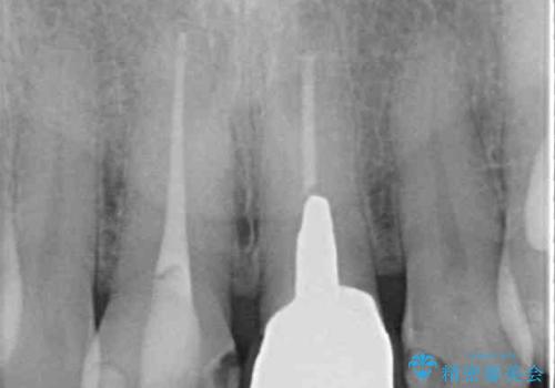
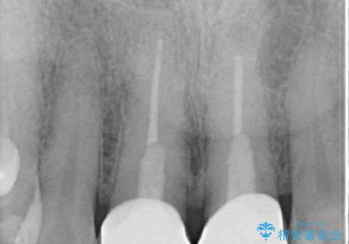
- 変色した保険の前歯のクラウンを交換したいとのことで来院された患者様です。
中心左側の歯はクラウンが装着されており、右側は神経組織が除去されて多少変色している状態でした。
右側の歯も将来的にもっと変色する可能性があるため、前歯2本をオールセラミッククラウンにて補綴治療を行うこととしました。
- 費用(概算)
- 治療費の目安: 30万円(税込)費用は治療当時の料金となります
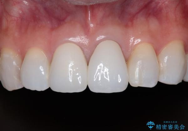
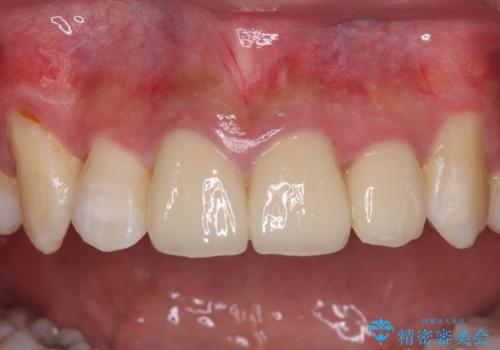
治療について
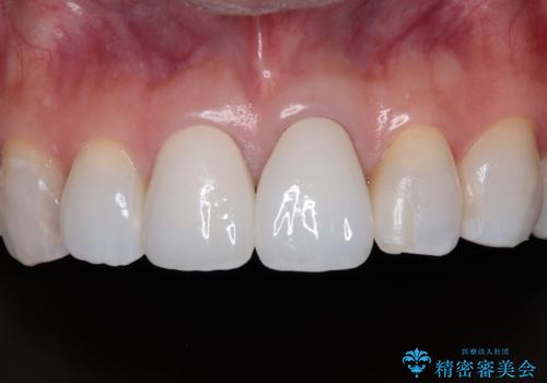
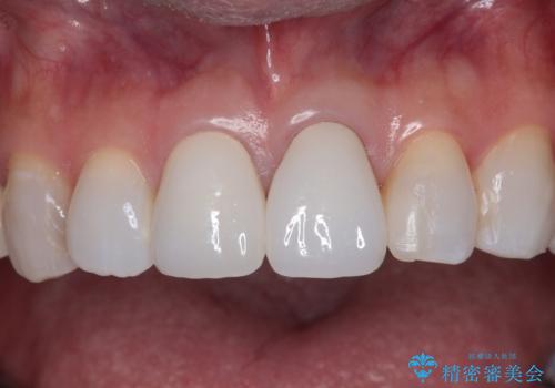
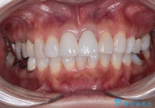
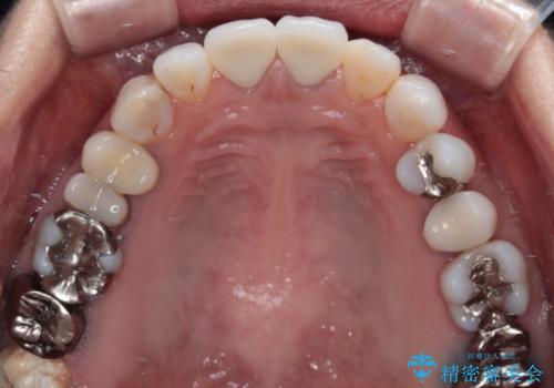
元々の歯の色が非常に白く、セラミッククラウンの色調を合わせるのに苦労しましたが、最終的に大変満足いただけるクラウンを装着することができました。
セラミック治療の注意事項(リスク・副作用など)
- 天然歯を削ります
- 硬い素材は天然歯を傷つけてしまう場合があります
- かみ合わせや歯ぎしりが強すぎる方はセラミックが割れてしまう可能性があります
- 自費診療(保険適用外治療)となります
当サイトの内容、テキスト、画像等の無断転載、複製、複写、盗用を固く禁じます。












