症例詳細
Case detail
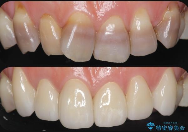
[ テトラサイクリン歯 ] 長年気になっていた変色歯を改善
治療症例の内容
- 診療科目
- 治療カテゴリ
- 担当医
- 大元洋佑(ドクタープロフィール)
- 患者様
- 30代女性
- 治療期間
- 1ヶ月
- 治療回数
- 2-5回
- 治療計画
- 長年気になっていた歯の変色を希望され来院されました。
他院でホワイトニングを何度か試したものの、理想に近い歯の白さは得られず、セラミック治療を進めていくこととなりました。
- 費用(概算)
- 79.2万円(ジルコニアクラウン×6・仮歯×6 )費用は治療当時の料金となります
治療について
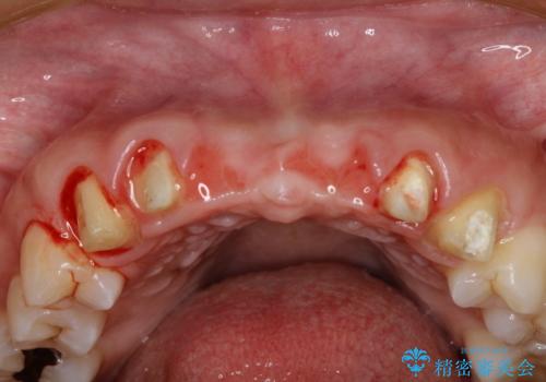
クラウン治療は歯を削合する必要がありますが、歯の変色を抜本的に改善することができます。
また歯の神経を温存しつつ、歯並びもある程度改善することが可能です。
セラミック治療の注意事項(リスク・副作用など)
- 天然歯を削ります
- 硬い素材は天然歯を傷つけてしまう場合があります
- かみ合わせや歯ぎしりが強すぎる方はセラミックが割れてしまう可能性があります
- 自費診療(保険適用外治療)となります
当サイトの内容、テキスト、画像等の無断転載、複製、複写、盗用を固く禁じます。

![[ テトラサイクリン歯 ] 長年気になっていた変色歯を改善の治療前](https://seimitsushinbi.jp/wp/wp-content/uploads/2024/01/508429396e16c46fd773139ec0452b0d-500x350.jpg?v=1704365753)
![[ テトラサイクリン歯 ] 長年気になっていた変色歯を改善の治療中](https://seimitsushinbi.jp/wp/wp-content/uploads/2024/01/e20a3ee0226c43b3d1f3bfa830b37a57-500x350.jpg?v=1704365762)
![[ テトラサイクリン歯 ] 長年気になっていた変色歯を改善の治療後](https://seimitsushinbi.jp/wp/wp-content/uploads/2024/01/423bcd0109b77995ae6555e218975732-500x350.jpg?v=1704365776)
![[ テトラサイクリン歯 ] 長年気になっていた変色歯を改善の治療前](https://seimitsushinbi.jp/wp/wp-content/uploads/2024/01/62c60f002b9e3f220a4071abf52e277f-500x350.jpg?v=1704421879)
![[ テトラサイクリン歯 ] 長年気になっていた変色歯を改善の治療後](https://seimitsushinbi.jp/wp/wp-content/uploads/2024/01/8415574ae0bc8b6b04121bf179f7bec9-500x350.jpg?v=1704421879)
![[ テトラサイクリン歯 ] 長年気になっていた変色歯を改善の治療前](https://seimitsushinbi.jp/wp/wp-content/uploads/2024/01/df44ba8a3dd60ed468a0bd8bd82b13af-500x350.jpg?v=1704365755)
![[ テトラサイクリン歯 ] 長年気になっていた変色歯を改善の治療中](https://seimitsushinbi.jp/wp/wp-content/uploads/2024/01/8297a9cfc04860a35eda86cdd7902e77-500x350.jpg?v=1704365763)
![[ テトラサイクリン歯 ] 長年気になっていた変色歯を改善の治療後](https://seimitsushinbi.jp/wp/wp-content/uploads/2024/01/055d48c6d02767c7f3799d754678dc31-500x350.jpg?v=1704365775)
![[ テトラサイクリン歯 ] 長年気になっていた変色歯を改善の治療前](https://seimitsushinbi.jp/wp/wp-content/uploads/2024/01/48210d9058a9eb42eeaa3a9f66eb967c-500x350.jpg?v=1704365750)
![[ テトラサイクリン歯 ] 長年気になっていた変色歯を改善の治療中](https://seimitsushinbi.jp/wp/wp-content/uploads/2024/01/3e9dd873c401645eb397a7e7c92b9bdc-500x350.jpg?v=1704365760)
![[ テトラサイクリン歯 ] 長年気になっていた変色歯を改善の治療後](https://seimitsushinbi.jp/wp/wp-content/uploads/2024/01/7296c3977166a3e0fb86e0742f0dc54e-500x350.jpg?v=1704365778)
![[ テトラサイクリン歯 ] 長年気になっていた変色歯を改善の治療前](https://seimitsushinbi.jp/wp/wp-content/uploads/2024/01/497a364c03a55eabeb62ad79bf839b04-500x350.jpg?v=1704365928)
![[ テトラサイクリン歯 ] 長年気になっていた変色歯を改善の治療中](https://seimitsushinbi.jp/wp/wp-content/uploads/2024/01/2f9aad01b30a82ec2028ed800a5141fd-500x350.jpg?v=1704365773)
![[ テトラサイクリン歯 ] 長年気になっていた変色歯を改善の治療後](https://seimitsushinbi.jp/wp/wp-content/uploads/2024/01/40aeffdc5782d090ff31849b98d30c97-500x350.jpg?v=1704365780)
![[ テトラサイクリン歯 ] 長年気になっていた変色歯を改善の治療前](https://seimitsushinbi.jp/wp/wp-content/uploads/2024/01/60da30142490b881993bf9d7f5325616-500x350.jpg?v=1704365758)
![[ テトラサイクリン歯 ] 長年気になっていた変色歯を改善の治療中](https://seimitsushinbi.jp/wp/wp-content/uploads/2024/01/951855c06c38c6fc3719760d05f2e4d0-500x350.jpg?v=1704365766)
![[ テトラサイクリン歯 ] 長年気になっていた変色歯を改善の治療後](https://seimitsushinbi.jp/wp/wp-content/uploads/2024/01/b24fd661d78e7c537a9cea702c6acdfa-500x350.jpg?v=1704365768)
![[ テトラサイクリン歯 ] 長年気になっていた変色歯を改善の治療前](https://seimitsushinbi.jp/wp/wp-content/uploads/2024/01/8fae888d14917cd51e9e0bcd492b58e3-500x350.jpg?v=1704365756)
![[ テトラサイクリン歯 ] 長年気になっていた変色歯を改善の治療中](https://seimitsushinbi.jp/wp/wp-content/uploads/2024/01/aab56482db894afd8a8e9f52d9b3b2bc-500x350.jpg?v=1704365977)
![[ テトラサイクリン歯 ] 長年気になっていた変色歯を改善の治療後](https://seimitsushinbi.jp/wp/wp-content/uploads/2024/01/1d8f9b61f6be7d1119b5ff90ba9bb964-500x350.jpg?v=1704365770)