症例詳細
Case detail
銀歯をセラミック治療で白く
治療症例の内容
- 診療科目
- 治療カテゴリ
- 担当医
- 大元洋佑(ドクタープロフィール)
- 患者様
- 40代女性
- 治療期間
- 1ヶ月
- 治療回数
- 2-5回
- 治療計画
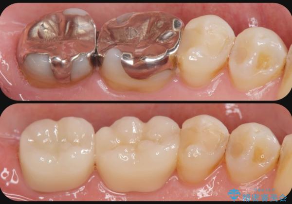
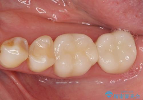
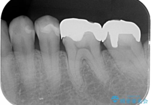
- 「長年使っている奥歯の目立つ銀歯を白くしたい。」、と希望され来院されました。
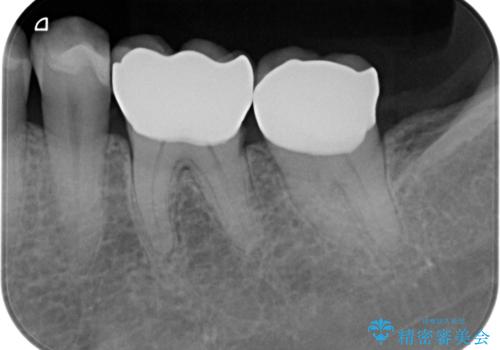
 銀歯を丁寧に除去し、このように銀の覆っている面積が多い場合は、インレータイプではなくより強度に優れ歯もセラミックも長持ちするジルコニアクラウンでの治療を計画します。
- 費用(概算)
- 26.4万円(ジルコニアクラウン×2・仮歯×2)費用は治療当時の料金となります
治療について
天然歯のような白さのセラミッククラウンで、歯本来の審美性を回復することができました。
セラミック治療の注意事項(リスク・副作用など)
- 天然歯を削ります
- 硬い素材は天然歯を傷つけてしまう場合があります
- かみ合わせや歯ぎしりが強すぎる方はセラミックが割れてしまう可能性があります
- 自費診療(保険適用外治療)となります
当サイトの内容、テキスト、画像等の無断転載、複製、複写、盗用を固く禁じます。








 
                       
                                                          





![[前歯部審美治療] 仮歯からオールセラミッククラウンへ](https://seimitsushinbi.jp/wp/wp-content/uploads/2017/11/a546d4c79a1394a8e786d3fe6a1af4e0-500x350.jpg) 
                  ![[ メタルフリー ] 金属を外してセラミック治療](https://seimitsushinbi.jp/wp/wp-content/uploads/2024/07/6ee617e0fd102f173b89c986375955fe-500x350.jpg?v=1721182918) 
                   
                  