症例詳細
Case detail
すきっ歯をインビザラインできれいな歯並びに改善
治療症例の内容
- 診療科目
- 担当医
- 藤巻太一朗(ドクタープロフィール)
- 患者様
- 20代女性
- 矯正装置
- インビザライン
- 治療期間
- 1年5ヶ月
- 治療回数
- 5-10回
- 治療計画
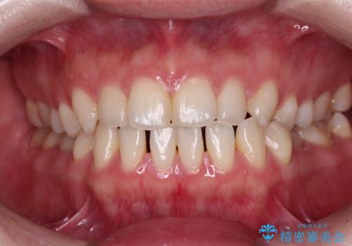
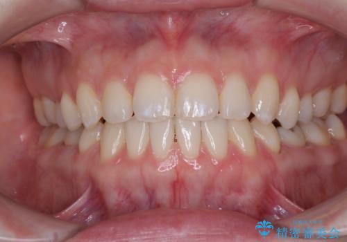
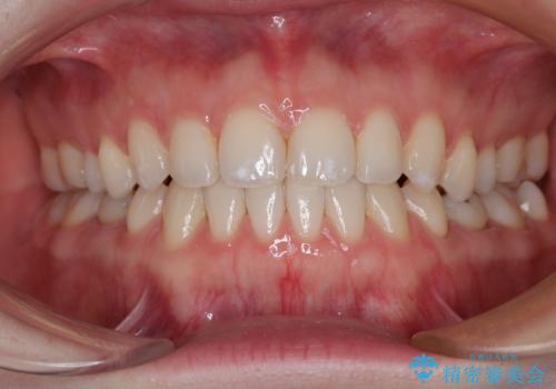
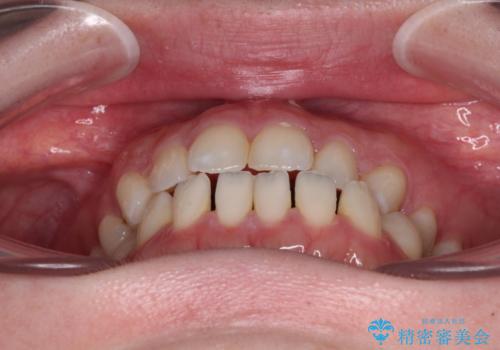
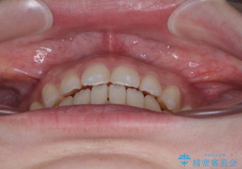
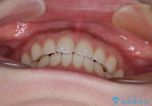
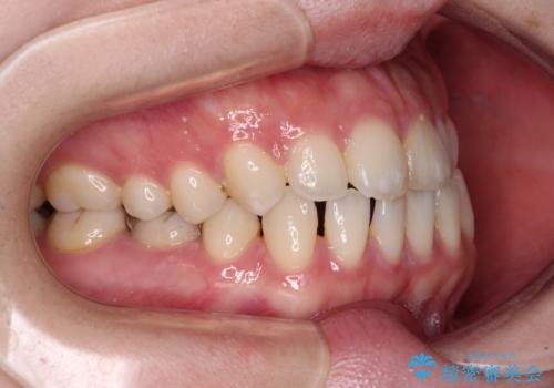
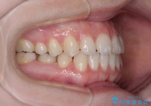
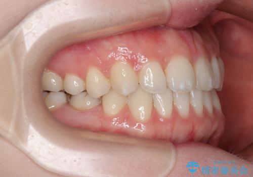
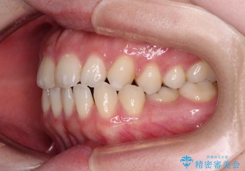
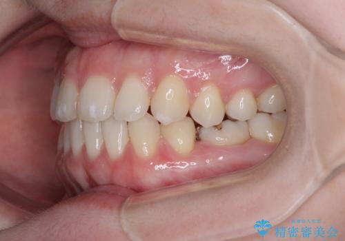
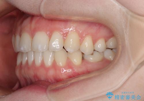
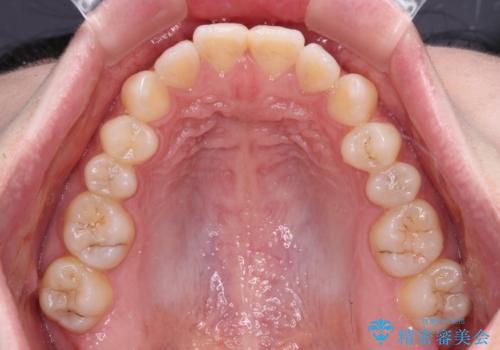
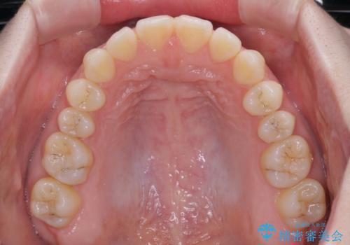
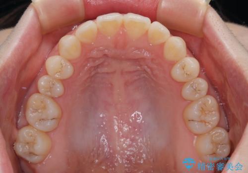
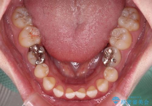
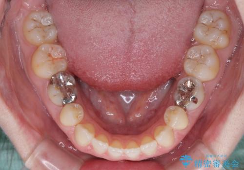
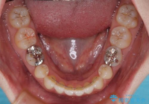
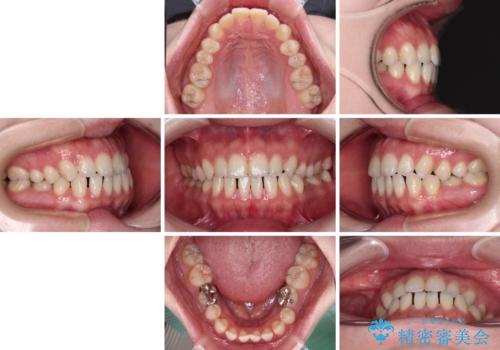
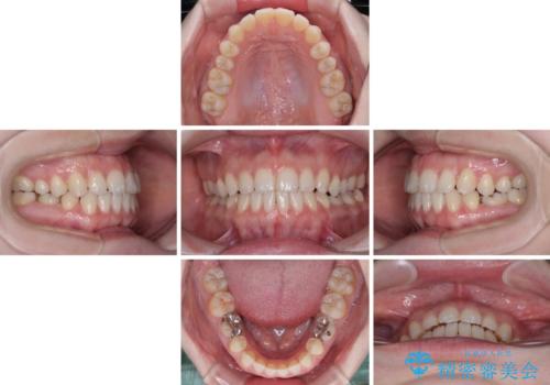
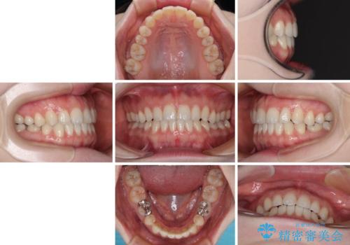
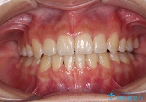
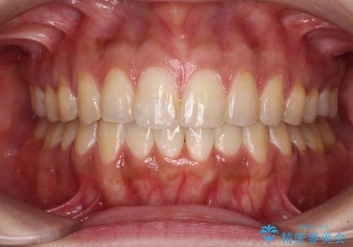
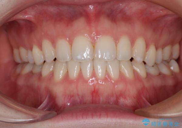
- 前歯の隙間を気にして来院された患者様です。
隙間や叢生の程度はそれほど著しいものではなかったので、インビザラインでもワイヤー矯正でも対応可能でしたが、極力目立たない装置を希望されたため、インビザラインにて矯正治療を行うこととしました。
- 費用(概算)
- 治療費の目安: 90万円(税込)費用は治療当時の料金となります
治療について
すきっ歯の原因は色々ありますが、嚥下や発音時の舌突出癖が大きな原因となることがあります。
こちらの患者様も強い突出癖があったため、舌のトレーニング指導を行いました。
マウスピース矯正の注意事項(リスク・副作用など)
- 口腔内・歯並びの状態によっては対応できない場合があります
- マウスピース型矯正装置の長時間装着(1日20時間以上)が必須です
- 治療計画通りに進めるためには、患者様の意志が重要になります
- 矯正治療後の保定が不十分だと後戻り(元の位置に戻ろうとする動き)をします
- 薬機法対象外の矯正歯科装置のため医薬品副作用被害救済制度の対象外となる場合があります
- 自費診療(保険適用外)となります
当サイトの内容、テキスト、画像等の無断転載、複製、複写、盗用を固く禁じます。



























