症例詳細
Case detail
矮小歯と欠損によるずれた位置の大きな歯 オールセラミッククラウンで自然に
治療症例の内容
- 診療科目
- 治療カテゴリ
- 担当医
- 藤巻太一朗(ドクタープロフィール)
- 患者様
- 20代女性
- 治療期間
- 1ヶ月
- 治療回数
- 2-5回
- 治療計画
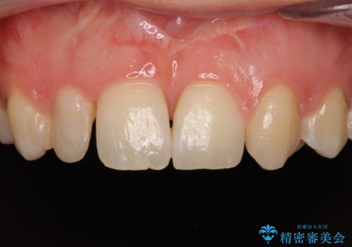
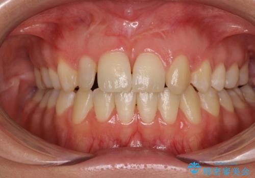
- 他院で矯正治療を終え、上顎前から2番目の歯の大きさを気にして来院された患者様です。
右側は小さく、左側は欠損により犬歯が前から2番に来ている状態でした。
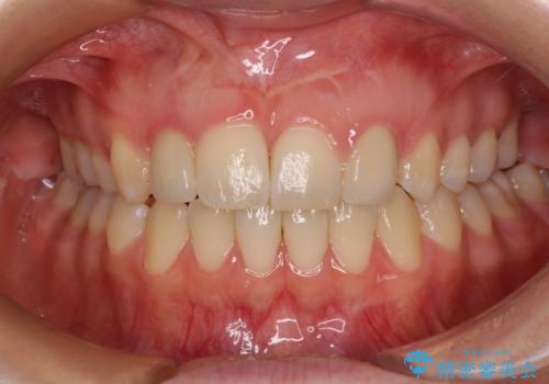
矯正治療の段階で、矮小歯は前後にスペースが作ってあったため、極力左右対称の歯冠形態となるように補綴治療を行うこととしました。
- 費用(概算)
- 治療費の目安: 26万円(税込)費用は治療当時の料金となります
治療について
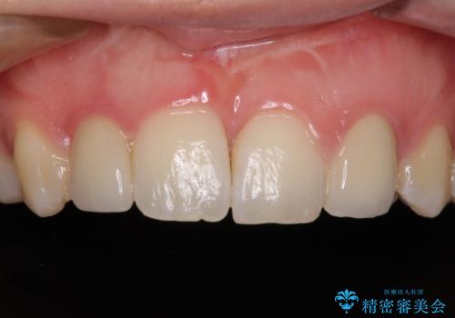
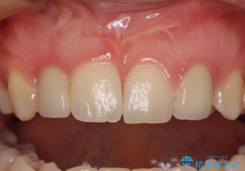
歯根の太さや幅が左右で異なるため、歯肉ラインはどうしても左右非対称となってしまいますが、とても自然な口元となりました。
セラミック治療の注意事項(リスク・副作用など)
- 天然歯を削ります
- 硬い素材は天然歯を傷つけてしまう場合があります
- かみ合わせや歯ぎしりが強すぎる方はセラミックが割れてしまう可能性があります
- 自費診療(保険適用外治療)となります
当サイトの内容、テキスト、画像等の無断転載、複製、複写、盗用を固く禁じます。












