症例詳細
Case detail
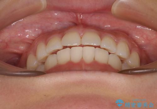
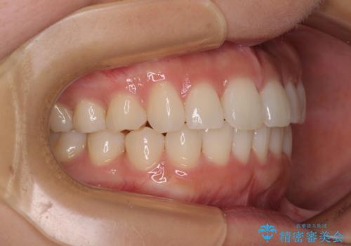
上下前歯のデコボコ ワイヤー装置で楽して改善
治療症例の内容
- 診療科目
 
- 治療カテゴリ
 
- 担当医
 - 藤巻太一朗(ドクタープロフィール)
 
- 患者様
 - 20代女性
 
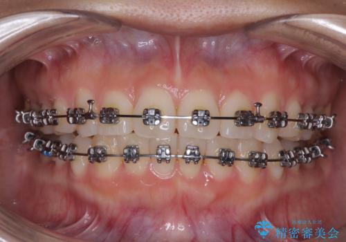
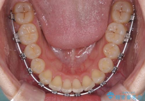
- 矯正装置
 - メタルブラケット
 
- 治療期間
 - 1年6ヶ月
 
- 治療回数
 - 10-30回
 
- 治療計画
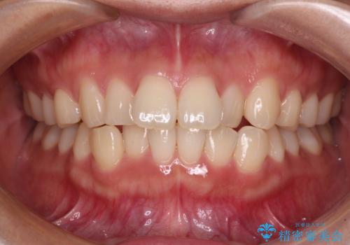
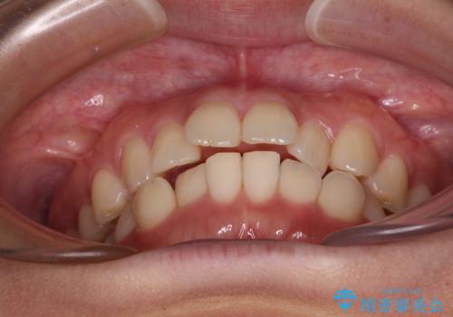
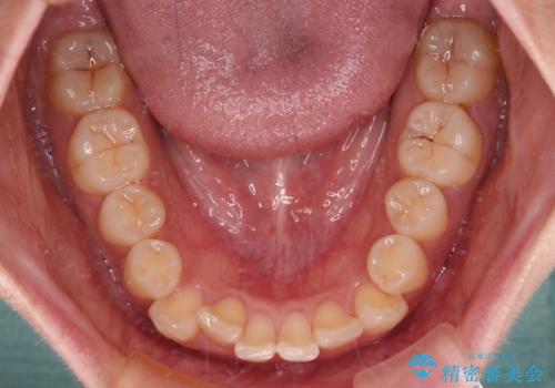
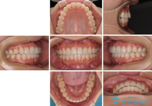
 - 上下前歯のデコボコを気にして来院された患者様です。
ワイヤー矯正でもインビザラインでも、どの装置でも対応可能でしたが、安価で楽して素早く治療を終えたいとのことで、メタルブラケット装置による矯正治療を行うこととしました。 
- 費用(概算)
 - 治療費の目安: 80万円(税込)費用は治療当時の料金となります
 
治療について
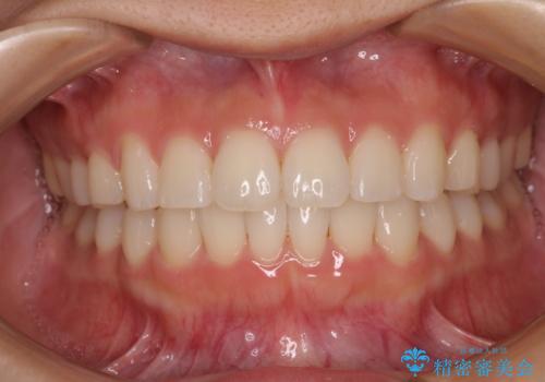
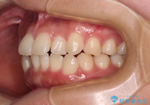
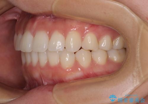
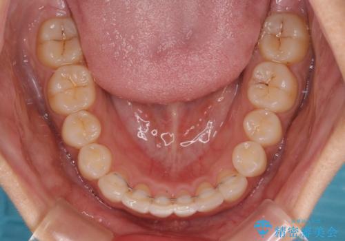
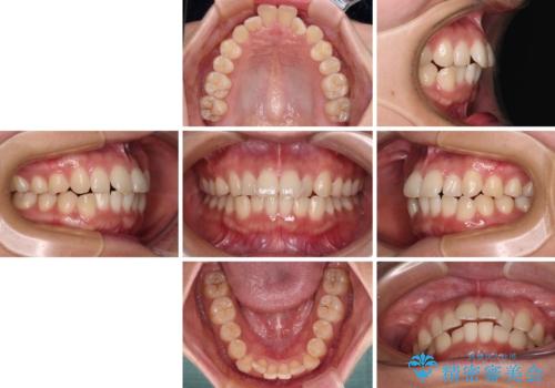
治療中は大きなトラブルもなく、予定の1年半でスムーズに治療を終えることができました。
ワイヤー矯正の注意事項(リスク・副作用など)
- 治療中は違和感や痛みが起こることがあります
 - 症状により、抜歯が必要な場合があります
 - 治療中は歯磨きがしにくくなるため、虫歯や歯周病になりやすくなります
 - 矯正治療後の保定が不十分だと後戻り(元の位置に戻ろうとする動き)をします
 - 自費診療(保険適用外)となります
 
当サイトの内容、テキスト、画像等の無断転載、複製、複写、盗用を固く禁じます。

                      
                                                          
























