症例詳細
Case detail
気になる八重歯 ワイヤー装置での非抜歯矯正
治療症例の内容
- 診療科目
- 担当医
- 藤巻太一朗(ドクタープロフィール)
- 患者様
- 20代女性
- 矯正装置
- 審美装置
- 治療期間
- 2年6ヶ月
- 治療回数
- 10-30回
- 治療計画
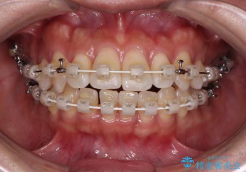
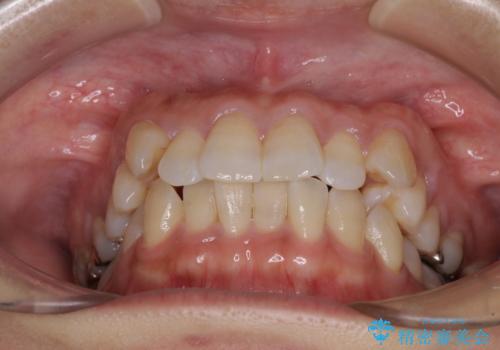
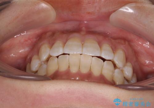
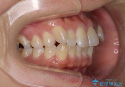
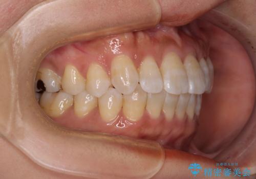
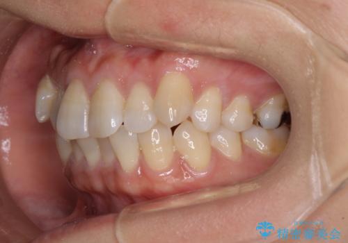
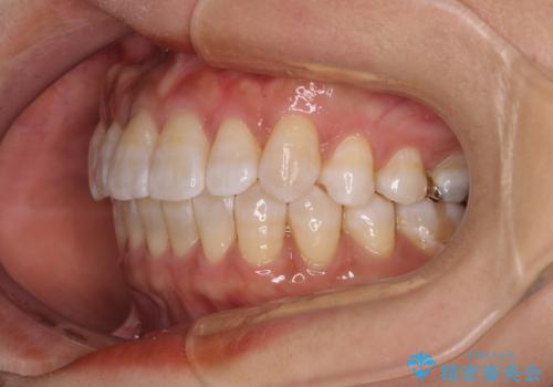
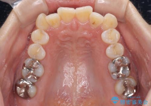
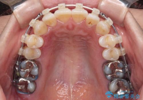
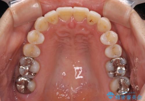
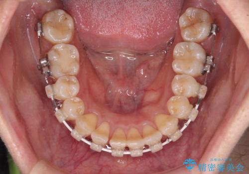
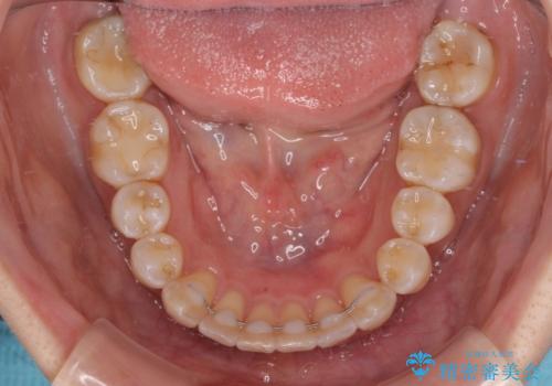
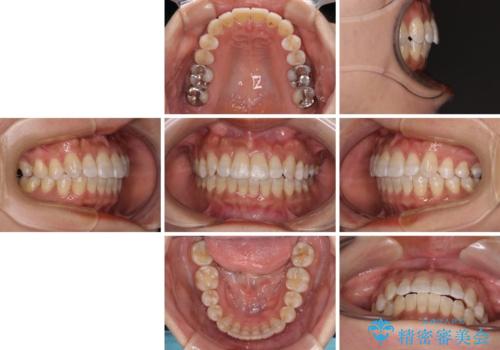
- 上顎の八重歯と全体的なデコボコを気にして来院された患者様です。
口元の突出感はなかったため非抜歯矯正での対応となりますが、八重歯を改善する際に上顎前歯が前突する可能性があったため、上顎臼歯部にアンカースクリューを使用して、歯列が前方に転位しないようにすることとしました。
また舌のトレーニングを行うことで、上顎前歯の突出予防や上下前歯に隙間ができなくなるようにしました。
- 費用(概算)
- 治療費の目安: 100万円(税込)費用は治療当時の料金となります
治療について
ワイヤー矯正でもインビザラインでも対応可能でしたが、上顎歯列が前方位であるときには、ワイヤー矯正の方がより良い仕上がりとなる可能性が高いため、ワイヤー矯正をおすすめいたしました。
ワイヤー矯正の注意事項(リスク・副作用など)
- 治療中は違和感や痛みが起こることがあります
- 症状により、抜歯が必要な場合があります
- 治療中は歯磨きがしにくくなるため、虫歯や歯周病になりやすくなります
- 矯正治療後の保定が不十分だと後戻り(元の位置に戻ろうとする動き)をします
- 自費診療(保険適用外)となります
当サイトの内容、テキスト、画像等の無断転載、複製、複写、盗用を固く禁じます。


























