症例詳細
Case detail
咬み合わせの乱れを改善 ワイヤー装置で楽々矯正治療
治療症例の内容
- 診療科目
- 治療カテゴリ
- 担当医
- 藤巻太一朗(ドクタープロフィール)
- 患者様
- 30代女性
- 矯正装置
- 審美装置
- 治療期間
- 1年5ヶ月
- 治療回数
- 10-30回
- 治療計画
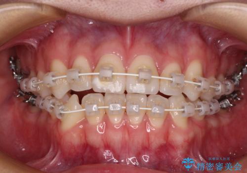
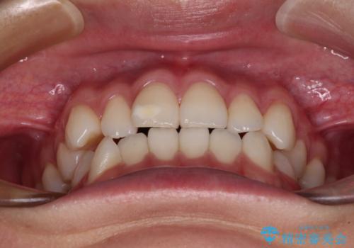
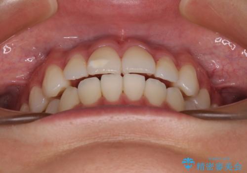
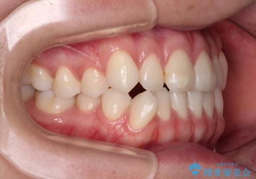
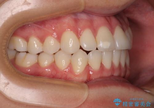
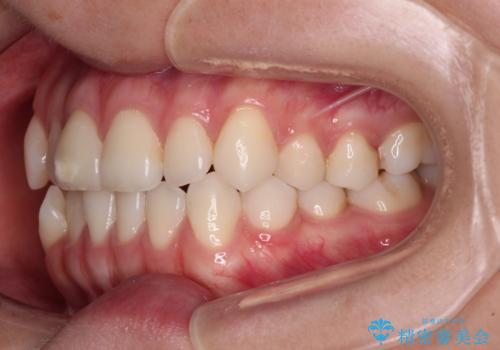
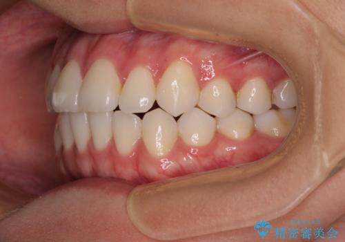
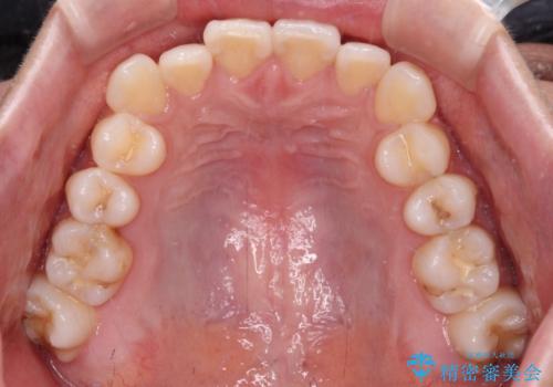
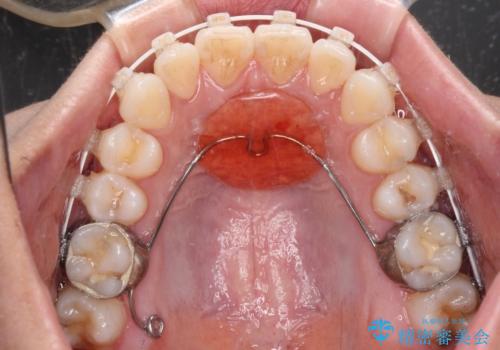
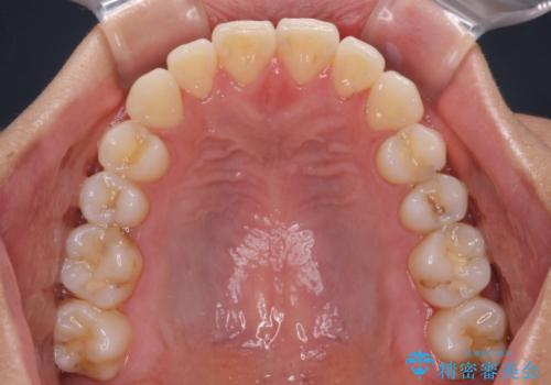
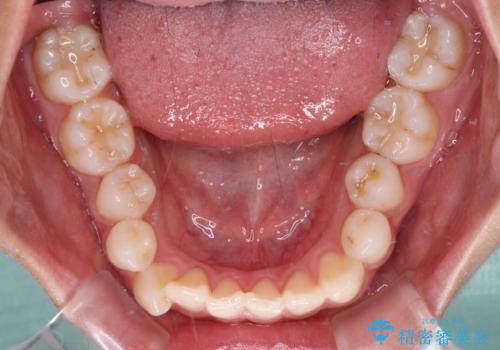
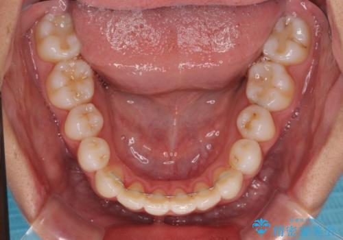
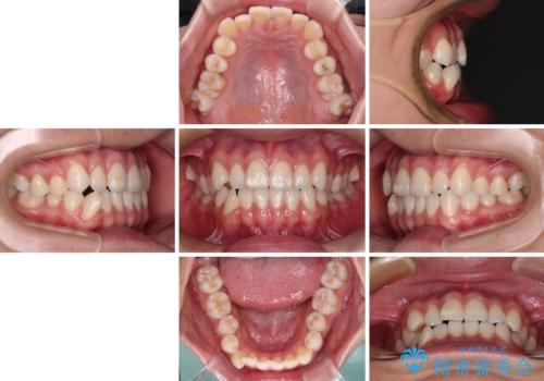
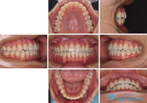
- 前歯のデコボコと奥歯の咬み合わせを気にして来院された患者様です。
右側の奥歯は、上が外側に転位した鋏状咬合を呈しており、前歯のデコボコ改善と並行して咬み合わせを改善していく必要がありました。
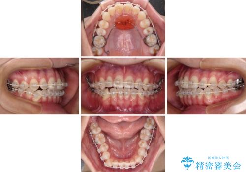
装置はワイヤー装置でもインビザラインのマウスピースでもどちらでも適用でしたが、自己管理の煩わしさを嫌い、ワイヤー矯正にて治療を行うこととしました。
ワイヤー矯正を選択されたため、鋏状咬合を確実に改善するために補助装置を併用することとしました。
- 費用(概算)
- 治療費の目安: 100万円(税込)費用は治療当時の料金となります
治療について
ワイヤー装置でもマウスピースでも、どちらでも適用の症例でしたが、片側の鋏状咬合はマウスピース矯正ではしっかりと改善できる可能性が低いことや、何と言っても自己管理の煩わしさがないことから、ワイヤー装置を選択されました。
ワイヤー矯正の注意事項(リスク・副作用など)
- 治療中は違和感や痛みが起こることがあります
- 症状により、抜歯が必要な場合があります
- 治療中は歯磨きがしにくくなるため、虫歯や歯周病になりやすくなります
- 矯正治療後の保定が不十分だと後戻り(元の位置に戻ろうとする動き)をします
- 自費診療(保険適用外)となります
当サイトの内容、テキスト、画像等の無断転載、複製、複写、盗用を固く禁じます。


























