症例詳細
Case detail
上顎骨幅が狭い 急速拡大装置を併用した抜歯矯正
治療症例の内容
- 患者様
- 10代女性
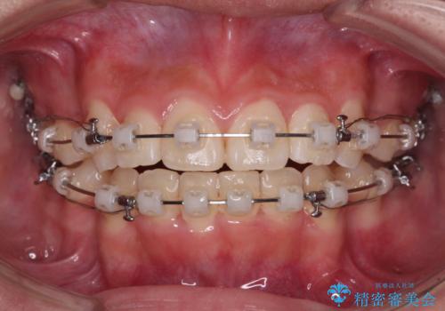
- 矯正装置
- クリアブラケット
- 治療期間
- 2年9ヶ月
- 治療回数
- 30回以上
- 治療計画
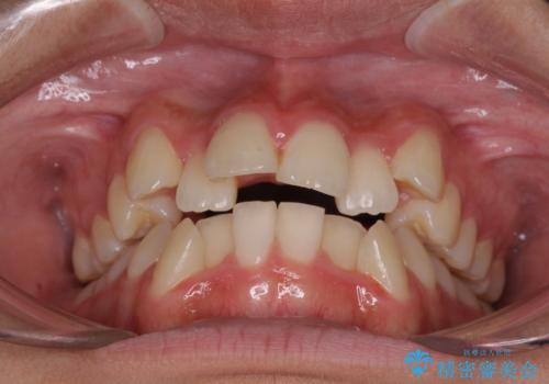
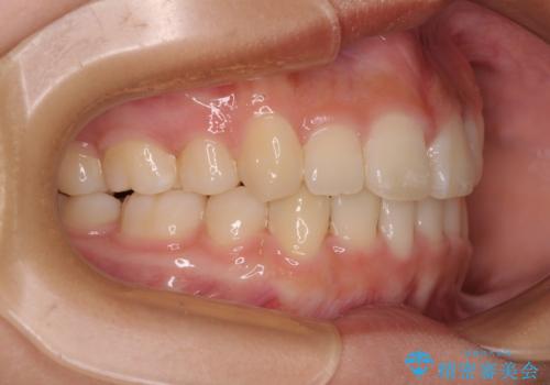
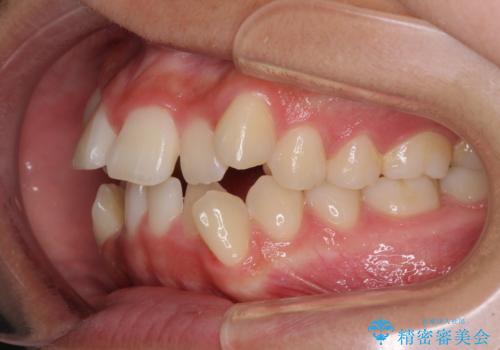
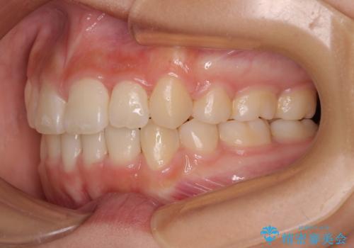
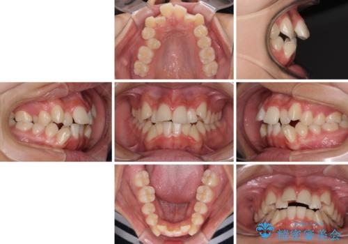
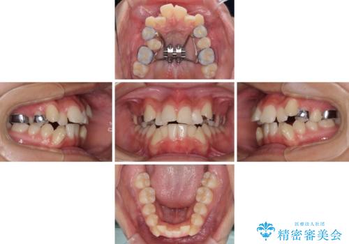
- 歯列全体の叢生を気にして来院された患者様です。
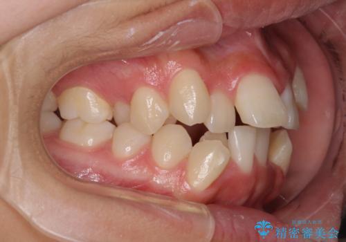
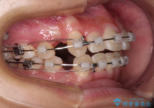
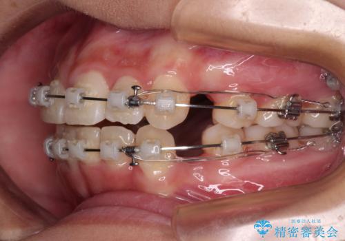
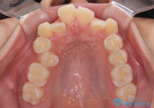
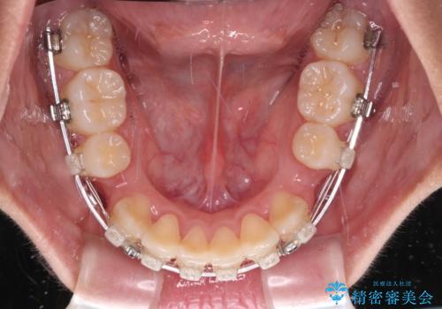
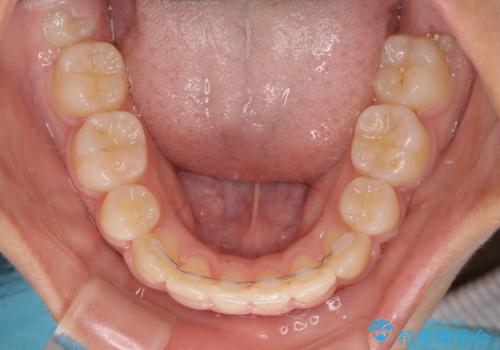
検査を行った結果、上顎骨の横幅が相対的に狭いことが分かり、叢生が強いことから、急速拡大装置にて上顎骨を側方に拡大することで、叢生の解消と奥歯の咬み合わせ改善を図ることとしました。
一般的には上下左右の第一小臼歯4本を抜歯する必要がありますが、拡大量によっては非抜歯矯正の適用となる可能性があるため、まずは非抜歯矯正で治療を開始し、抜歯が必要と判断された時点で速やかに4本抜歯を行うこととしました。
- 費用(概算)
- 治療費の目安: 110万円(税込)費用は治療当時の料金となります
治療について
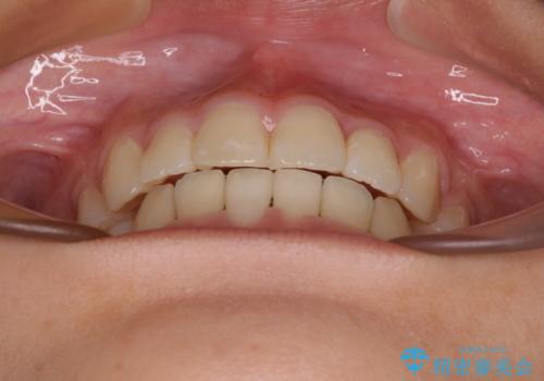
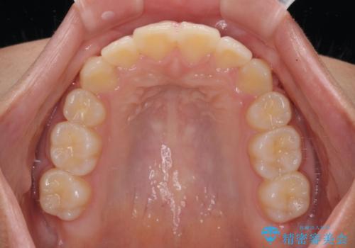
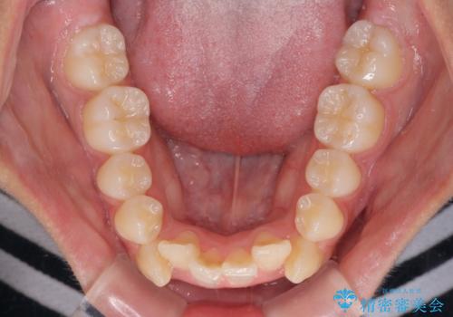
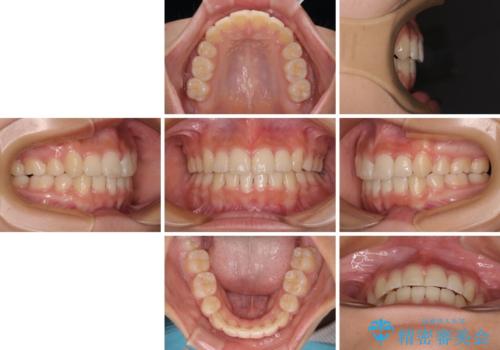
急速拡大後、歯列はきれいに並んだのですが、口元が出っ歯になってしまったため、速やかに抜歯を行い、治療期間がいたずらに遅延することのないようにしました。
ワイヤー矯正の注意事項(リスク・副作用など)
- 治療中は違和感や痛みが起こることがあります
- 症状により、抜歯が必要な場合があります
- 治療中は歯磨きがしにくくなるため、虫歯や歯周病になりやすくなります
- 矯正治療後の保定が不十分だと後戻り(元の位置に戻ろうとする動き)をします
- 自費診療(保険適用外)となります
当サイトの内容、テキスト、画像等の無断転載、複製、複写、盗用を固く禁じます。



























