症例詳細
Case detail
【変色歯】コンポジットレジンからセラミックへ
治療症例の内容
- 診療科目
- 治療カテゴリ
- 担当医
- 河口智英(ドクタープロフィール)
- 患者様
- 20代女性
- 治療期間
- 1ヶ月
- 治療回数
- 2-5回
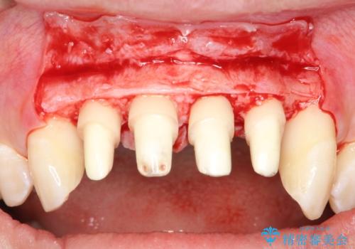
- 治療計画
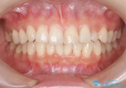
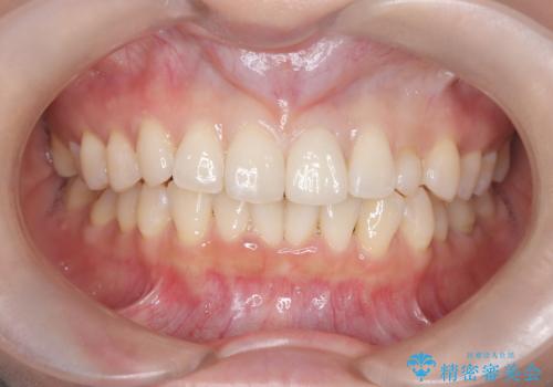
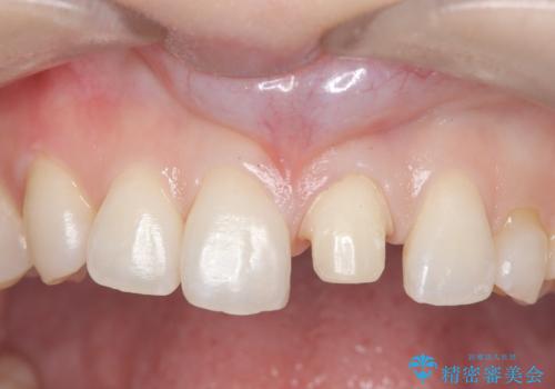
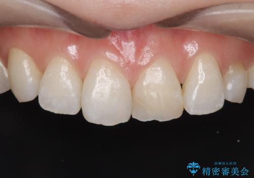
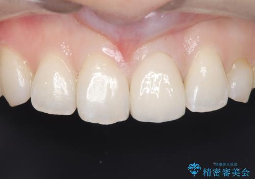
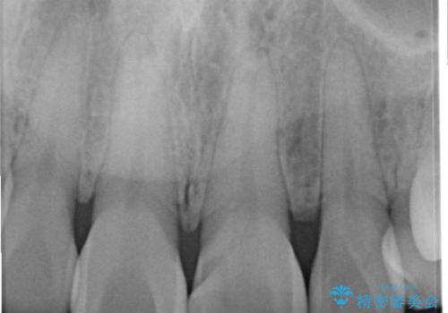
- 以前に前歯を折れた時、コンポジットレジンで修復したが、変色してきたことを主訴に来院されました。
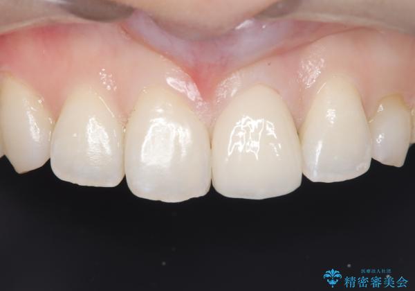
今回は、セラミッククラウンによる修復を希望され、治療を行っています。
- 費用(概算)
- 15万円費用は治療当時の料金となります
治療について
コンポジットレジンは、経年変化しやすい材料ですが、セラミックは変色しずらい材料となります。
セラミック治療の注意事項(リスク・副作用など)
- 天然歯を削ります
- 硬い素材は天然歯を傷つけてしまう場合があります
- かみ合わせや歯ぎしりが強すぎる方はセラミックが割れてしまう可能性があります
- 自費診療(保険適用外治療)となります
当サイトの内容、テキスト、画像等の無断転載、複製、複写、盗用を固く禁じます。









