症例詳細
Case detail
【ワイヤー矯正】前歯のがたがたをなおしたい
治療症例の内容
- 診療科目
- 治療カテゴリ
- 担当医
- 河口智英(ドクタープロフィール)
- 患者様
- 20代女性
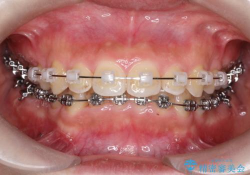
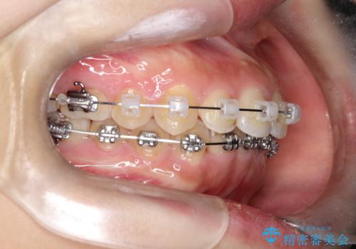
- 矯正装置
- ワイヤー装置
- 治療期間
- 1年
- 治療回数
- 10-30回
- 治療計画
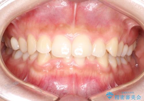
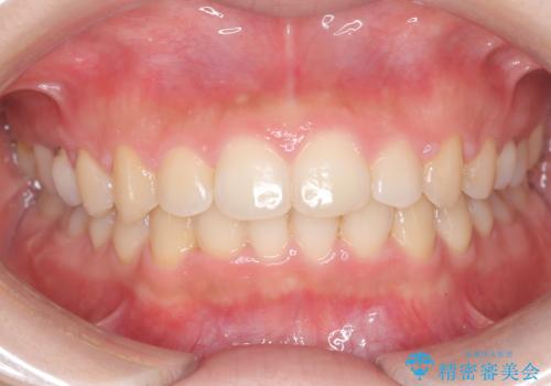
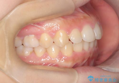
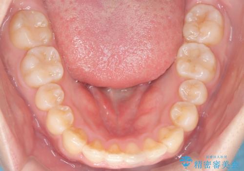
- 前歯のがたがたを主訴に来院されました。
叢生量も軽度なため短期間で治療を行っています。
- 費用(概算)
- 70万円費用は治療当時の料金となります
治療について
治療中、装置の変更を希望されたため上下で装置が異なっています。
ワイヤー矯正の注意事項(リスク・副作用など)
- 治療中は違和感や痛みが起こることがあります
- 症状により、抜歯が必要な場合があります
- 治療中は歯磨きがしにくくなるため、虫歯や歯周病になりやすくなります
- 矯正治療後の保定が不十分だと後戻り(元の位置に戻ろうとする動き)をします
- 自費診療(保険適用外)となります
当サイトの内容、テキスト、画像等の無断転載、複製、複写、盗用を固く禁じます。















