症例詳細
Case detail
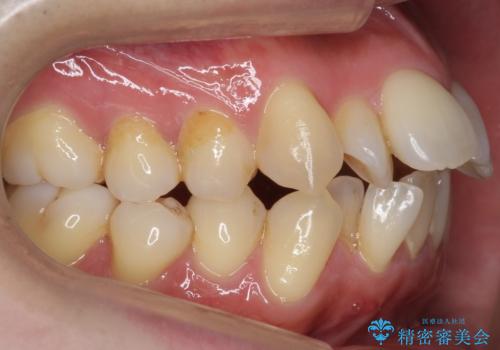
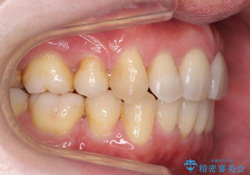
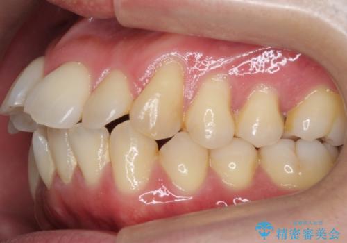
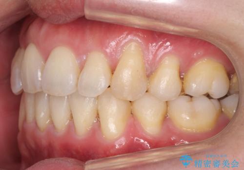
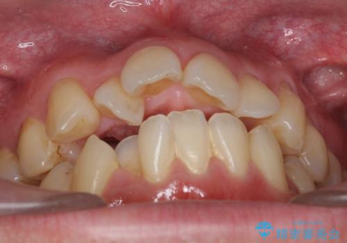
出っ歯をしっかり引っ込めたい
治療症例の内容
- 担当医
 - 井上季実子(ドクタープロフィール)
 
- 患者様
 - 30代男性
 
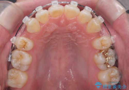
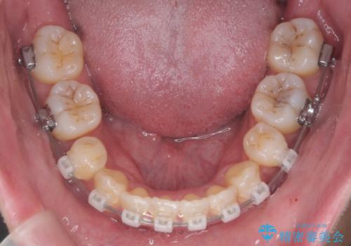
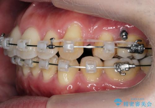
- 矯正装置
 - ワイヤー矯正
 
- 治療期間
 - 3年4ヶ月
 
- 治療回数
 - 10-30回
 
- 治療計画
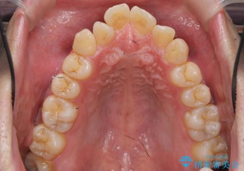
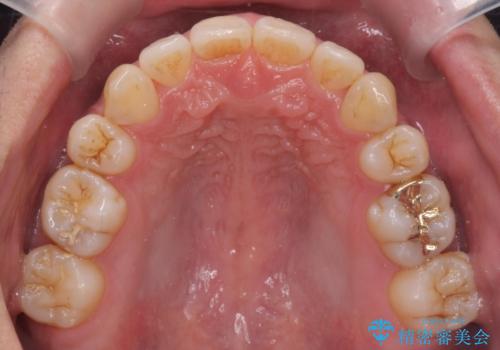
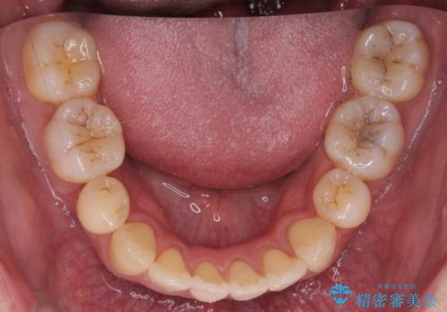
 - 前歯の並びを気にして来院。
全体の歯列の形も整えました。
上下左右の小臼歯を抜歯しています。 
- 費用(概算)
 - 110万円費用は治療当時の料金となります
 
治療について
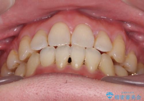
歯の動きがすこしゆっくりでしたので治療に時間はかかりましたが、しっかり前歯を下げることができました。
ワイヤー矯正の注意事項(リスク・副作用など)
- 治療中は違和感や痛みが起こることがあります
 - 症状により、抜歯が必要な場合があります
 - 治療中は歯磨きがしにくくなるため、虫歯や歯周病になりやすくなります
 - 矯正治療後の保定が不十分だと後戻り(元の位置に戻ろうとする動き)をします
 - 自費診療(保険適用外)となります
 
当サイトの内容、テキスト、画像等の無断転載、複製、複写、盗用を固く禁じます。

                      
                                                          





















