症例詳細
Case detail
深い咬み合わせで顎が疲れる ワイヤー矯正でディープバイトを解消
治療症例の内容
- 診療科目
- 治療カテゴリ
- 担当医
- 藤巻太一朗(ドクタープロフィール)
- 患者様
- 30代男性
- 矯正装置
- 審美装置
- 治療期間
- 1年4ヶ月
- 治療回数
- 10-30回
- 治療計画
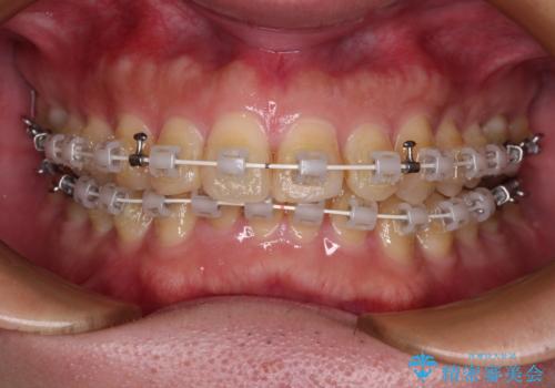
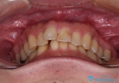
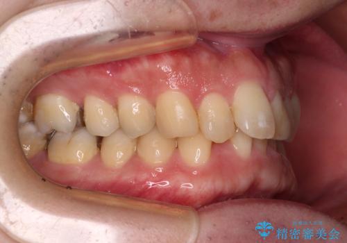
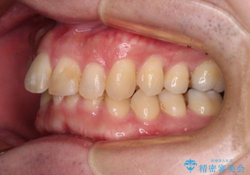
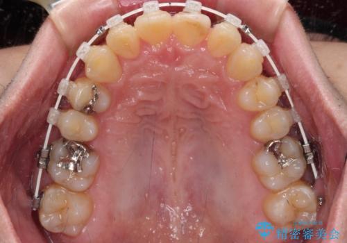
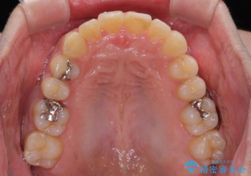
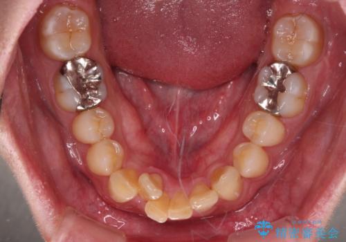
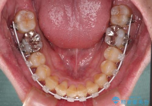
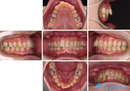
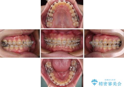
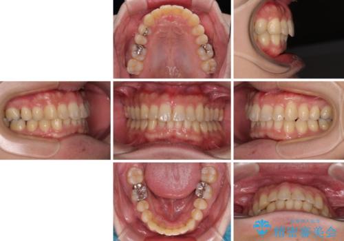
- 深い咬み合わせによる食いしばりで、顎関節や頭が痛むことがあるとのことで来院された患者様です。
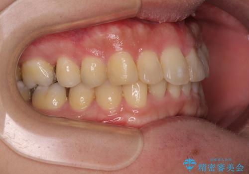
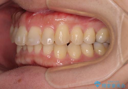
歯ぎしりができないくらい強い食いしばりの咬合状態であったため、奥歯の歯軸を起き上がらせることで咬合を挙上させ、歯ぎしりができるようにしていくこととしました。
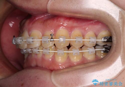
インビザラインでの矯正治療も可能でしたが、自己管理の煩わしさを嫌ってワイヤー装置による矯正治療を行うこととしました。
- 費用(概算)
- 治療費の目安: 95万円(税込)費用は治療当時の料金となります
治療について
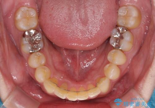
下顎が左側にずれているため、上下正中は最大限合わせられるところまで合わせるゴールとなりました。
ワイヤー矯正の注意事項(リスク・副作用など)
- 治療中は違和感や痛みが起こることがあります
- 症状により、抜歯が必要な場合があります
- 治療中は歯磨きがしにくくなるため、虫歯や歯周病になりやすくなります
- 矯正治療後の保定が不十分だと後戻り(元の位置に戻ろうとする動き)をします
- 自費診療(保険適用外)となります
当サイトの内容、テキスト、画像等の無断転載、複製、複写、盗用を固く禁じます。


























