症例詳細
Case detail
【モニター】上下の八重歯を治したい ワイヤー装置による矯正治療
治療症例の内容
- 診療科目
- 担当医
- 藤巻太一朗(ドクタープロフィール)
- 患者様
- 30代女性
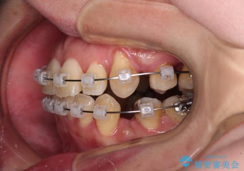
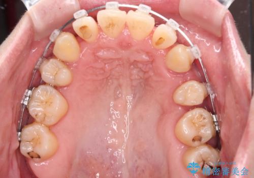
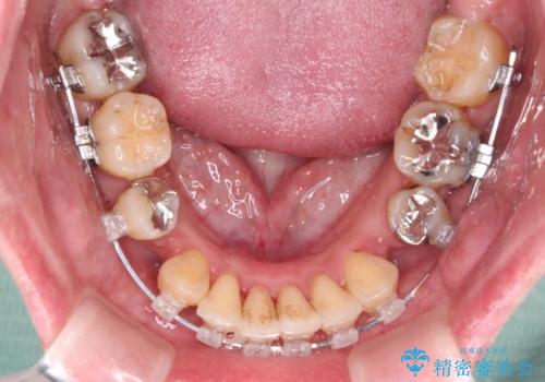
- 矯正装置
- クリアブラケット
- 治療期間
- 2年9ヶ月
- 治療回数
- 10-30回
- 治療計画
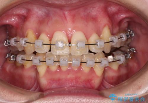
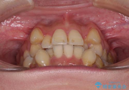
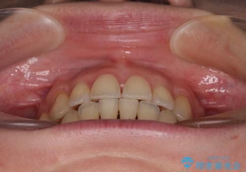
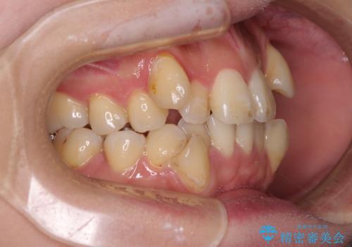
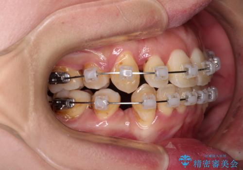
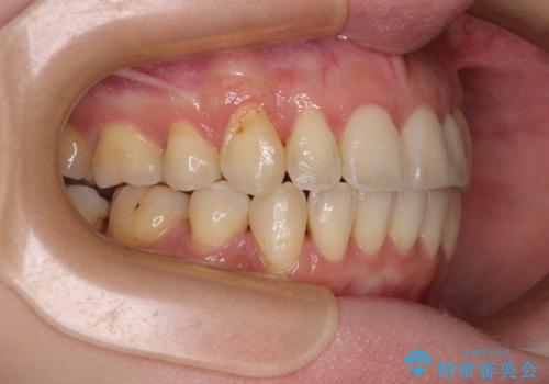
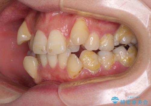
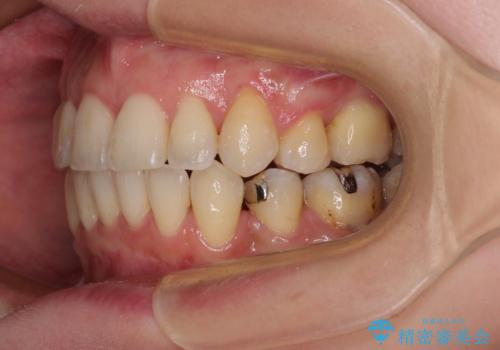
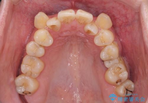
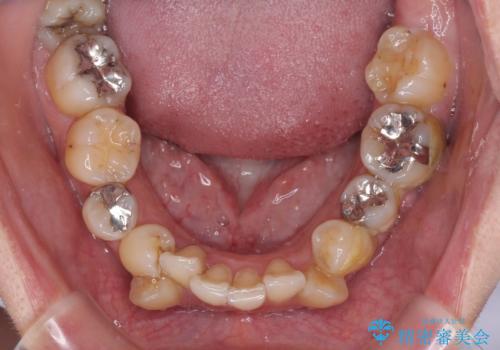
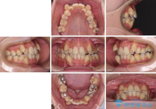
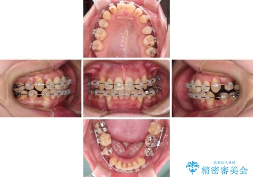
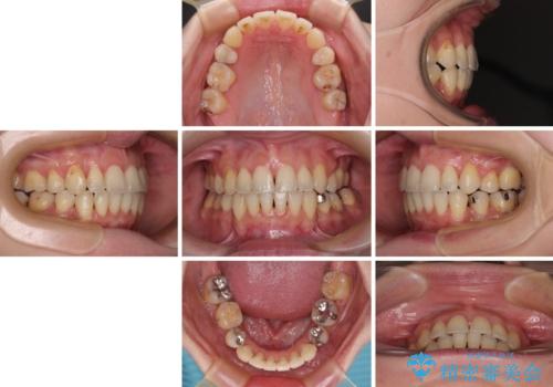
- 上下前歯のデコボコを気にして来院された患者様です。
デコボコが強いため、非抜歯で矯正をすると出っ歯仕上がりとなるため、上下左右の第一小臼歯4本を抜歯することとしました。
- 費用(概算)
- 治療費の目安: 100万円(税込)費用は治療当時の料金となります
※顔写真掲載にあたり、患者様の了解を得ております
治療について
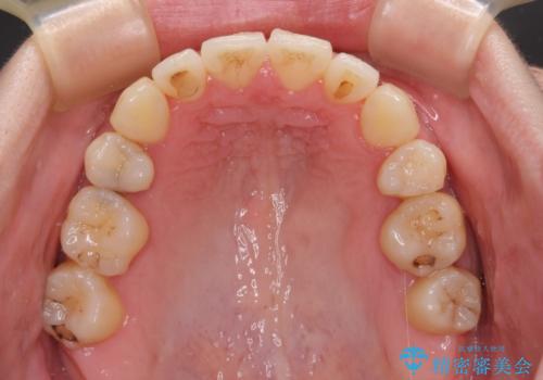
治療期間全体を通して歯の移動スピードがゆっくりであったので、当初予定よりも1年ほど長い、3年間を要することとなりました。
ワイヤー矯正の注意事項(リスク・副作用など)
- 治療中は違和感や痛みが起こることがあります
- 症状により、抜歯が必要な場合があります
- 治療中は歯磨きがしにくくなるため、虫歯や歯周病になりやすくなります
- 矯正治療後の保定が不十分だと後戻り(元の位置に戻ろうとする動き)をします
- 自費診療(保険適用外)となります
当サイトの内容、テキスト、画像等の無断転載、複製、複写、盗用を固く禁じます。


























