症例詳細
Case detail
違和感のある銀歯の治療
治療症例の内容
- 担当医
- 大元洋佑(ドクタープロフィール)
- 患者様
- 50代男性
- 治療期間
- 2ヶ月
- 治療回数
- 2-5回
- 治療計画
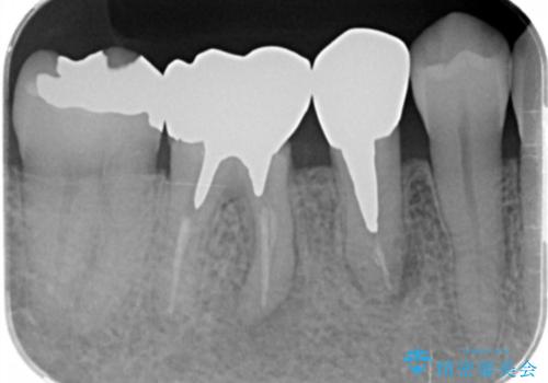
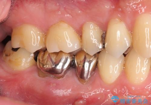
- 食事のたびに、銀歯の間や周囲に食ベカスが挟まったり溜まったりすることの改善を求めて来院されました。
銀歯の形状に問題があり、食べかすの詰まりやすい状況を、精度の高いセラミッククラウンに置き替えることで不快症状の改善を計画します。
- 費用(概算)
- 26.4万円(ジルコニアクラウン×2・仮歯×2)費用は治療当時の料金となります
治療について
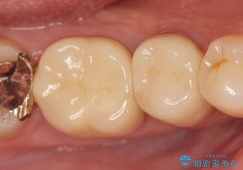
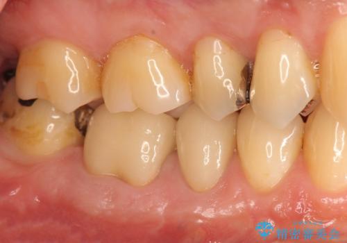
治療後、食べ物の挟まりは劇的に改善され、機能性に満足していただけると同時に見た目の審美性にも喜んでいただくことができました。
セラミック治療の注意事項(リスク・副作用など)
- 天然歯を削ります
- 硬い素材は天然歯を傷つけてしまう場合があります
- かみ合わせや歯ぎしりが強すぎる方はセラミックが割れてしまう可能性があります
- 自費診療(保険適用外治療)となります
当サイトの内容、テキスト、画像等の無断転載、複製、複写、盗用を固く禁じます。








