症例詳細
Case detail
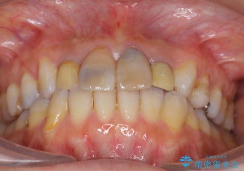
黒ずんだ見栄えの悪い前歯をきれいにしたい
治療症例の内容
- 診療科目
- 治療カテゴリ
- 担当医
- 大元洋佑(ドクタープロフィール)
- 患者様
- 40代女性
- 治療期間
- 2ヶ月
- 治療回数
- 2-5回
- 治療計画
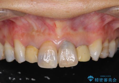
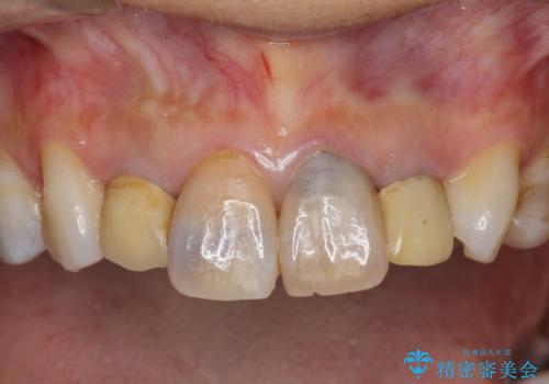
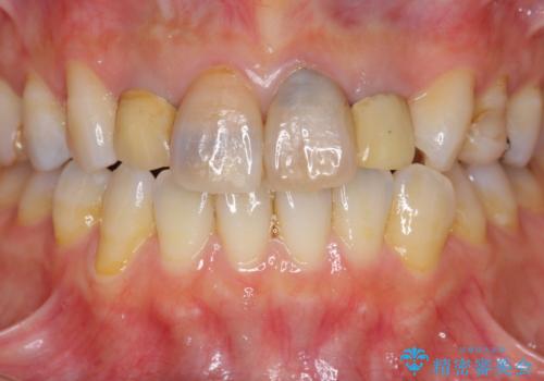
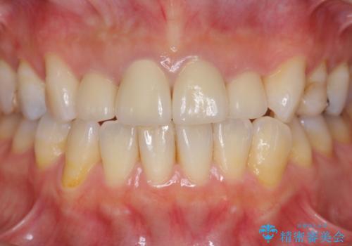
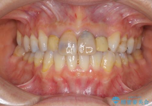
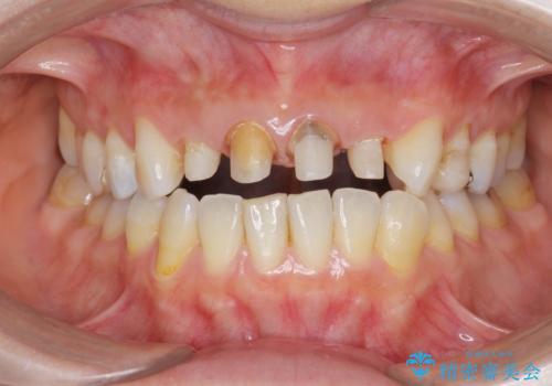
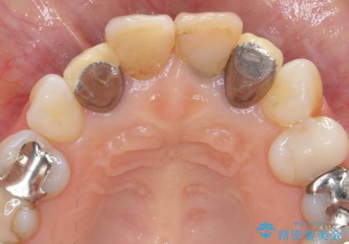
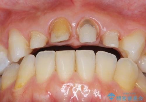
- 「黒ずんで、見栄えの悪い前歯をきれいにしたい。」と、前歯のセラミック治療を希望され来院されました。
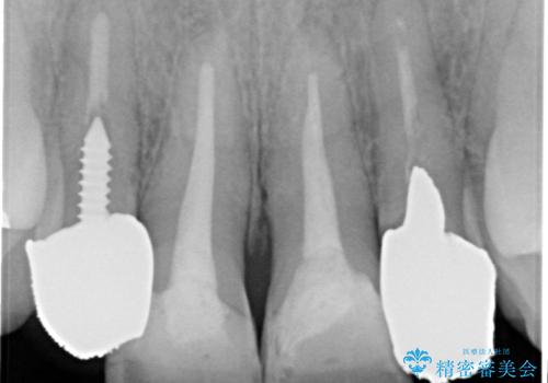
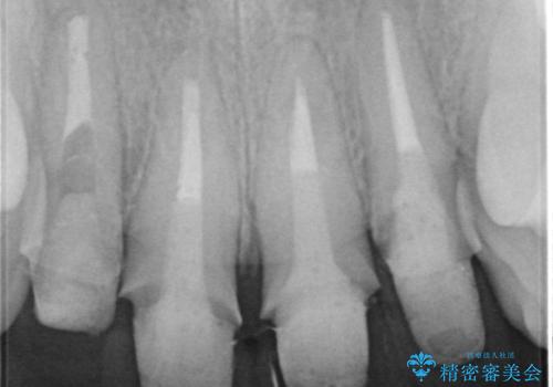
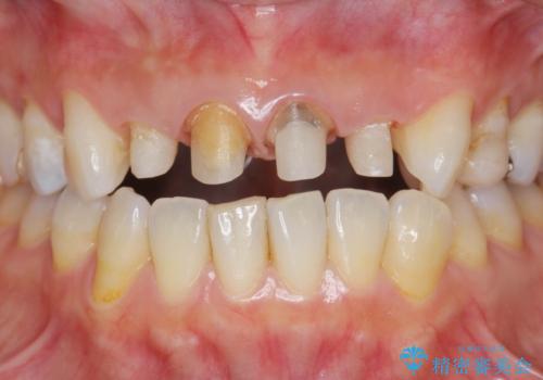
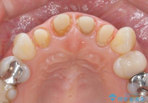
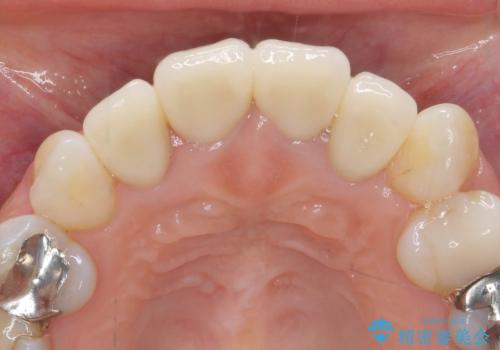
全て根管治療のすでになされている歯の変色で、オールセラミッククラウンによる審美性の改善を計画します。
- 費用(概算)
- 52.8万円(ジルコニアクラウン×4・仮歯×4)費用は治療当時の料金となります
治療について
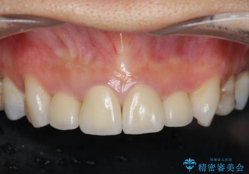
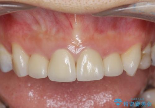
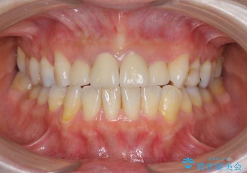
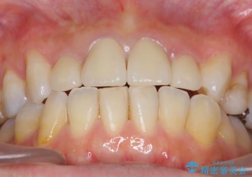
自然で美しい前歯の仕上がりとなり、大変満足していただくことができました。
セラミック治療の注意事項(リスク・副作用など)
- 天然歯を削ります
- 硬い素材は天然歯を傷つけてしまう場合があります
- かみ合わせや歯ぎしりが強すぎる方はセラミックが割れてしまう可能性があります
- 自費診療(保険適用外治療)となります
当サイトの内容、テキスト、画像等の無断転載、複製、複写、盗用を固く禁じます。





















