症例詳細
Case detail
欠けてしまった奥歯 セラミッククラウンとセラミックインレーによるむし歯治療
治療症例の内容
- 診療科目
- 担当医
- 藤巻太一朗(ドクタープロフィール)
- 患者様
- 30代女性
- 治療期間
- 1ヶ月
- 治療回数
- 2-5回
- 治療計画
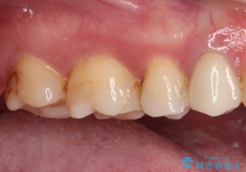
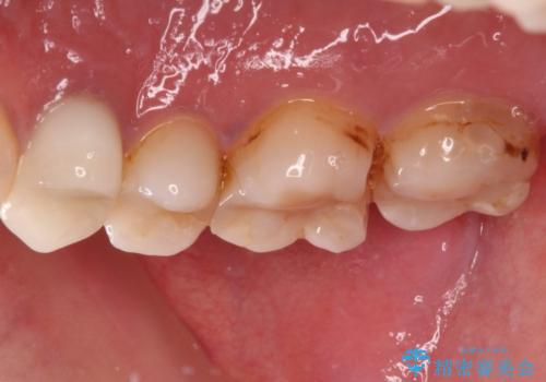
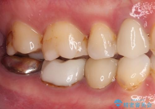
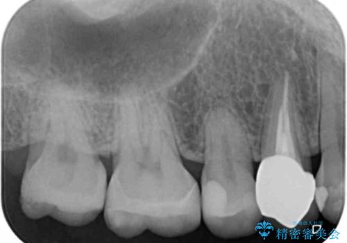
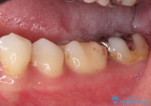
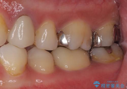
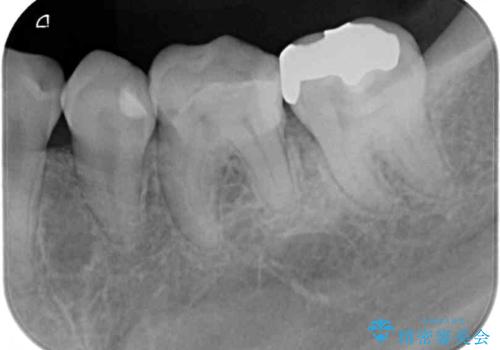
- 奥歯の詰め物や周辺の歯が欠けてしまったとのことで来院された患者様です。
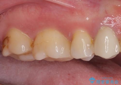
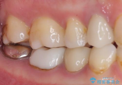
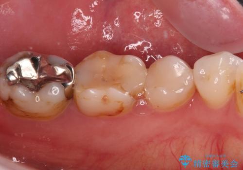
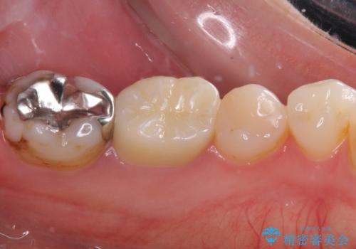
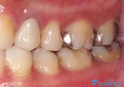
上顎は、元々の詰め物が小さく、欠けた範囲も大きくなかったため、セラミックインレーにて修復治療を行うこととしました。
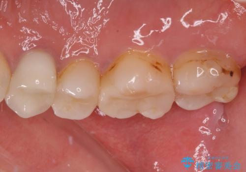
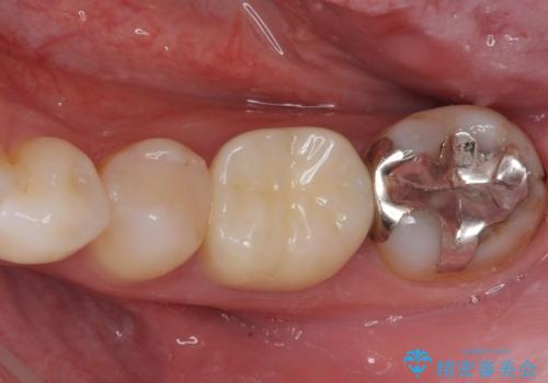
一方下顎は、元々のむし歯の範囲が広かったため、長期的な予後を踏まえ、セラミッククラウンにて補綴治療を行うこととしました。
- 費用(概算)
- 治療費の目安: 18万円(税込)費用は治療当時の料金となります
治療について
特に痛みはありませんでしたが、未然にしっかりとした処置を行うことで、今後むし歯の進行により神経組織が壊死するリスクを低減することが可能となります。
セラミック治療の注意事項(リスク・副作用など)
- 天然歯を削ります
- 硬い素材は天然歯を傷つけてしまう場合があります
- かみ合わせや歯ぎしりが強すぎる方はセラミックが割れてしまう可能性があります
- 自費診療(保険適用外治療)となります
当サイトの内容、テキスト、画像等の無断転載、複製、複写、盗用を固く禁じます。





















