症例詳細
Case detail
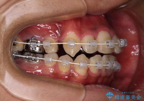
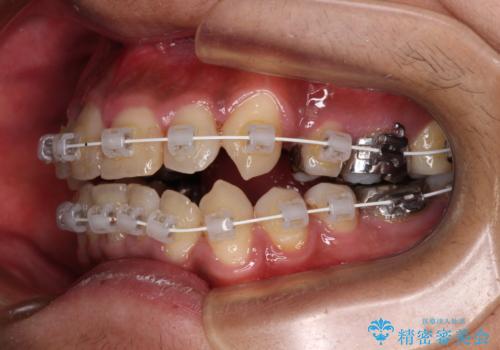
八重歯と開咬 ワイヤー装置での抜歯矯正
治療症例の内容
- 診療科目
- 担当医
- 藤巻太一朗(ドクタープロフィール)
- 患者様
- 30代男性
- 矯正装置
- 審美装置
- 治療期間
- 2年
- 治療回数
- 10-30回
- 治療計画
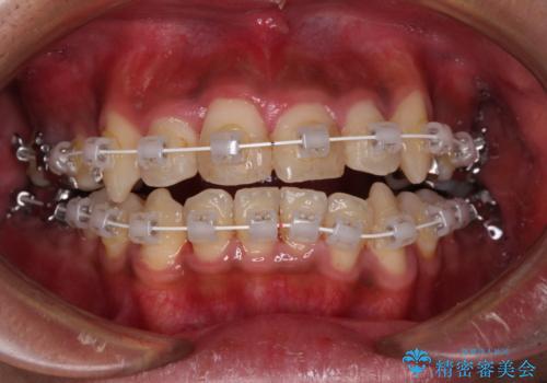
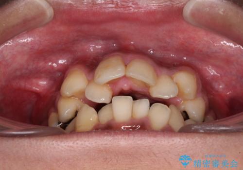
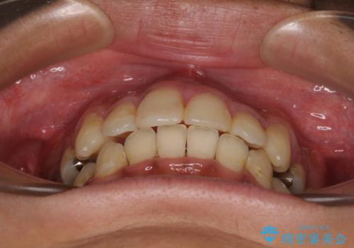
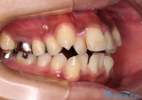
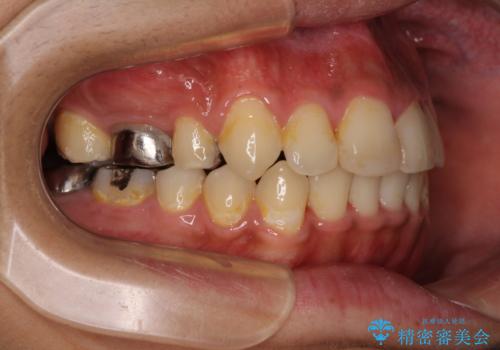
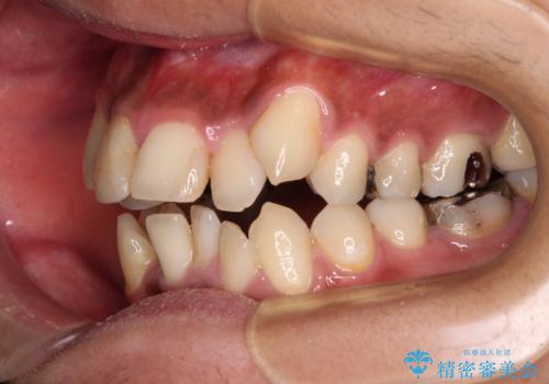
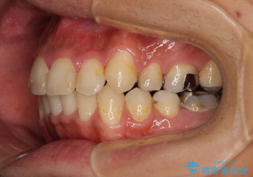
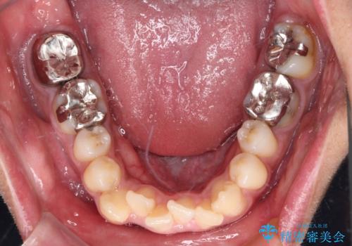
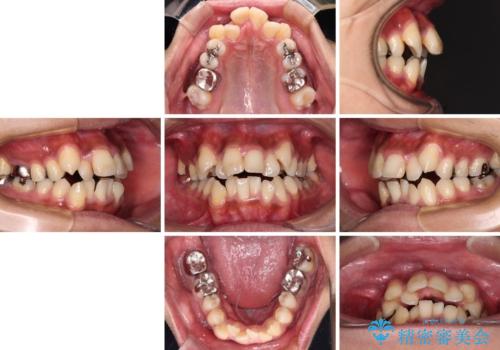
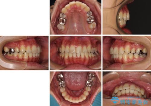
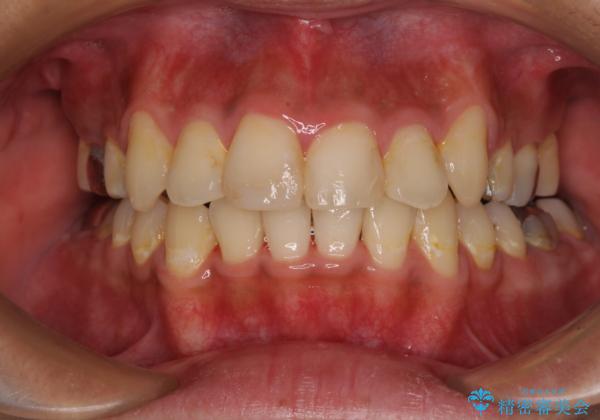
- 前歯のデコボコと八重歯、開咬を気にして来院された患者様です。
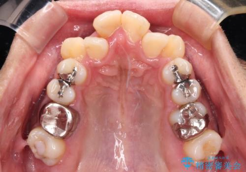
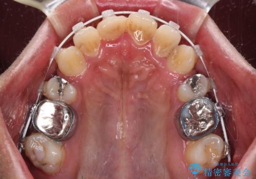
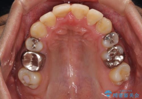
骨格的に下顎骨が上顎骨に対して後退位であったため、上顎の左右第一小臼歯を抜歯し、デコボコを改善するとともに開咬を改善していくこととしました。
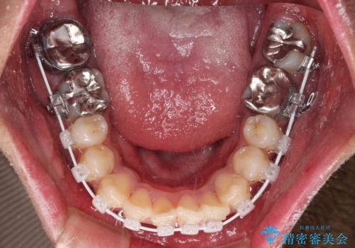
自己管理が煩わしいとのことで、表側のワイヤー装置にて治療を進めて行くこととしました。
- 費用(概算)
- 治療費の目安: 105万円(税込)費用は治療当時の料金となります
治療について
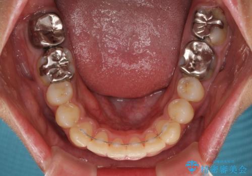
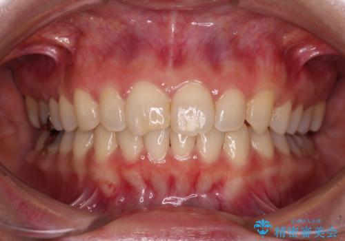
舌の突出癖により開咬となっていたため、突出癖改善のためのトレーニングをしっかりと行っていただき、予定の期間で無事に治療を終えることができました。
ワイヤー矯正の注意事項(リスク・副作用など)
- 治療中は違和感や痛みが起こることがあります
- 症状により、抜歯が必要な場合があります
- 治療中は歯磨きがしにくくなるため、虫歯や歯周病になりやすくなります
- 矯正治療後の保定が不十分だと後戻り(元の位置に戻ろうとする動き)をします
- 自費診療(保険適用外)となります
当サイトの内容、テキスト、画像等の無断転載、複製、複写、盗用を固く禁じます。


























