症例詳細
Case detail
変色したバランスの悪い前歯をオールセラミッククラウンで自然な口元に
治療症例の内容
- 診療科目
- 治療カテゴリ
- 担当医
- 藤巻太一朗(ドクタープロフィール)
- 患者様
- 20代女性
- 治療期間
- 1ヶ月
- 治療回数
- 2-5回
- 治療計画
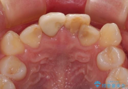
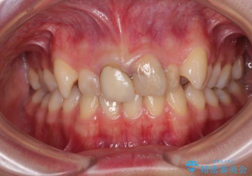
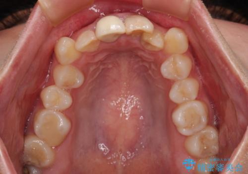
- 学生の頃に神経を取り除いた前歯の変色と、色合いの悪いかぶせ物が気になるとのことで来院された患者様です。
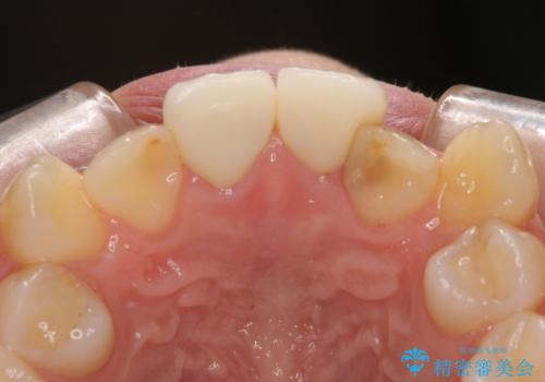
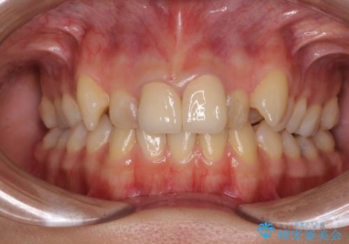
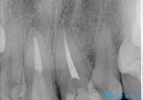
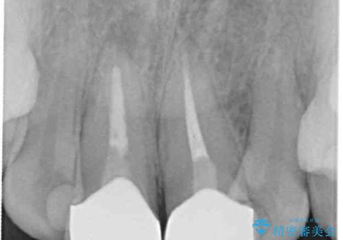
レントゲン写真より、歯根の炎症が認められず、土台もしっかりと植立されていたため、仮歯に置き換えた後にオールセラミッククラウンにて補綴することとしました。
当初は矯正治療を希望されていましたが、関西圏への転居と結婚式が間近であるということから、前歯の補綴治療のみを行うこととしました。
- 費用(概算)
- 治療費の目安: 30万円(税込)費用は治療当時の料金となります
治療について
矯正治療を行うかどうかは相当悩まれており、セラミッククラウンが装着されるまで、本当に良かったのかと心配されていましたが、とてもきれいな口元に仕上がり、大変満足していただけました。
セラミック治療の注意事項(リスク・副作用など)
- 天然歯を削ります
- 硬い素材は天然歯を傷つけてしまう場合があります
- かみ合わせや歯ぎしりが強すぎる方はセラミックが割れてしまう可能性があります
- 自費診療(保険適用外治療)となります
当サイトの内容、テキスト、画像等の無断転載、複製、複写、盗用を固く禁じます。










