症例詳細
Case detail
上顎の内側に歯が生えていて気になる。(静脈内鎮静下での抜歯)
治療症例の内容
- 診療科目
- 治療カテゴリ
- 担当医
- 青山卓弘(ドクタープロフィール)
- 患者様
- 20代男性
- 治療期間
- 1ヶ月
- 治療回数
- 2-5回
- 治療計画
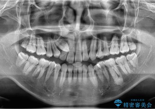
- 上顎の内側に歯が生えていて気になる。舌が当たって痛いとの事で来院。
レントゲンを確認したところ上顎の犬歯が歯列不正により内側から生えてきたものでした。
抜歯をして欲しいとの依頼でしたのでCTを確認しながら抜歯術を行いました。
また、外科処置に恐怖があるとの事だったので静脈内鎮静を行いました。
- 費用(概算)
- 静脈内鎮静・抜歯 5.5万円費用は治療当時の料金となります
治療について
無事に抜歯が終わりました。舌で触れても気にならなくなり満足して頂けました。
静脈内鎮静法の注意事項(リスク・副作用など)
- 回復後も多少眠気が残る可能性があります
- 治療中の記憶が残る場合があります
- 意識が完全になくなることはないため、2時間程度の治療で適応となります
- 静脈穿刺時に痛みがあります
- 治療当日は乗り物の運転は控える必要があります
- 自費診療(保険適用外)となります
その他の注意事項(リスク・副作用など)
- 担当歯科医師、歯科衛生士又は医院スタッフから受けた説明・注意事項をよくご確認ください
- 医療を提供するに当たり、適切な説明を行い、患者様の十分な理解を得るよう努めております
当サイトの内容、テキスト、画像等の無断転載、複製、複写、盗用を固く禁じます。





