症例詳細
Case detail
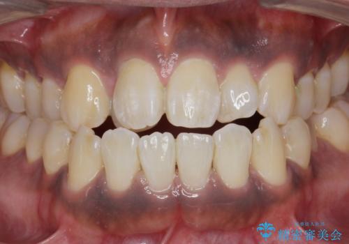
歯ぎしりが気になる。
治療症例の内容
- 診療科目
- 治療カテゴリ
- 担当医
- 青山卓弘(ドクタープロフィール)
- 患者様
- 40代男性
- 治療期間
- 1ヶ月
- 治療回数
- 2-5回
- 治療計画
- 歯ぎしりが気になるとの事で来院。
以前保険のナイトガードを使用していたがすぐに割れてしまったそうです。
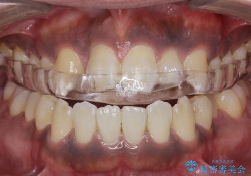
なので自費のナイトガードを作製しました。
- 費用(概算)
- 自費ナイトガード 3.3万円費用は治療当時の料金となります
治療について
保険のナイトガードに比べて厚みがあり割れる心配がありません。
また、下の歯との噛み合わせなども調整するので力が分散されて歯に負荷がかかりにくいです。
その他の注意事項(リスク・副作用など)
- 担当歯科医師、歯科衛生士又は医院スタッフから受けた説明・注意事項をよくご確認ください
- 医療を提供するに当たり、適切な説明を行い、患者様の十分な理解を得るよう努めております
当サイトの内容、テキスト、画像等の無断転載、複製、複写、盗用を固く禁じます。






