症例詳細
Case detail
奥歯のかみ合わせも妥協しない インビザライン治療
治療症例の内容
- 患者様
- 20代女性
- 矯正装置
- インビザライン
- 治療期間
- 2年5ヶ月
- 治療回数
- 10-30回
- 治療計画
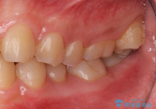
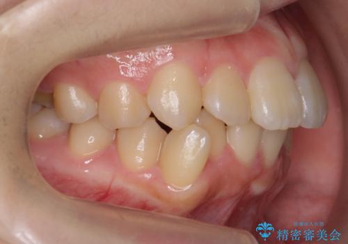
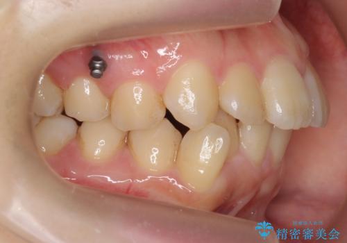
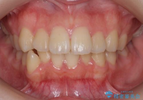
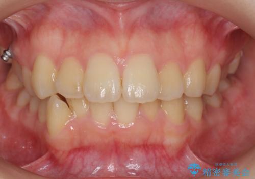
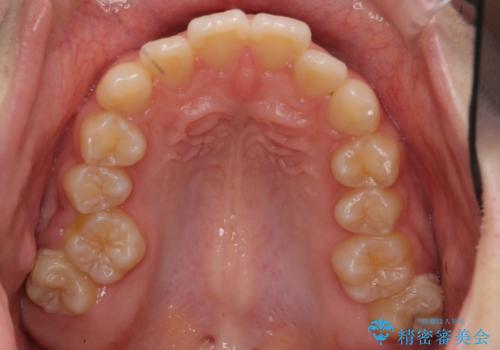
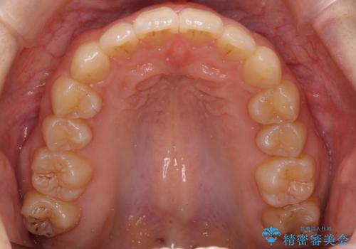
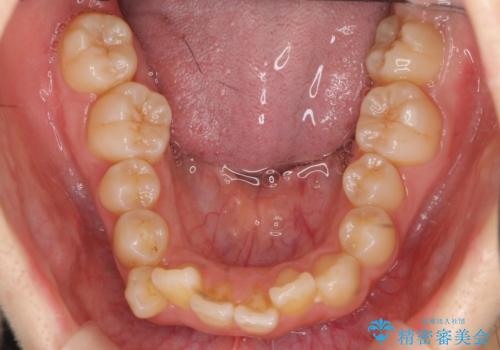
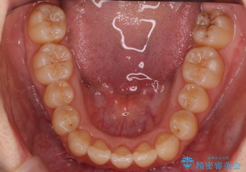
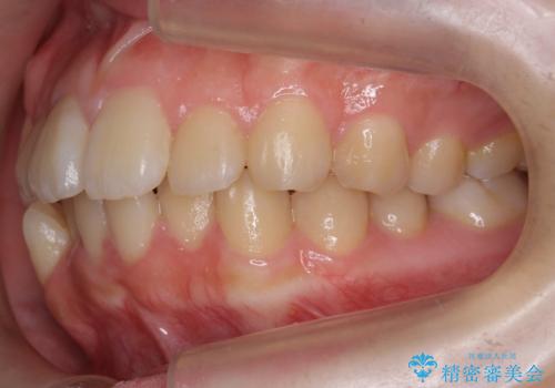
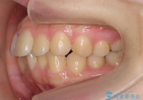
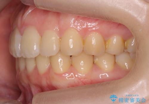
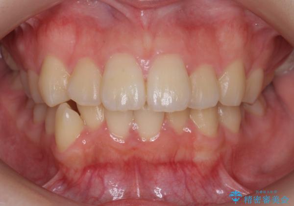
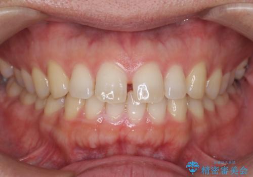
- 歯のがたつきを主訴に来院。
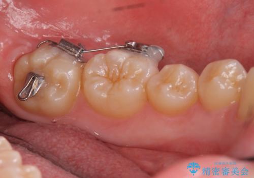
左右とも奥歯のがたつきがあり、左奥はすれ違っていました。
また、右奥は反対咬合になっていました。
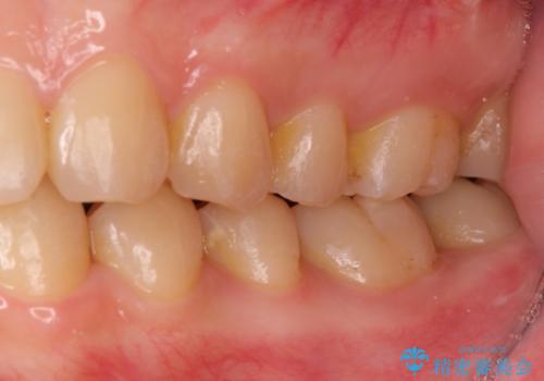
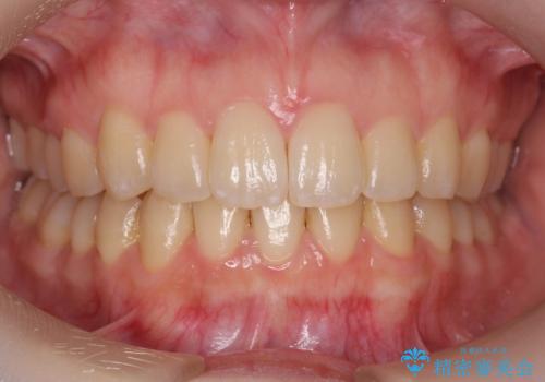
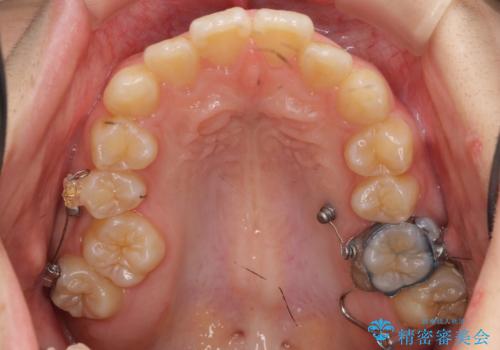
インビザライン治療は主に奥歯のかみ合わせが大きな問題がない場合は特に問題なく終了しますが、今回のケースのように奥歯のかみ合わせが悪い場合、しっかり治らないことがあります。
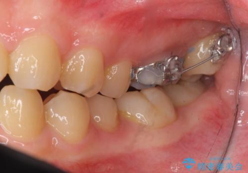
患者様が気づかない範囲で妥協して終わるということをせず、しっかり奥歯に部分矯正を用いて大きな問題を解決してからインビザライン治療に入りました。
下の前歯を一本抜歯しています。(抜歯の本数は最小限にしています。)
- 費用(概算)
- 110万円費用は治療当時の料金となります
治療について
奥歯のワイヤー部分矯正は位置的に人から気づかれることはないと思います。
奥歯までしっかり咬ませたい場合、矯正医を選ぶ場合は注意が必要です。
技術が不足しているドクターはマウスピース矯正のみで治療しようとするかもしれません。その方が術者は楽ですし、奥のかみ合わせは患者様も見えないためわかりずらいです。
妥協したゴールのみを目指すドクターではなく、時にはワイヤー部分矯正を使用してこだわりをもって治すドクターを選ぶとしっかり治るかもしれません。
マウスピース矯正の注意事項(リスク・副作用など)
- 口腔内・歯並びの状態によっては対応できない場合があります
- マウスピース型矯正装置の長時間装着(1日20時間以上)が必須です
- 治療計画通りに進めるためには、患者様の意志が重要になります
- 矯正治療後の保定が不十分だと後戻り(元の位置に戻ろうとする動き)をします
- 薬機法対象外の矯正歯科装置のため医薬品副作用被害救済制度の対象外となる場合があります
- 自費診療(保険適用外)となります
ワイヤー矯正の注意事項(リスク・副作用など)
- 治療中は違和感や痛みが起こることがあります
- 症状により、抜歯が必要な場合があります
- 治療中は歯磨きがしにくくなるため、虫歯や歯周病になりやすくなります
- 矯正治療後の保定が不十分だと後戻り(元の位置に戻ろうとする動き)をします
- 自費診療(保険適用外)となります
当サイトの内容、テキスト、画像等の無断転載、複製、複写、盗用を固く禁じます。




























