症例詳細
Case detail
歯の神経を守る、精密な虫歯治療の実践
治療症例の内容
- 診療科目
- 治療カテゴリ
- 担当医
- 大元洋佑(ドクタープロフィール)
- 患者様
- 50代女性
- 治療期間
- 1ヶ月
- 治療回数
- 2-5回
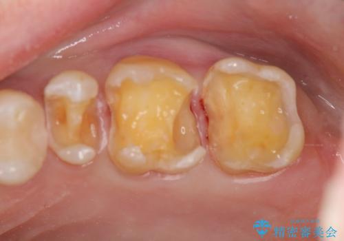
- 治療計画
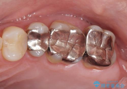
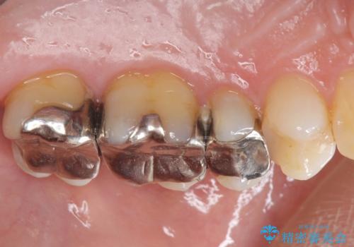
- 長年気になっていた銀歯を全て除去したい、とメタルフリー治療を希望され来院されました。
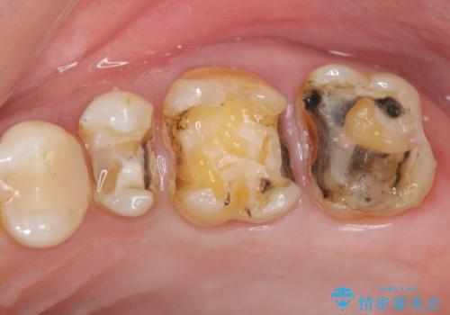
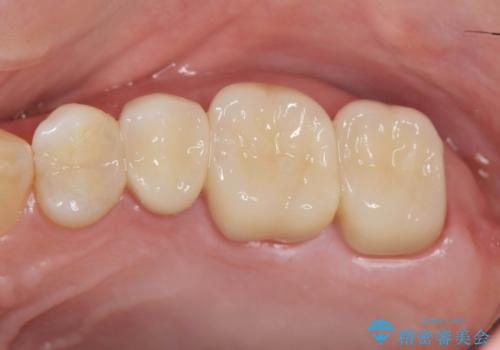
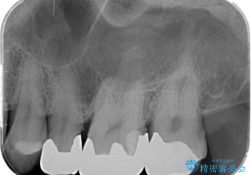
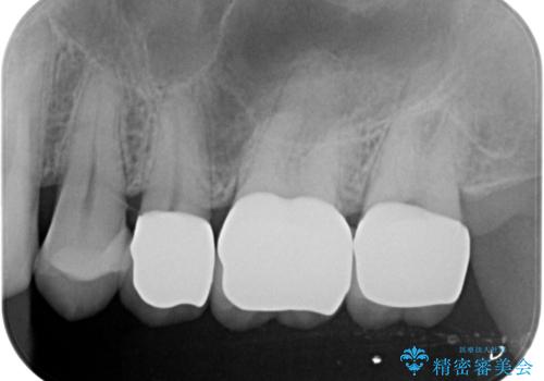
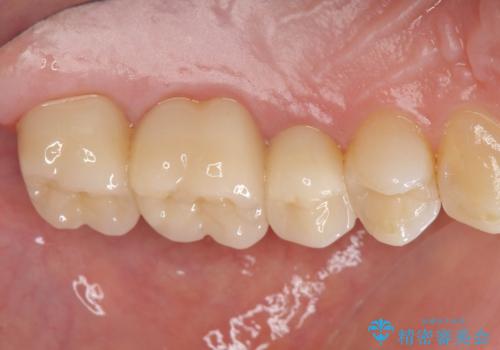
銀歯を丁寧に除去すると、銀歯の下で虫歯の再発やセメントの劣化が確認されたので、拡大鏡・マイクロスコープを用いて虫歯のみを丁寧に取り除いたのち、精密なセラミッククラウンの製作を進めます。
- 費用(概算)
- 47.3万円(ジルコニアクラウン×3・仮歯×3・セラミックインレー×1)費用は治療当時の料金となります
治療について
拡大鏡・マイクロスコープを用いて虫歯を丁寧に除去することで、健全な歯質や神経を守ることにつながります。
セラミック治療の注意事項(リスク・副作用など)
- 天然歯を削ります
- 硬い素材は天然歯を傷つけてしまう場合があります
- かみ合わせや歯ぎしりが強すぎる方はセラミックが割れてしまう可能性があります
- 自費診療(保険適用外治療)となります
当サイトの内容、テキスト、画像等の無断転載、複製、複写、盗用を固く禁じます。








