症例詳細
Case detail
仮歯のまま放置していた前歯をセラミックに
治療症例の内容
- 診療科目
- 治療カテゴリ
- 担当医
- 大元洋佑(ドクタープロフィール)
- 患者様
- 20代女性
- 治療期間
- 1ヶ月
- 治療回数
- 2-5回
- 治療計画
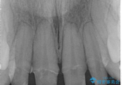
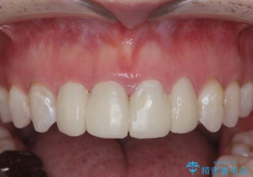
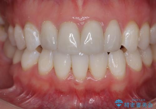
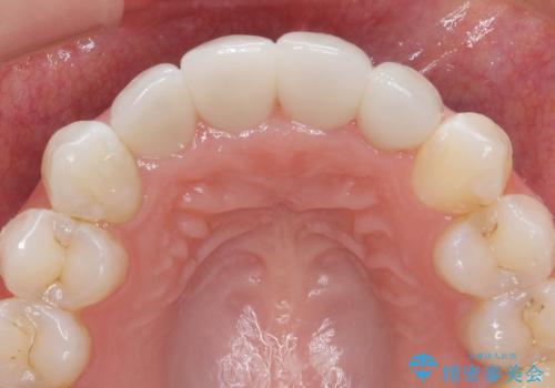
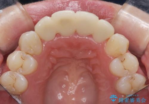
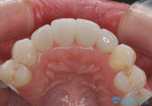
- 仮歯のまま放置してしまい、変色を改善しきれいなセラミッククラウンをいれたい、と希望され来院されました。
特に虫歯の再発や神経の症状等問題を認めなかったので、審美的に優れるセラミッククラウンに仮歯を置き換えていきます。
- 費用(概算)
- 52.8万円(ジルコニアクラウン×4・仮歯×4)費用は治療当時の料金となります
治療について
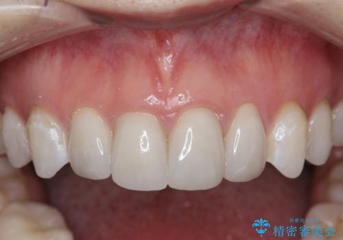
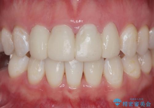
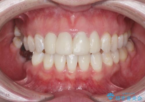
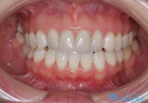
セラミッククラウンは長期的に変色しづらく、汚れのつきにくい審美製を長期的に保つことのできる治療方法です。
セラミック治療の注意事項(リスク・副作用など)
- 天然歯を削ります
- 硬い素材は天然歯を傷つけてしまう場合があります
- かみ合わせや歯ぎしりが強すぎる方はセラミックが割れてしまう可能性があります
- 自費診療(保険適用外治療)となります
当サイトの内容、テキスト、画像等の無断転載、複製、複写、盗用を固く禁じます。














