症例詳細
Case detail
口を開けたときに目立つ銀歯 オールセラミック治療
治療症例の内容
- 診療科目
- 治療カテゴリ
- 担当医
- 藤巻太一朗(ドクタープロフィール)
- 患者様
- 40代女性
- 治療期間
- 1ヶ月
- 治療回数
- 2-5回
- 治療計画
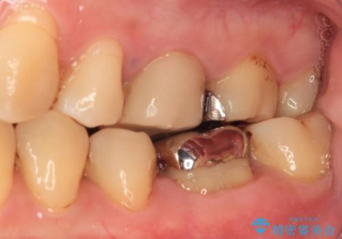
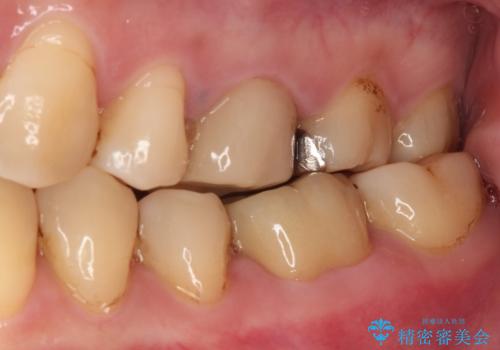
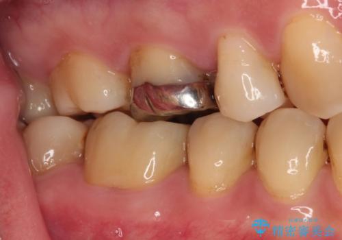
- 人と話す際に、下顎の奥にある銀歯が目立って気になるとのことで来院された患者様です。
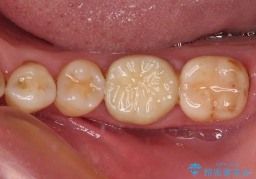
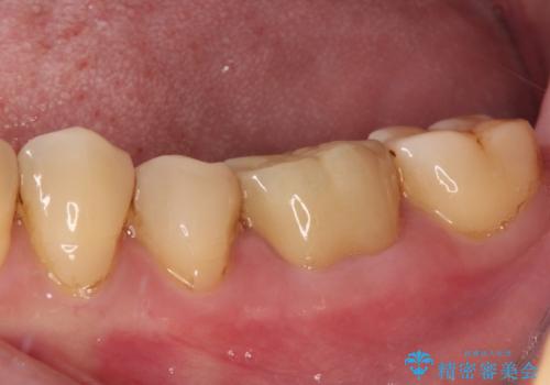
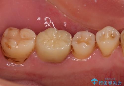
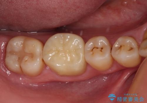
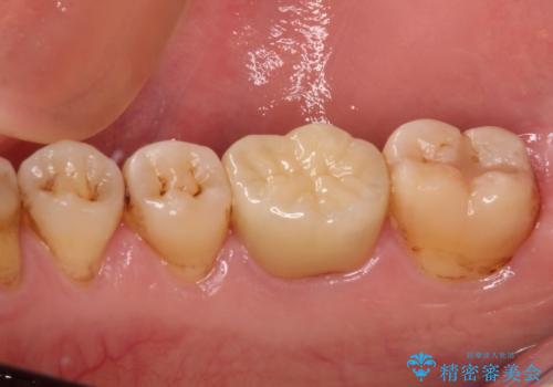
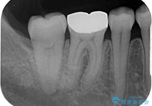
左右の奥歯に銀歯のクラウンが装着されていたため、銀歯除去後に仮歯に置き換え、フルジルコニアクラウンにて補綴治療を行うこととしました。
- 費用(概算)
- 治療費の目安: 20万円(税込)費用は治療当時の料金となります
治療について
フルジルコニアクラウンは、やや光沢のある材質ですが、奥歯に装着した場合にはさほど気にならず、自然な口元の印象となりました。
セラミック治療の注意事項(リスク・副作用など)
- 天然歯を削ります
- 硬い素材は天然歯を傷つけてしまう場合があります
- かみ合わせや歯ぎしりが強すぎる方はセラミックが割れてしまう可能性があります
- 自費診療(保険適用外治療)となります
当サイトの内容、テキスト、画像等の無断転載、複製、複写、盗用を固く禁じます。




















