症例詳細
Case detail
クラウンに穴が空いてしみる奥歯 オールセラミッククラウンによる補綴治療
治療症例の内容
- 診療科目
- 治療カテゴリ
- 担当医
- 藤巻太一朗(ドクタープロフィール)
- 患者様
- 70代女性
- 治療期間
- 1ヶ月
- 治療回数
- 2-5回
- 治療計画
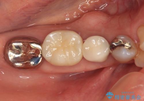
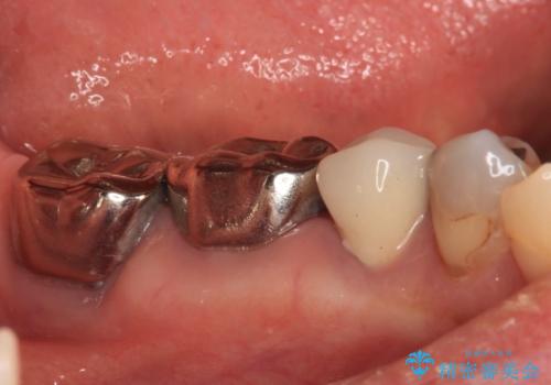
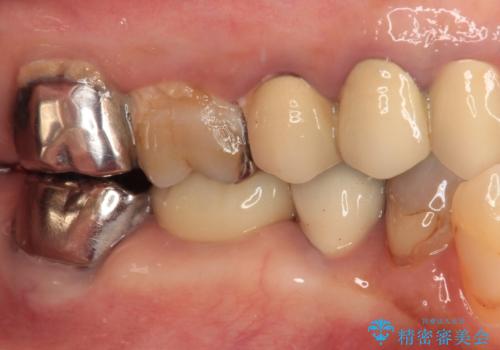
- 奥歯の銀歯に穴が空いてしみるとのことで来院された患者様です。
長年が経過して、徐々に穴が空いてきていたが、最近しみるようになったとのことでした。
痛みの感じ方に異常な所見は認められなかったため、オールセラミッククラウンにて補綴治療を行うこととしました。
- 費用(概算)
- 治療費の目安: 10万円(税込)費用は治療当時の料金となります
治療について
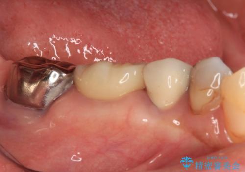
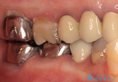
銀歯を外したところ、非常に大きなむし歯が認められましたが、神経組織には及んでおらず、速やかにオールセラミッククラウンによる補綴治療を行いました。
セラミック治療の注意事項(リスク・副作用など)
- 天然歯を削ります
- 硬い素材は天然歯を傷つけてしまう場合があります
- かみ合わせや歯ぎしりが強すぎる方はセラミックが割れてしまう可能性があります
- 自費診療(保険適用外治療)となります
当サイトの内容、テキスト、画像等の無断転載、複製、複写、盗用を固く禁じます。











