症例詳細
Case detail
抜歯矯正へ切り替え 表側のワイヤー矯正
治療症例の内容
- 診療科目
- 治療カテゴリ
- 担当医
- 藤巻太一朗(ドクタープロフィール)
- 患者様
- 20代女性
- 矯正装置
- 審美装置
- 治療期間
- 3年
- 治療回数
- 10-30回
- 治療計画
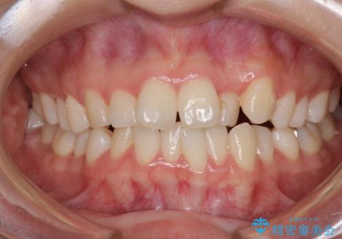
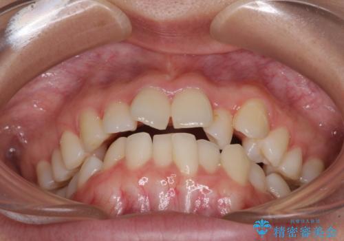
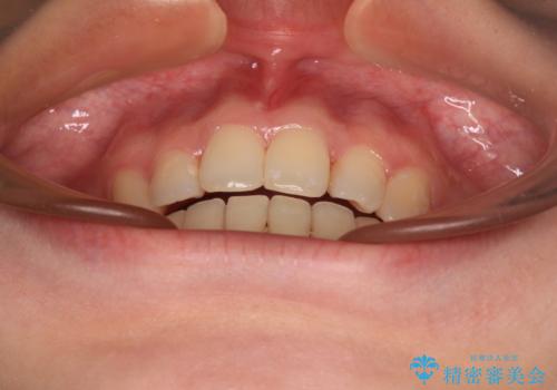
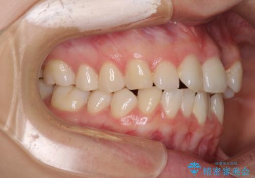
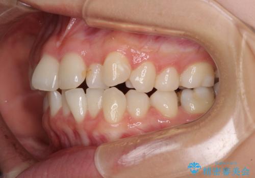
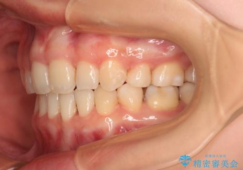
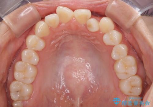
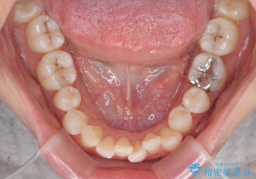
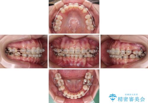
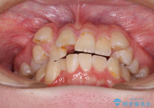
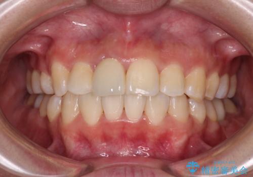
- 前歯のデコボコを気にして来院された患者様です。
前歯のデコボコはもちろん気になるところですが、舌の突出癖により上下の前歯に大きな隙間がある状態でした。
上下前歯が非接触である開咬は、インビザラインによる治療がお勧めではありますが、非抜歯矯正か抜歯矯正か悩む口元であり、途中抜歯矯正に切り替えたときに対応しやすいよう、ワイヤー装置にて治療を行うこととしました。
- 費用(概算)
- 治療費の目安: 105万円(税込)費用は治療当時の料金となります
治療について
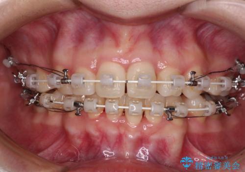
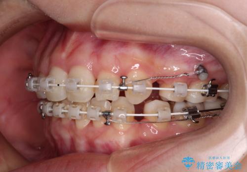
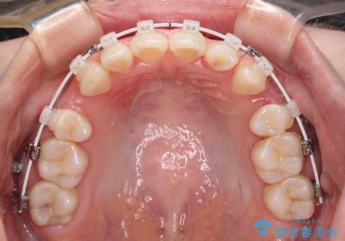
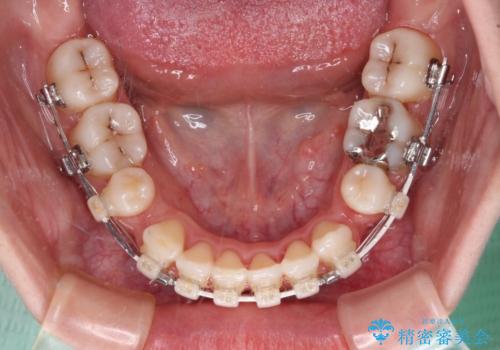
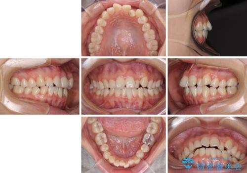
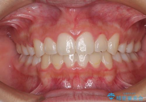
舌の突出癖の影響もあり、非抜歯矯正で治療開始したものの口元が突出し、唇が閉じにくくなってしまったため、途中で第一小臼歯4本を抜歯ししました。
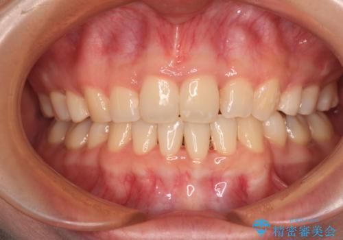
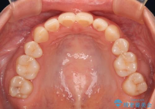
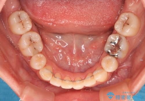
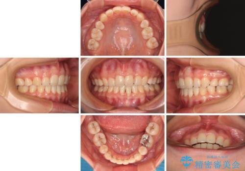
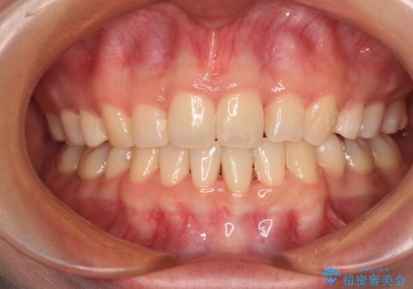
口元の突出感のない、すっきりとした仕上がりとなりました。
ワイヤー矯正の注意事項(リスク・副作用など)
- 治療中は違和感や痛みが起こることがあります
- 症状により、抜歯が必要な場合があります
- 治療中は歯磨きがしにくくなるため、虫歯や歯周病になりやすくなります
- 矯正治療後の保定が不十分だと後戻り(元の位置に戻ろうとする動き)をします
- 自費診療(保険適用外)となります
当サイトの内容、テキスト、画像等の無断転載、複製、複写、盗用を固く禁じます。



























