症例詳細
Case detail
口が閉じられない 抜歯矯正で横顔の印象が劇的に変化
治療症例の内容
- 診療科目
- 担当医
- 藤巻太一朗(ドクタープロフィール)
- 患者様
- 20代女性
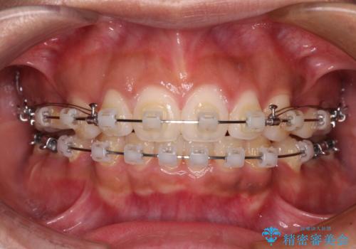
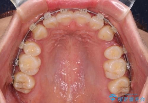
- 矯正装置
- クリアブラケット
- 治療期間
- 2年6ヶ月
- 治療回数
- 10-30回
- 治療計画
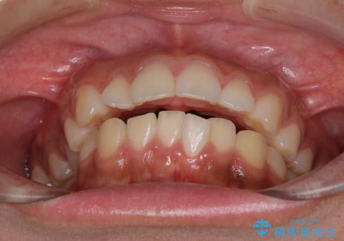
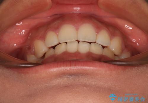
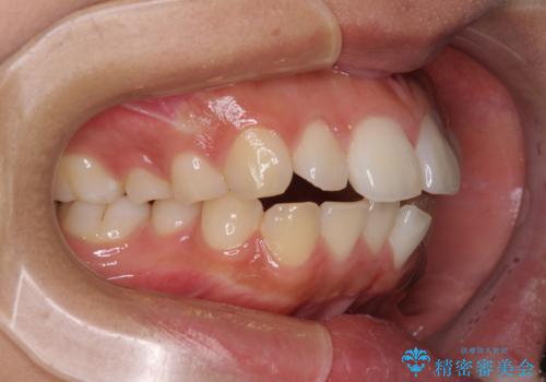
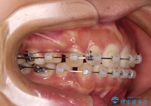
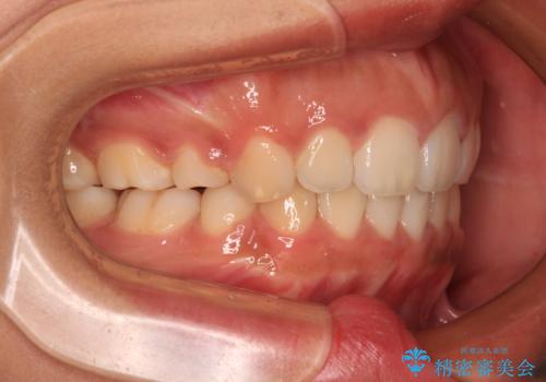
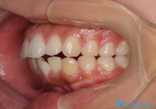
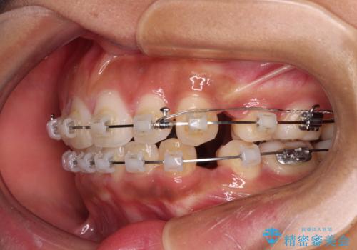
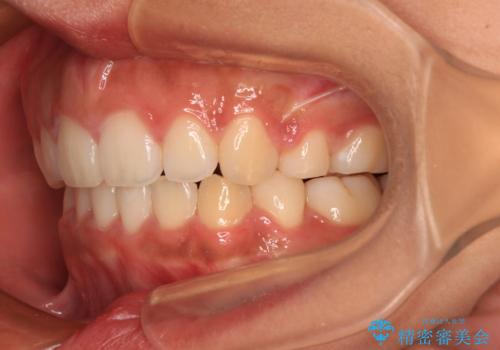
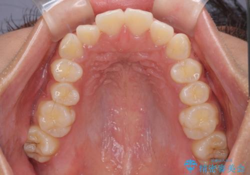
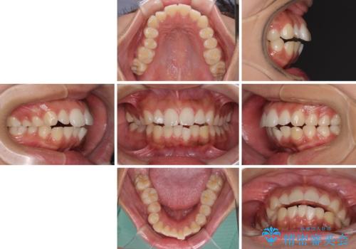
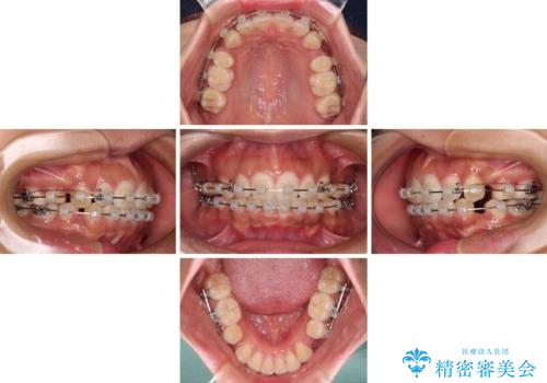
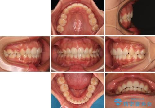
- 出っ歯と口の閉じにくさ、デコボコを気にして来院された患者様です。
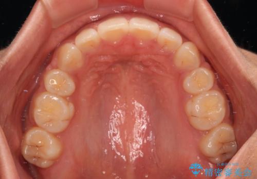
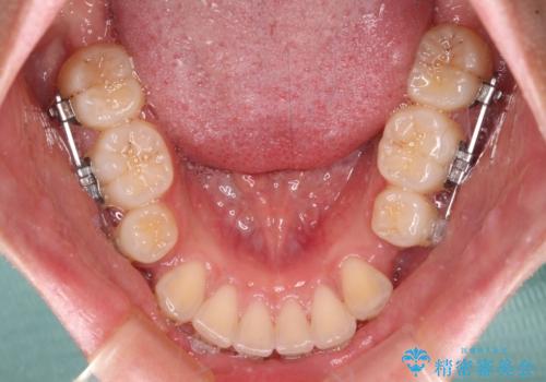
口元の突出感を改善するため、上下左右第一小臼歯4本の抜歯を行い、ワイヤー装置による矯正治療を行うこととしました。
- 費用(概算)
- 治療費の目安: 100万円(税込)費用は治療当時の料金となります
治療について
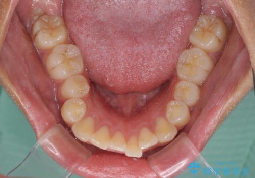
舌の突出癖により上下前歯は非接触であり、非常に前方に飛び出している状態でした。
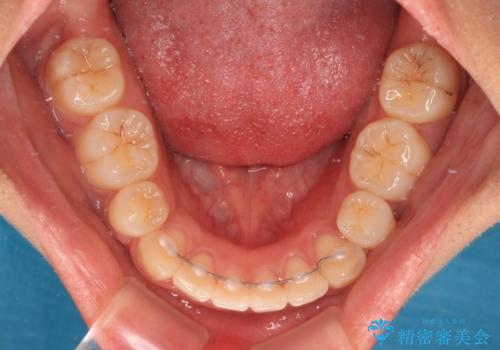
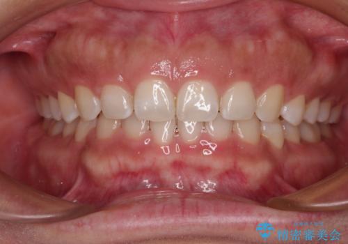
舌のトレーニングをしっかりと行っていただき、口の閉じやすい歯並びに仕上げることができました。
ワイヤー矯正の注意事項(リスク・副作用など)
- 治療中は違和感や痛みが起こることがあります
- 症状により、抜歯が必要な場合があります
- 治療中は歯磨きがしにくくなるため、虫歯や歯周病になりやすくなります
- 矯正治療後の保定が不十分だと後戻り(元の位置に戻ろうとする動き)をします
- 自費診療(保険適用外)となります
当サイトの内容、テキスト、画像等の無断転載、複製、複写、盗用を固く禁じます。


























