症例詳細
Case detail
処置を先延ばしにしていたむし歯 奥歯のセラミック治療
治療症例の内容
- 診療科目
- 担当医
- 藤巻太一朗(ドクタープロフィール)
- 患者様
- 30代女性
- 治療期間
- 1ヶ月
- 治療回数
- 2-5回
- 治療計画
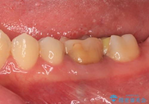
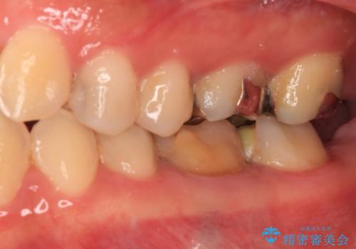
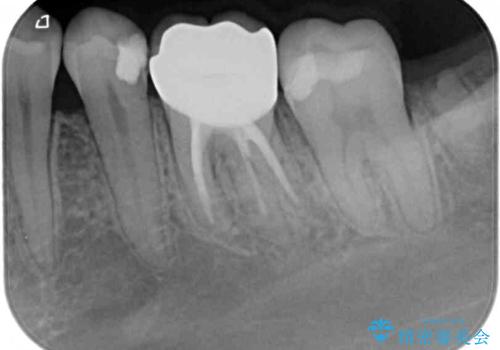
- 処置が必要と言われていたものの、長い間放置していた奥歯の治療を希望して来院された患者様です。
一番奥の歯は詰め物が脱離しており、仮詰め材が詰まっており、手前の歯は根管治療後に樹脂で固めたままの状態でした。
手前の歯を仮歯に置き換えるとともに、一番奥の歯のむし歯治療を行うこととしました。
- 費用(概算)
- 治療費の目安: 22万円(税込)費用は治療当時の料金となります
治療について
治療後はものが挟まりにくくなり、その上舌触りも良くなり、早く治療を始めておけばよかったとおっしゃっていました。
セラミック治療の注意事項(リスク・副作用など)
- 天然歯を削ります
- 硬い素材は天然歯を傷つけてしまう場合があります
- かみ合わせや歯ぎしりが強すぎる方はセラミックが割れてしまう可能性があります
- 自費診療(保険適用外治療)となります
当サイトの内容、テキスト、画像等の無断転載、複製、複写、盗用を固く禁じます。









