症例詳細
Case detail
【インプラント】食事中に歯が割れた! かなり深いところまで歯が割れていた
治療症例の内容
- 患者様
- 40代男性
- 治療期間
- 1年
- 治療回数
- 5-10回
- 治療計画
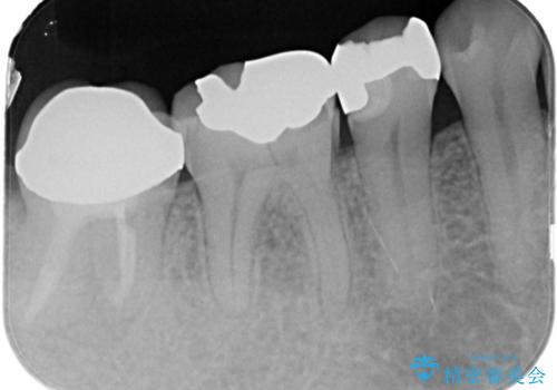
- 「硬い物を食べたら歯が割れた」を主訴に来院された患者さんです。
根っこのところまで歯が割れていたため、歯を残すことは不可能と診断し抜歯後、インプラントで治療を行いました。
- 費用(概算)
- 550,000円(インプラント代220,000円+カスタムアバットメント110,000円+オールセラミッククラウン110,000円+骨造成110,000円)費用は治療当時の料金となります
治療について
破折の深さが歯根まで及んでいたため抜歯を行いました。
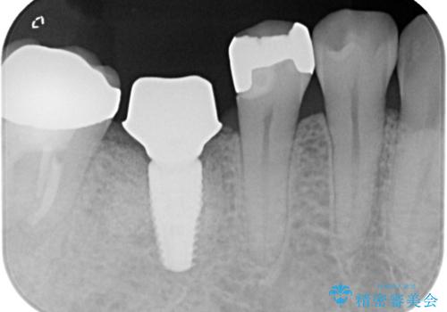
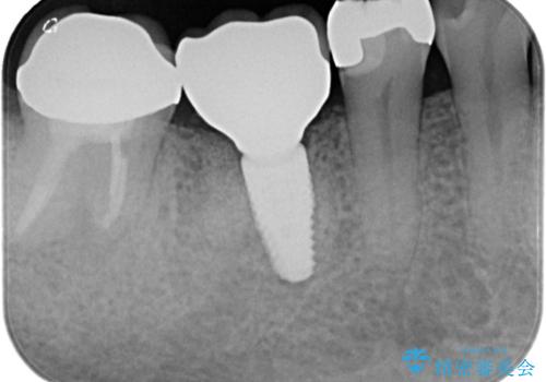
抜歯をしたあと骨が痩せないよう抜歯直後に骨補填材を入れています。
骨が成熟するまで待ち、インプラントを埋入しました。
被せ物はオールセラミッククラウンを被せています。
インプラント治療の注意事項(リスク・副作用など)
- 外科手術のため、術後に痛みや腫れ、違和感を伴います
- メンテナンスを怠ったり喫煙により、お口の中に大きな悪影響を及ぼすインプラント周囲炎等にかかる可能性があります
- 糖尿病、肝硬変、心臓病等の場合、インプラント治療ができない可能性があります
- 高血圧、貧血・不整脈等の場合、インプラント治療後に治癒不全を招く可能性があります
- 自費診療(保険適用外治療)となります
セラミック治療の注意事項(リスク・副作用など)
- 天然歯を削ります
- 硬い素材は天然歯を傷つけてしまう場合があります
- かみ合わせや歯ぎしりが強すぎる方はセラミックが割れてしまう可能性があります
- 自費診療(保険適用外治療)となります
当サイトの内容、テキスト、画像等の無断転載、複製、複写、盗用を固く禁じます。


















