症例詳細
Case detail
【ワイヤー矯正】前歯の真ん中を合わせたい。
治療症例の内容
- 担当医
- 河口智英(ドクタープロフィール)
- 患者様
- 20代女性
- 治療期間
- 2年
- 治療回数
- 10-30回
- 治療計画
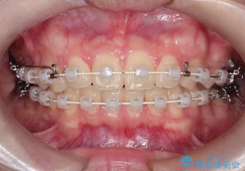
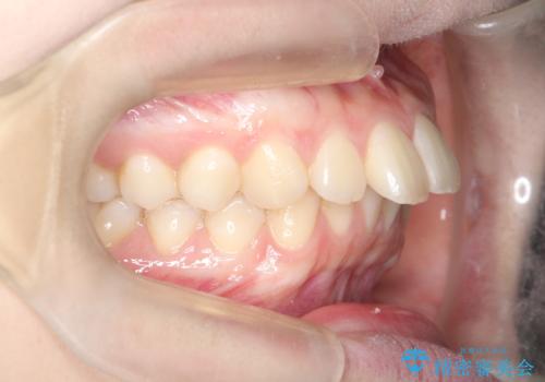
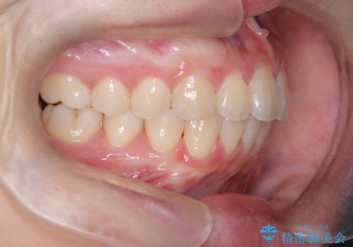
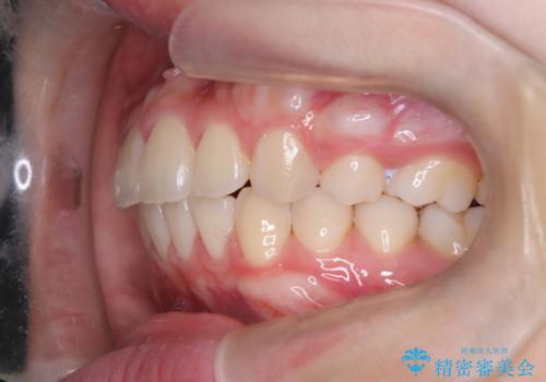
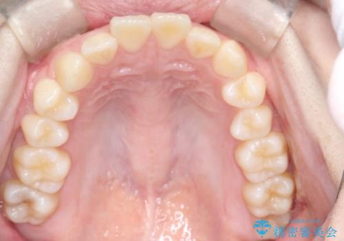
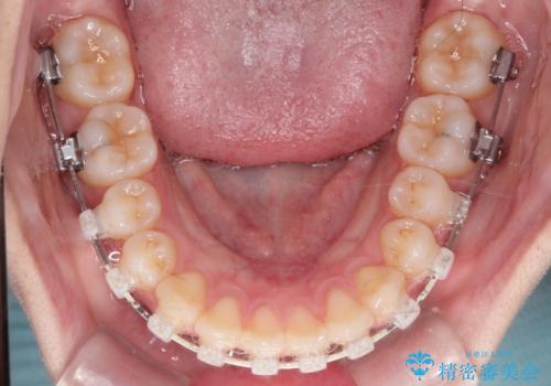
- 前歯が出ている事を主訴に来院されました。
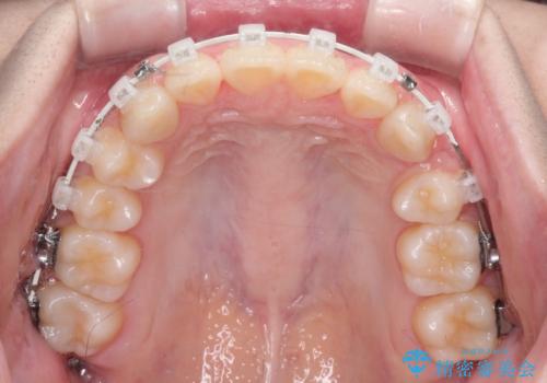
上と下の前歯がずれているため、抜歯を行い前歯の真ん中を合わせる治療計画を立ててワイヤー矯正にて治療を行いました。
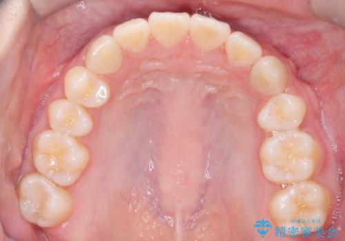
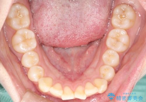
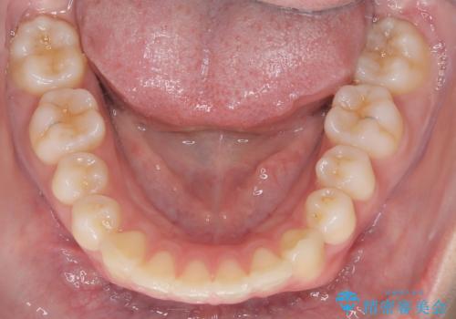
途中、矯正用のアンカースクリューを使うことで、最終的にきれいに前歯の真ん中を合わせることができました。
2年という矯正期間でしたが、かみ合わせも良くなりを患者様には満足していただくことができました。
- 費用(概算)
- 95万円費用は治療当時の料金となります
治療について
矯正用アンカースクリューを使用することで、歯の移動量をコントロールできるため、治療の仕上がりをよくすることができます。
ワイヤー矯正の注意事項(リスク・副作用など)
- 治療中は違和感や痛みが起こることがあります
- 症状により、抜歯が必要な場合があります
- 治療中は歯磨きがしにくくなるため、虫歯や歯周病になりやすくなります
- 矯正治療後の保定が不十分だと後戻り(元の位置に戻ろうとする動き)をします
- 自費診療(保険適用外)となります
当サイトの内容、テキスト、画像等の無断転載、複製、複写、盗用を固く禁じます。















