症例詳細
Case detail
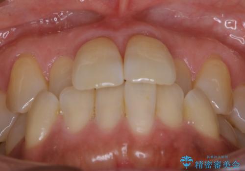
【非抜歯】短期間で実現する前歯の反対咬合治療
治療症例の内容
- 患者様
- 30代 女性
- 矯正装置
- マウスピース(インビザライン)
- 治療期間
- 1年
- 治療回数
- 10-30回
- 治療計画
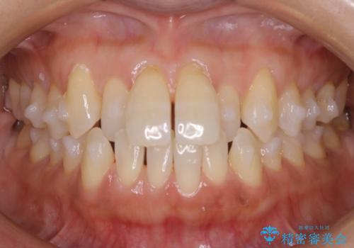
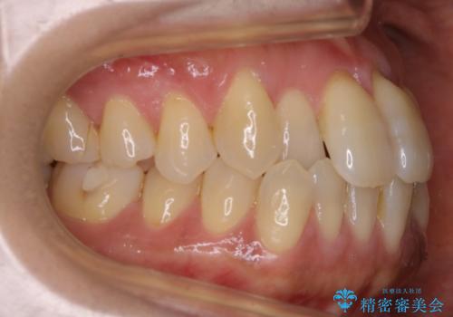
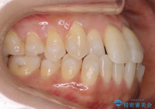
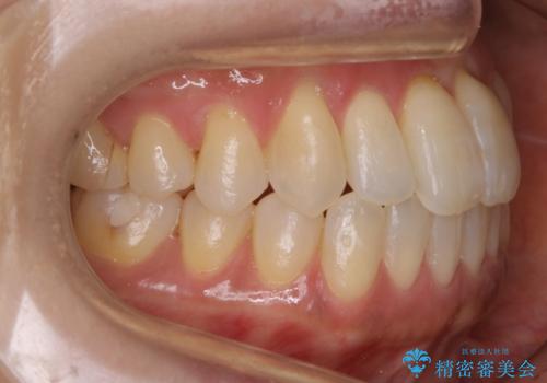
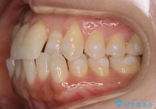
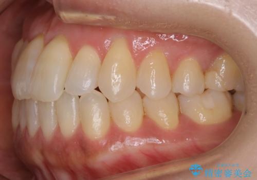
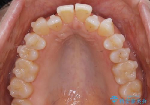
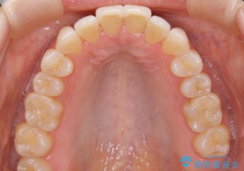
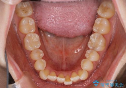
- 前歯のガタつきを主訴に来院されました。
奥歯の噛み合わせにはほとんど問題が見られず、歯列拡大とIPRのみの必要最低限の移動で歯並びの治療を計画することとなりました。
- 費用(概算)
- 税込 ¥770,000- (インビザライン コンプリヘンシブパッケージ)費用は治療当時の料金となります
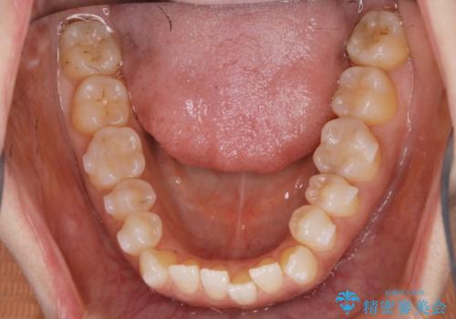
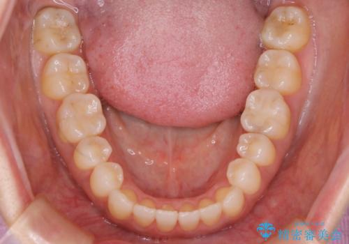
拡大とIPR
歯列の幅を拡大することにより作れるスペースは想像より大きく、実際に拡大だけでガタつきが治せるというケースもあります。
その他の歯のガタつきをとるためのスペース作りの方法の一つにディスキング(IPR)という方法があります。
歯と歯の間を一ケ所あたり最大0.5mmまでの範囲内で削ることで歯自体が少し小さくなり、それにより作られるスペースを数ヶ所分合わせることで合計で数mmの大きなスペースが作れるという方法です。
当院ではなるべく歯の機能や見た目に影響の出ないよう、作業時に拡大鏡の使用や削るタイミングの微調整を行っています。
マウスピース矯正の注意事項(リスク・副作用など)
- 口腔内・歯並びの状態によっては対応できない場合があります
- マウスピース型矯正装置の長時間装着(1日20時間以上)が必須です
- 治療計画通りに進めるためには、患者様の意志が重要になります
- 矯正治療後の保定が不十分だと後戻り(元の位置に戻ろうとする動き)をします
- 薬機法対象外の矯正歯科装置のため医薬品副作用被害救済制度の対象外となる場合があります
- 自費診療(保険適用外)となります
当サイトの内容、テキスト、画像等の無断転載、複製、複写、盗用を固く禁じます。





















