症例詳細
Case detail
銀歯を白くしたい
治療症例の内容
- 診療科目
- 治療カテゴリ
- 担当医
- 岡田康成(ドクタープロフィール)
- 患者様
- 20代女性
- 治療期間
- 2ヶ月
- 治療回数
- 2-5回
- 治療計画
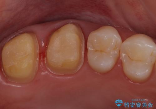
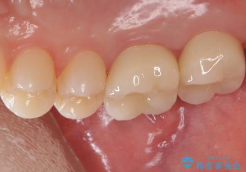
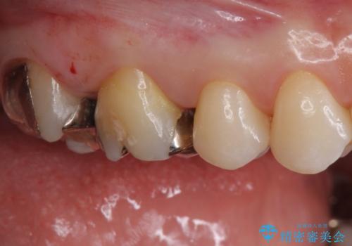
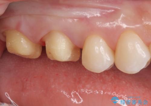
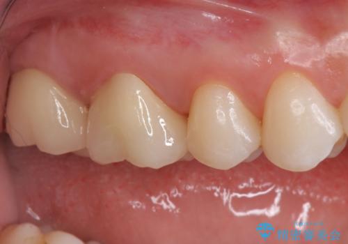
- 銀歯を白くしたいとのことで来院されました。
詰め物が覆っている面積が大きいため、強度を考慮してセラミックインレーではなくクラウンでの修復処置を進めていきます。
- 費用(概算)
- 右上67 仮歯+ジルコニアクラウン:11,000円×2+121,000円×2 費用は治療当時の料金となります
治療について
奥歯で咬合力の負担を考慮した結果、インレーやアンレーではなくクラウンをおすすめする場合があります。
セラミック治療の注意事項(リスク・副作用など)
- 天然歯を削ります
- 硬い素材は天然歯を傷つけてしまう場合があります
- かみ合わせや歯ぎしりが強すぎる方はセラミックが割れてしまう可能性があります
- 自費診療(保険適用外治療)となります
当サイトの内容、テキスト、画像等の無断転載、複製、複写、盗用を固く禁じます。











