症例詳細
Case detail
自然な前歯にしたい ジルコニアクラウンでの修復
治療症例の内容
- 診療科目
- 治療カテゴリ
- 担当医
- 岡田康成(ドクタープロフィール)
- 患者様
- 40代女性
- 治療期間
- 2ヶ月
- 治療回数
- 2-5回
- 治療計画
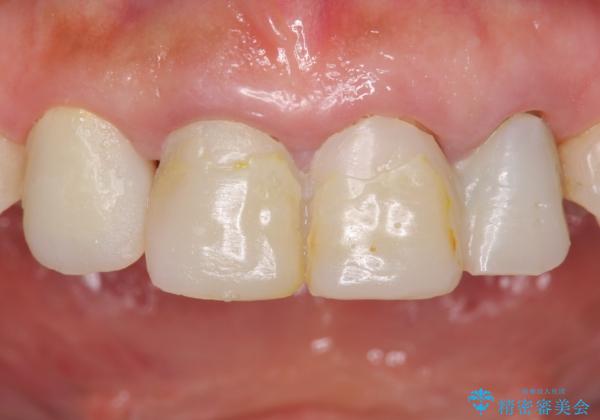
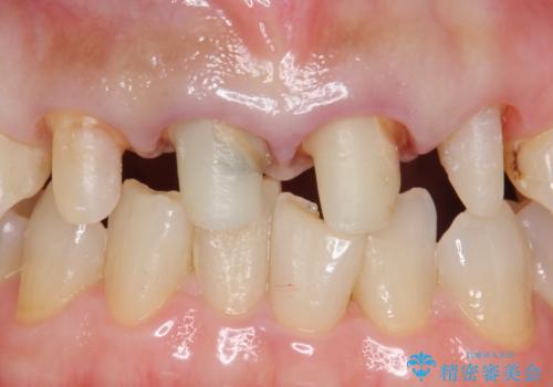
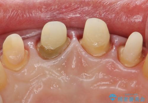
- 前歯を綺麗にしたいとのことで来院されました。
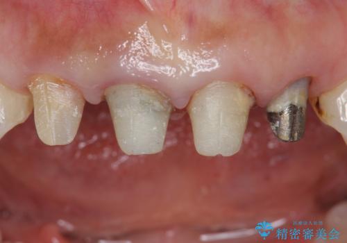
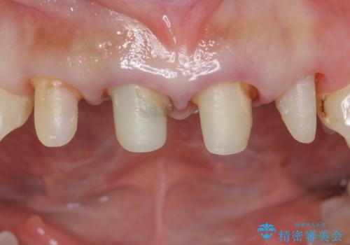
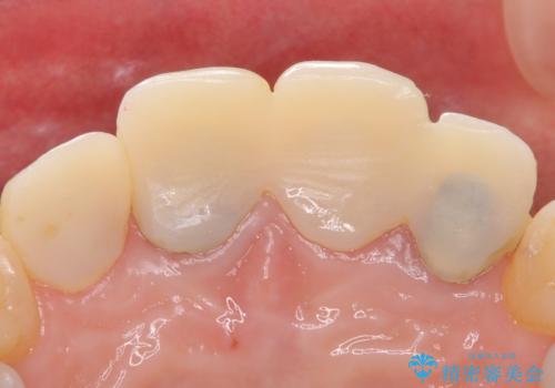
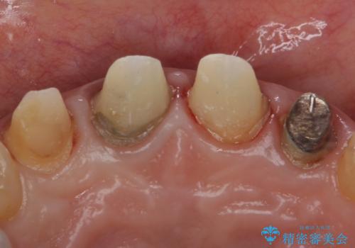
 色調・適合ともに改善するために一度被せ物を外し、歯の形を整えた後に新しい被せ物を装着していきます。
- 費用(概算)
- 右上12左上12/仮歯4本+ジルコニアクラウン4本:44,000+484,000円 左上2/根管治療(保険)費用は治療当時の料金となります
治療について
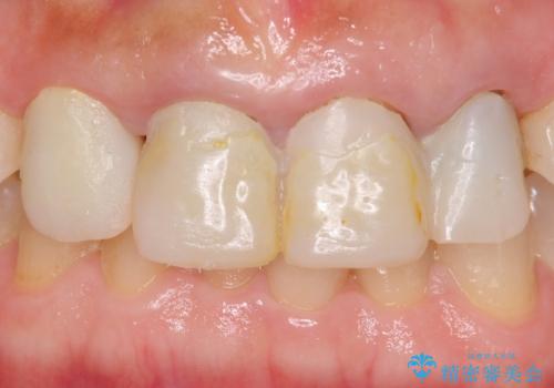
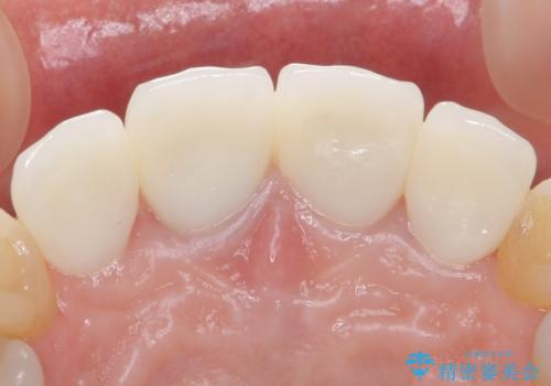
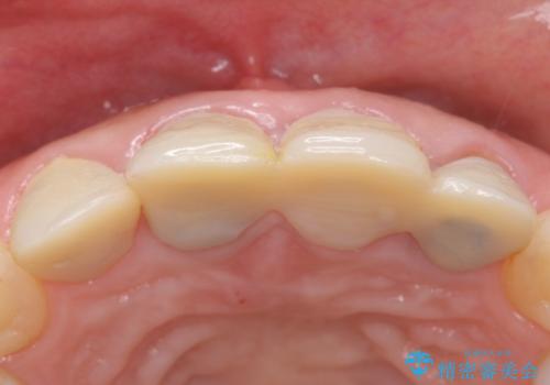
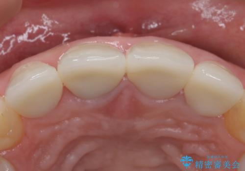
歯ぐきの炎症を抑えつつ、被せ物と歯との境目がわからなくなるよう被せ物を装着しました。
審美性が大変改善されたことで患者様にもご満足いただけました。
セラミック治療の注意事項(リスク・副作用など)
- 天然歯を削ります
- 硬い素材は天然歯を傷つけてしまう場合があります
- かみ合わせや歯ぎしりが強すぎる方はセラミックが割れてしまう可能性があります
- 自費診療(保険適用外治療)となります
当サイトの内容、テキスト、画像等の無断転載、複製、複写、盗用を固く禁じます。








 
                       
                                                          















 
                   
                   
                  