症例詳細
Case detail
目立つ銀歯をセラミックへ
治療症例の内容
- 診療科目
- 治療カテゴリ
- 担当医
- 大元洋佑(ドクタープロフィール)
- 患者様
- 30代女性
- 治療期間
- 1ヶ月
- 治療回数
- 2-5回
- 治療計画
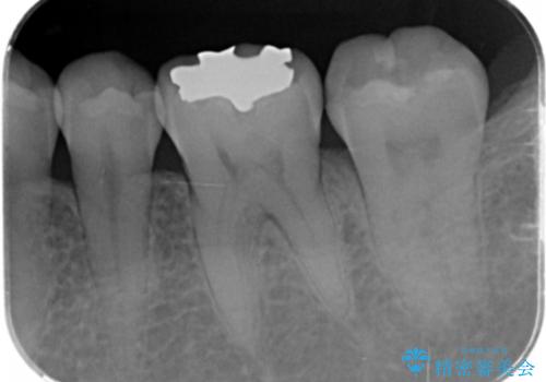
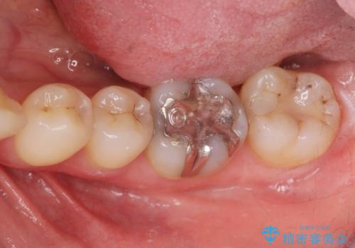
- 笑った時に見える銀歯を無くしたい、虫歯治療をしたい。とセラミック治療を希望され来院されました。
銀歯の除去・虫歯の除去を行ったのち、適合の良い精密なジルコニアセラミッククラウンを製作します。
- 費用(概算)
- 13.2万円(ジルコニアクラウン・仮歯)費用は治療当時の料金となります
治療について
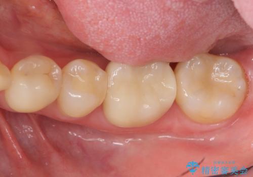
治療後、銀歯と虫歯のない清潔な口腔内環境を達成することができました。
セラミック治療の注意事項(リスク・副作用など)
- 天然歯を削ります
- 硬い素材は天然歯を傷つけてしまう場合があります
- かみ合わせや歯ぎしりが強すぎる方はセラミックが割れてしまう可能性があります
- 自費診療(保険適用外治療)となります
当サイトの内容、テキスト、画像等の無断転載、複製、複写、盗用を固く禁じます。






